Что делать с семерками и заваленными шестерками?
Всем доброго времени суток! Давно я ничего не писала в дневнике. Все идет своим чередом, 2 месяца я не была на приеме у орта, можно сказать - так было задумано. Во всяком случае 1,5 месяца точно мы не должны были видеться, так как я носила тяги, а потом, она неожиданно уехала в отпуск. В общем зубы мои 2 месяца занимались ерундой...
Неделю назад она вернулась и наконец долгожданная встреча. Но как-то эта встреча не порадовала вовсе. У меня возникла определенная проблема, которую орту озвучивала с самого начала, но в ответ получала "Так и должно быть". А теперь хочу спросить у вас, дорогие брекетоносцы, а должно ли так быть на самом деле?
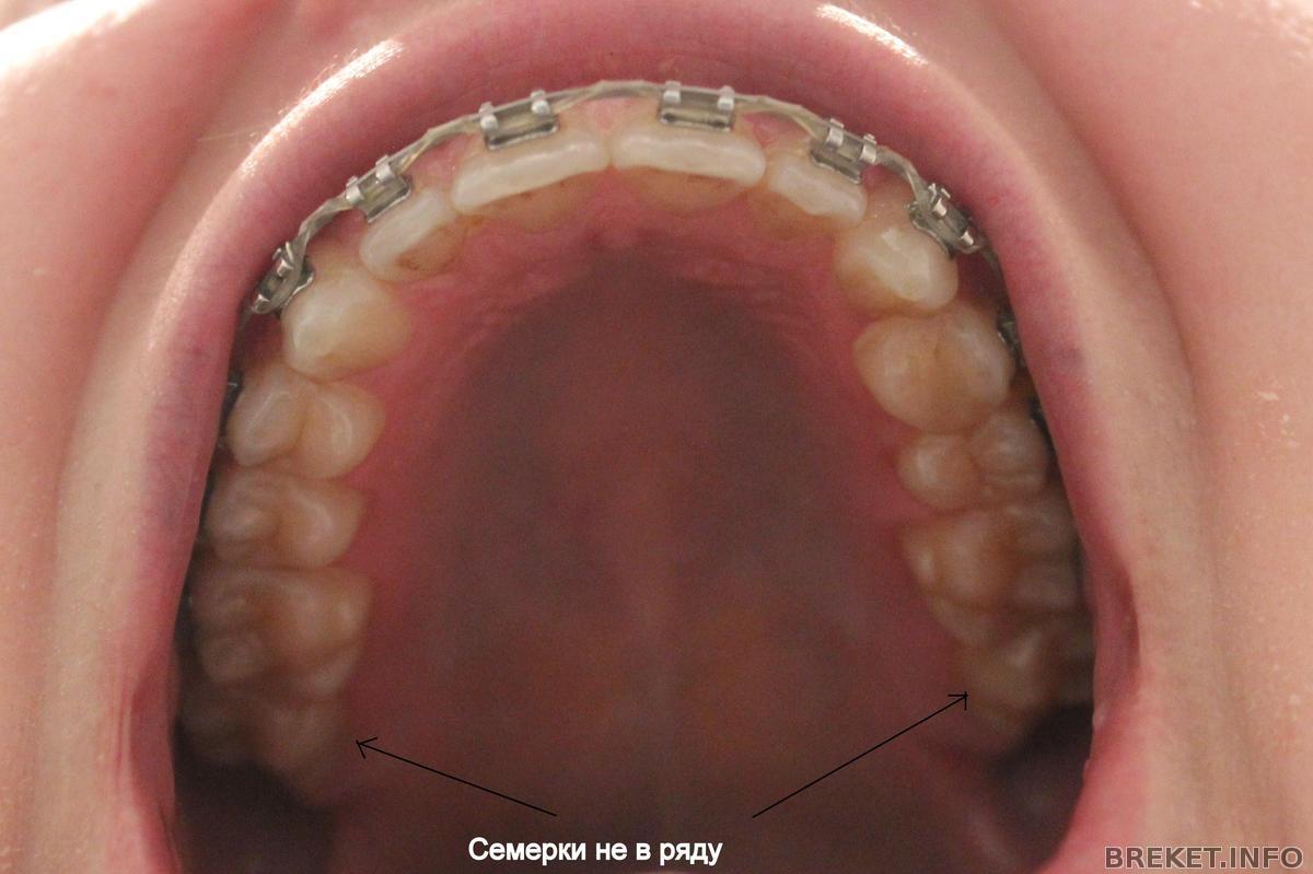
А дело вот в чем. Брекеты мне приклеили начиная от 6ок, т.е. 7 не подключены к системе. Так вот зубы у меня выравниваются, а 7 с ними даже в одном ряду не стоят, как я говорю "пляшут". Мне это очень не нравиться и я очередной раз поинтересовалась у орта, почему 7ки не в ряду с остальными зубами и как это исправлять. Она сказала, что чтобы исправлять это надо клеить брекеты начиная от 7. И мол сейчас это делать накладно, да и не нужно вовсе, потому цитирую "когда мы снимем брекеты, 7ки все равно встанут так как им удобно". Тогда вопрос - а нафига я ношу брекеты, если все потом встанет, как им удобно?!
