Надоело!
Всем привет! Буду ныть, устала..
В связи с отсутствием какого-либо прогресса, но с присутствием регресса, желание носить брекеты пропадает! Вечное нытье и плохое настроение при поиске хоть каких-то изменений в лучшую сторону..
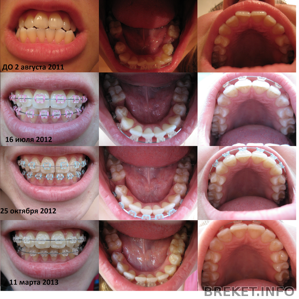
На НЧ как-то странно все, перекос, щели. Слева зубки вроде более кругло расположены, а справа нет, даже мама это заметила! В связи с этим прикус полное г... Тяги уже нет смысла надевать, толку-то от них, если перекос. Если специально делаю зубки, чтобы центр совпадал, то слева ВЧ и НЧ получаются почти вровень, а справа щель, т.е. тяга бесполезна! Хочу спросить у орты, может справа немного покруглее поставить зубки, но тогда промежуток же никогда не закроется ![]()
Промежуток от удаления вобще офигел. После того, как приклеили 7-ку и надели цепочку, то щель между 6-кой и 7-кой ушла, а промежуток стал еще больше.. Щели между многими зубками так и не закрываются! Еще и лигатура с клыка слетела! Вобщем УЖАС!!!
Обидно, что почти за 1,8 мы не можем поставить все на место!
От внешнего вида НЧ просто тошнит уже, НЕКРАСИВО! Хочу, чтобы было как было летом, вот там-то красота! И центр, и смыкание, и внешне очень круто выглядело!
В четверг иду на прием, распечатала коллаж с боковым смыканием, повеселю ее хоть..
Я в отчаянии, руки опустились, желания носить брекеты нет! Еще чуть-чуть и рыдать начну.. Разумеется, что о снятии к лету или летом и речи быть не может..такими темпами еще полгодика-то точно придется носить
Сейчас ситуация ухудшилась немного ![]()
Комментарии
Не унывай! Всё ещё будет супер
))) Терпения, и не отчаивайся!!!
Не отчаиваетесь, вы уже столько прошли и перетерпели, что отчаиваться точно не стоит! ![]()
Все будет отлично,это точно
KalaVinkaBird, Настенька, спасибо, буду стараться! Орта мне нравится, общаемся с ней, рассказывает все. Говорит, что все хорошо...но по мне, дак все ужасно
Надеюсь, что все исправится, нет, я ВЕРЮ в это! И я не останусь без ровненьких, красивеньких зубов!
Alenuska_skorik, спасибо. Никто не поймет лучше Вас, дорогие брекетоносцы! Буду стараться не унывать! Просто в том-то и дело, что столько времени прошло уже. За это время сняли люди, которые поставили позже БС..я понимаю, что это не показатель, просто тоже уже хочется снятия..обещали сначала перед НГ снять, теперь летом...а сейчас не удивлюсь, если снова до НГ скажут! Никуда не денусь, не сниму, пока не будет хорошего результата!!!
П.С. извиняюсь за много букв, накипело просто..
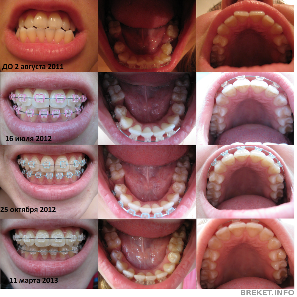
Долго разглядывала коллаж и мне показалось, что всё совсем не так плохо, как Вы описываете...
Если честно, (может я курица слепая
) но и разницы между летними фотками и мартовскими ни в анфас, ни в профиль я тоже не увидела.. Видна только разница на задних зубах и она, имхо, в лучшую сторону..
Так что не стоит расстраиваться раньше времени и уж тем более не вешать нос ![]()
Ну, и последний аргумент: конечно, за столько времени брекеты надоели, но всё равно они Вам очень идут!
P.S. Надеюсь, что удалось Вас хоть чуток подбодрить
Muha, спасибо большое за поддержку! Сейчас добавлю коллаж разделенный! Может со стороны выглядит все не так уж и печально. Сейчас появились щели. Еще из-за того, что закрываем промежуток, зубки уходят назад и портится смыкание, точнее оно уже фу стало
а нам нужно не передние назад, а задние вперед..
