кривой зуб как есть
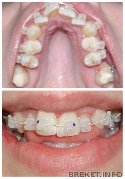
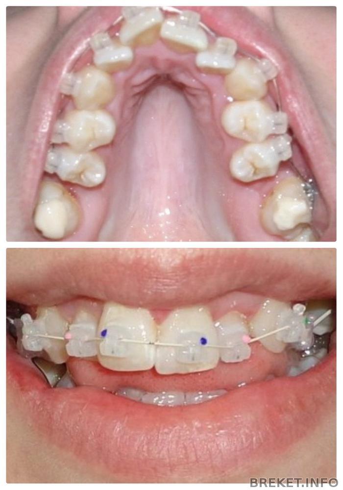
Покажите свои фото ВЧ, если у вас до БС были там прям реально кривые зубы. Например, какой-то зуб стоял БОКОМ. Как у меня двойка на вч. Сколько тут сижу, понимаю, что самая ужасная ВЧ у меня. Ни у кого еще не видела аналогового случая.
Комментарии
Посмотрела ваши фото - вы на себя наговариваете. Ничего ужасного не увидела.
Вряд ли у вас:) Посмотрите на мои зубы как у белки, скученность и на тот зуб предатель (двойка на вч слева, на которую даже крохотный даймон кью не поместился)
Леди Сталь покажите ваш случай до, а то фоток нет, нельзя сравнить
Мда... вот у меня двойки не стоят боком. Их вообще нет от рождения. Вот это действительно проблема)
и ни у кого я тут не увидела кривых зубов)))
Irin Irin, я с телефона, так что только ссылкк могу http://breket.info/sites/breket.info/files/imagecache/image_page_image/i...
вот видите двоцка боком стоит, и клыки ужасны, и вторая двойка утоплена))) у всех кто свое тут выложил, не так страшно
Леди Сталь, а какие же они у нас всех? Идеально ровные?)) Мне кажется, Вы преувеличиваете масштаб своей проблемы
Тут все со своими сложностями. У кого-то прикус неправильный, который исправляется только с помощью операции, у кого-то челюсть узкая и ее можно расширить только специальными аппаратами, у кого-то зубы еще молочные или вообще не выросли какие-то постоянные зубы. И если скученность зубов легко исправляется, то постоянные зубы(которых нет и не было) не появятся.
Леди Сталь ойййй. вы правда сильно преувеличиваете, здесь выкладывают случаи намного намногооооо хуже ваших, у вас они немного повернуты..там делов то выправить на раз два, вот когда до хирургии доходит вот это да сложные случаи а у вас средняя сложность, ничего особенного) зря вы так про свои зубы))








у меня фоток нету, попробую словами: дистальный прикус, правый клык сверху из десны лез, передние зубы один на другом нахлестом лежал. не смертельно, ноя никогда не улыбаась открытым ртом.