В общем я настаиваю на том, чтобы мне подключили семерки, она мне объясняет, что в это смысла нет, что они натирают, что на них внимание вообще не обращают, что при улыбке у меня их не видно, что потом они все равно встанут на свое место и т.д.
Еще у меня завалены 6ки на нижней челюсти, на что она тоже не обращает внимание. Короче, вопрос, у кого как с этим делом обстоят дела???
И последнее, у меня не на месте центр, я его хочу сдвинуть. Каким образом достигается данный эффект - тяги? эластичная цепочка? или что? Опять орта не обращает на это внимание.
До этого момента меня устраивало в ней все, но тут мы не сошлись во мнениях.
Ребята, напишите, пож-ста, кто с таким сталкивался и как решали. Мне в воскресенье идти на активацию, и не знаю, стоит ли настаивать на подключение семерок, что с центром и как быть с шестерками.
Комментарии
у меня тоже самое , брекеты только до 6 , а 7 вообще не в ряду ) орт говорит что 7 нет смысла подключать , так как их совсем не видно , и брекеты на 7 будут сильно натирать щеку )
Пока не посмотрела фотки думала, что все ужаснее
Я не увидела заваленных шестерок, они просто сам по себе больше, а ровняют зубы по внешнему краю зубов, а не внутреннему, поэтому, возможно, кажется, что они завалены внутрь. Надеюсь, я понятно донесла свою мысль ![]()
По уму бы, конечно, семерки надо подключать. Но они совсем немного выходят из ряда, это не катастрофично.
Центр достигается с помощью тяг. Но сейчас у Вас сходится центр ВЧ и НЧ. Если выравнивать ВЧ, то НЧ тоже надо будет подтягивать.
RaiseHopes, Да, уж.., посмотрела я на вашу нижнюю челюсть. У вас тоже беда. Такое ощущение будто челюсть узкая, а потом БАЦ и семерки широко стоят. Вот не хочу я такого. Мне мой орт тоже сказала, ну если я ооооочень хочу, то она мне поставит, но я буду жалеть, если подключу семерки, что это болезненное все и чистить проблематично. Но такая картина как у вас, меня бы точно не устроила.
Хотя у вас хоть шестерки не завалены. У меня они явно в бок. На счет центра - про микроимплант не слышала, вроде как-то проще его двигают.
Varechka, в идеале, как я себе представляла, что 6ки все-таки должны стоять ровно. Вот даже посмотреть на продемонстрированном коллаже от RaiseHopes. Там с семерками беда, но шестерки внизу хорошо стоят. А у меня вообще нет ровной "подковы". Про центр - конечно, если ровнять верх, то и низ, так как они в тандеме.
Центр всем по разному ровняют, кому-то тяг достаточно. Микроимплант видимо мой конкретный случай.
А у вас зубы смыкаются хорошо?
Мы как раз 1,5 месяца работали над смыканием, носила тяги барашки - это мои первые тяги. У меня хорошее смыкание только справа, плотно зубы смыкаются, а вот левая сторона так себе. Когда мне выдали тяги, то в тот же день надели на ВЧ дугу с квадратным сечением, то ли от тяг то ли от новой дуги на ВЧ между единицами образовалась диастема. Вот неделю назад мне надели эластичную цепочку, единички сразу стянулись, щель ушла. В воскресенье прием, цепочку снимут и на ВЧ планируют надеть дугу для закрепления достигнутого эффекта, т.е. финиш. И орт сказала, что будем носить новые тяги, чтобы смыкание "наладить". А нижняя челюсть у меня до сих пор со второй дугой. Двойка вообще никак не встает на место, уже пол года почти. Орт сказала в вс будем ставить новую толстую тугу, может она вытянет двойку.
Мне центр микроимплантом ставили.
RaiseHopes
>>> говорит-ну что центр то будем править или так оставим.
ну это не повод усомниться, имхо. у моего орта очень много пациентов, которые говорят "всё - снимай". а врач еще бы центр подтянул, тут и там поправил. т.е. все ровно и правильно, но кое-что можно и доделать, а пациенту и так нравится.
У меня тоже семерки не подключены и они развернуты в стороны щек, мой орт говорит что подключать не будем они очень тяжело двигаются, у вас центр и верха и низа смещен одинаково, может и не нужно ничего больше делать?