Может это ещё из-за Inspire? они красивые, но не слишком эффективные.. (у самой стояли на ВЧ)
Мне кажется, на самолигирующих дело бы лучше обстояло.
Ну, всё равно не надо впадать в апатию.
Главное, что орт хорошая и Вам нравится. Доверьтесь ей до конца.
Muha, давай на ты?
к брекетам нареканий нет, мне они нравятся очень, ни разу не отклеивались, не откалывались (тьфу-тьфу), даже при переклейке не раскололись) Может и было бы лучше, но мне была важна эстетика. Тем более у меня сапфир только в зане улыбки, а на задних зубках металл, там, где нужна сейчас сила. Так что дело не в брекетах) Но спорить не буду. Не менять же сейчас БС)
Просто мы перетянули зубки назад, из-за этого вся эта фигня
наверное
Мне ситуация сейчас нравится больше, чем летом, честно говоря, прикус явно стал лучше, смыкание улучшилось.
Сашулька, не расстраивайся! мне кажется, от того, что ты потратишь нервы, зубы в нужную сторону не поползут)) может быыыыть, конечно, но по-моему такой метод воздействия на непослушные зубья слишком энергозатратный и не факт, что действенный
Поэтому спокойствите, только спокойствие и список вот этих вот всех вопросов, сомнений и непоняток твоей орте в четверг вместе с коллажем
У меня промежутки закрывались больше года, поэтому я очень хорошо могу понять твое "надоело"... Терпения тебе и оптимизма! встанут они как надо, пусть не к лету, может к осени, но с другой стороны, с такими красивишными брекетами на таких прекрасных зубках можно походить и на пару месяцев дольше, а вот снимут и когда ты еще такую прелесть на зубах поносишь?))))
Vulcanit, спасибо) Сейчас получше из-за того, что на НЧ зубки до конца зашли за ВЧ, а летом они еще вставали на место) Зато центр-то, центр на месте! и боковое смыкание получше..
Nixe, спасибо за поддержку! заставила меня улыбнуться
Даже такую прелесть не хочу больше носить, пускай лучше сейчас зубки будут с этими трудягами, зато потом буду показывать их ровненьких))) Коллаж уже распечатала) еще напишу вопросы, а то опять забуду, как всегда)
Мы уже затягиваем этот промежуток с августа-сентября, а он не хочет, хотя с другой стороны сам затянулся давольно-таки быстро! Но ничего, и правда, не надо отчаиваться, так интереснее, с трудностями-то, будет что вспомнить!
Ребятушки, спасибо большое за поддержку!
Привет! у меня такая же ситуация со смыканием как и у тебя в марте ( Как тебе исправили в итоге? Мне говорят уже снимать брекеты!!!(
northmade, у меня с одной стороне получше стало, с другой чуть похуже, но меня устраивает в принципе, лучше сделать нельзя. Надо сфоткать хоть)
а у тебя сейчас вот так? http://breket.info/images/image1073869603
Да! И мне назначили снятие!((( не пойду снимать, будут искать способ! Так обидно, зубы удаляла и все равно не получилось(
northmade, я просто на приемах говорю, что мне не нравится, а орта говорит возможно исправить или нет. Попробуй поговорить, скажи, что не нравится и пускай она попробует довести до идеала!
Спасибо! Постараюсь решить все мирно)))
Мне бы так сделать! Так странно, у кого-то все смыкается полностью, а у кого-то совсем нет(как у меня, например). Даже видела серьезные случаи когда все идеально сомкнулись!)
У меня тоже не смыкается)
Просто у каждого изначально ситуация разная. Разные челюсти, размеры зубов, индивидуальности организма и везде свои пределы. Конечно обидно, например в моем случае, проносить больше 2,5 лет и не добиться идеального смыкания. Меня эти сквозные щели напрягают (да-да, было одно время, что были щели с двух сторон и можно было насквозь смотреть
).
А тебе орта не предлагала просепарировать зубы? Дома есть тяги? Если есть, то попробуй одевать их треугольничками (например, 2-3 ВЧ и 3 НЧ, 3-4 ВЧ и 4 НЧ), мне это улучшило ситуацию) или замотать восьмеркой, я делала это страусами, они достаточно большие, хватало на челюсть






Как грустно((( Не унывайте, пожалуйста! Пусть у вас всё будет хорошо! Думаю, орт что-нибудь придумает!