блин, у меня тоже не подключены семерки, только одна, с той стороны, где раздвигаем место под имплант..6ки вообще уплыли в глубь( орт никак не комментирует(
около полугода назад спрашивала "будем ли клеить на 7ки?" ответил - потом, потом..
shelkovaya01@mail.ru, у вас еще все более-менее) думала, что катастрофа, а как фото посмотрела- не так уж и плохо. У меня с этим вообще беда. Шестерки на НЧ очень съехали внутрь, семерки на ВЧ развернуты в сторону щек так, что они мне реально мешают. Спрашивала орта нормально ли это, т.к. брекеты тоже до шестерок стоят, он сказал - конечно не нормально. Правда потом пару раз пришлось напоминать. Договорились с ним: я удаляю все восьмерки и начинаем доклеивать замки на 7ые. Решили снизу начнем. Но вышло по-другому, он посмотрел и начал с ВЧ. Час клеил, еле-еле, постоянно замки срывались, настолько сильно семерки развернуты. Дугу вставлял- опять слетали. С горем пополам таки приклеил замки на 7ки) поставил дугу слабее, чтоб опять не отпали, еле выгнул ее как надо. Вообщем, очень сложно было. Но все возможно))
Однозначно, для меня это ад, теперь все щеки раздерты до крови, ни воск, ни вата, ни жвачка не держатся. Но что делать, мучаюсь и терплю, потому что оставлять так, как было- катастрофа, меня такое положение зубов вообще не устраивало и мне по-барабану, что их не видно.
По поводу центра ничего не могу сказать, у меня у самой зуб посередине лица. Орт говорил тяги потом буду цеплять, чтоб перекрутить челюсть.
Кстати, еще про семерки: почитайте дневники Улыбашки, у нее щас тоже проблема со съехавшими шестерками.
Так что, я считаю, если вас это действительно волнует- настаивайте, пока не поздно. А если не особо, тогда просто не парьтесь.
<мне только что подключили 7 на Нч. Это мое право иметь ровные зубы, не тристо раз же все устанавливать. 6 ки вовнутрь смотрят.
Спросила сень у орта будет ли у меня центр вместе, он сказал что незнает((( и так ли важно это((((( но сказал что постарается
Мне сразу подключили 7ки. Они у меня стояли странно, в щеку немного. Мой орт в принципе не ставит до 6ых....Второй день мучаюсь, щеки натерты ужасно этими замками...оно вам надо?
Что это за врач то такой! вы деньги платите,... обязан сделать всё идеально и ровно, тут вопрос не в том, что "семёрки не видно", а в том, что он должен и их на место поставить, т.к. тут не эстетика, а здоровье. Ваш врач-ленивая жопа. правильно делаете, что настаиваете!!! и перекос единичек этот беспонтовый орт обязан исправить ! Ишь, "так и должно быть"! Не должно быть! Надо чтобы всё было ровно, без перекосов и семёрки подключить должны в любом случае. Настаивайте на своём, вы платите!
Воу-воу, Lee - дружище, потише. Мой врач - не ленивая жопа - это однозначно, к ленивой жопе я бы не пошла. Не очень поняла, про какой перекос единичек Вы говорите, наверное, подразумевалось смещение центра - думаю, это в любом случае будет исправляться.
На счет семерок - мнения разделились. Кто-то и правда считает, что ставить стОит, а кто-то говорит, что оно того вовсе и не стоит. Просто правильно сказала Xenia "не тристо раз же все устанавливать". Я всегда об этом думаю. Лучше я сделаю и исправлю это сейчас, пока на зубах скобы, чем потом меня вдруг осенит, когда я их уже сниму.
Martinss, да, вы правы у меня все еще более или менее, есть ситуации куда пострашнее. Возможно сыграло и то, что 2 месяца вообще никаких сдвигов, кроме того, что появилась жуткая диастема, а потом ее закрыли. Возможно даже, что дело и не в семерках вовсе..., может мне глаз режут мои 6ки на НЧ?! Потому что на ВЧ меня все более или менее устраивает, кроме центра конечно. Как-то я себе представляла (возможно у кого-то видела на фото такой результат) - открываешь рот, а там "подкова". Так вот эти перекосы шестерок и семерок не дают общее видение той самой "подковы". И, кстати, да, меня предупреждала орт, что щеки будут разодраны "в мясо". При этом вы пишите, что туда ничего не налипает ни воск, ни жвачка. А я ни разу ничего и не клеила. Воск мне орт принципиально не дала. Сказала - терпи, образуется мозоль будет легче, а воском залеплять можно бесконечно. Вот я и терпела всегда.
Elza, центр все-таки хотелось бы сдвинуть. Глаз мне режет жутко. Не скажу, что я педант или дотошная, но если что-то мой взгляд поймает не то, то "мозолить" будет до бесконечности, пока не будет решена проблема.
Ооо, и у меня такая беда! меня это очень расстраивает( Как раз на днях я поняла что что-то не так и решила спросить на след. приеме. У меня 7ки не поключены, а 6ки завалились внутрь сильно. И чует моя Ж что орт будет говорить типа больше ниче с ними не сделать... Буду стоять насмерть! ![]()
shelkovaya01@mail.ru, у вас кстати не очень сильно вроде, я б даже не заметила, если б вы не обозначили это. У меня намного сильнее раскорячились 6ки...
Nastya 353, одним натиранием меньше, одним больше, какая уже разница
вам просто с непривычки тяжело, но это пройдет
Nastya 353, не заметила ужасных натираний
У меня на всех зубах брекеты, на 8х тоже.
shelkovaya01@mail.ru, пока мне не нацепили замки на 7ые зубы ВЧ воск тоже не особо ходовый был) Раньше терпела и ниче, норм было, действительно терпимо. Но то, что сейчас... боль ужасная, есть невозможно... та просто молчать больно. Такое не очень потерпишь без воска) и вообще, не вижу в нем ничего плохого) мозоли? хах, если бы) да, там мясо) я стараюсь на ночь кое-как вату нацепить и намазать раны чем-то, пускай отдыхают до утра) Ну так и что мне с того, что больно? У меня это скорее всего из-за того, что дуга за пару дней вылезла, может когда ее подрежут- станет легче)) хуже ходить к кривыми семерками и уехавшими внутрь шестерками. А у некоторых ниче не мешает, ничего не натирает, не болит)) Кто знает, как у вас могло бы быть)) Так что размышляя, настаивать на брекетах на 7е зубы или нет, явно не о натирании надо думать, а о том не пожалеете ли вы, если не доклеите, сильно ли оно вам надо и т.п.)
Mrs.El, наверное потому что зубы сами нормально стоят) у меня зуб в десну развернут был
честно не стала читать все комментарии((( уж простите!
что касается семерок, то тут я так стажу! мне их тоже клеили позже и при этом я всякий раз просто выпрашивала, потому что когда от 6-к зубы вставали по дуге, 7-ки были мимо
Я не поняла про "подключать 7ки накладно". У меня, например, брекеты на 7ки шли в наборе. Или Вы оплачивали конкретно до 6ок брекеты? А как со смыканием? Ведь то, что этих зубов не видно, еще не значит, что они не должны стать в правильный прикус, БС ведь ставится не только для эстетики. Насчет натирания, то тут тоже поспорить можно. Мне они никакого дискомфорта не доставляли, 6ка немного натерла, а 7ки вообще не чувствуются.
Nastya 353, все восьмерки в сторону щеки были развернуты. семерки на ВЧ ровно стояли, на НЧ завалены были вестибулярно.
Mrs. El, значит тебе повезло, радуйся)) я вот мучаюсь, как и Martinss))
lelechka, я, видимо, тоже буду настаивать на своем, потому что пока есть возможность надо ей воспользоваться и делать.
Kristisha, скорее неправильно выразилась, вернее под словом "накладно" подразумевала не в денежном эквиваленте. Накладно в том плане, что снова возвращаться к первым дугам, которые мы уже прошли, а это и время потерянное жалко. Т.е. не в плане финансов, конечно и у меня оплачены все брекеты, а не только до 6 ))) А на счет смыкания - у семерок получается свое отдельное смыкание, т.е. между собой (НЧ и ВЧ) они нормально стоят, меня волнует именно факт того, что не в ряду с остальными зубами.
А вообще я поняла, как мне воздействовать на орта. Я поставлю вопрос по другому - мне не нра мои завалившиеся шестерки. Что-то мне подсказывает, что их можно вытянуть благодаря подключению к системе 7х зубов. Вот и посмотрим, что из этого выйдет.



Вы прям мой случай слово в слово описали
Коллаж вставлю, нет отдельно фотки.
У меня семерки ВООБЩЕ не в ряду, врач говорит тоже самое, мол их не видно, смысла клеить бреки нет-все равно не встанут. Причем, еще так ехидно добавила, ну если оооочень хочешь, я те приклею замки на 7-ки, сама потом посмотришь(((( Я хз как быть.
И центр тож уехал, говорит надо микроимплант вкручивать, причем тоже такая интересная, говорит-ну что центр то будем править или так оставим. Вот после таких высказывания, я первый раз за год усомнилась в выборе врача
Вот так с этим делом у меня обстоят дела