Срок заточения - 1 год = 365 дней. (фотографии, итоги)
Ну что, вот и настал этот день – годовщина моих отношений с брекетами. ![]()
Неужели прошел целый год? Даже не верится… Вроде, совсем недавно я решилась на брекеты, пошла на консультацию, а оказывается прошло уже столько времени.
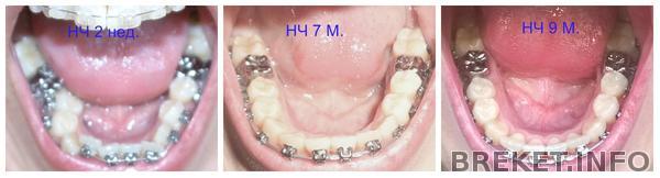
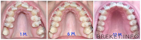
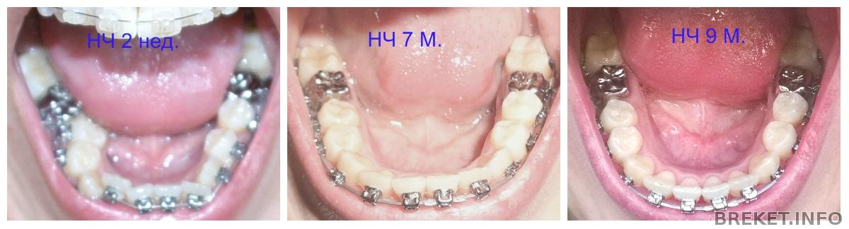
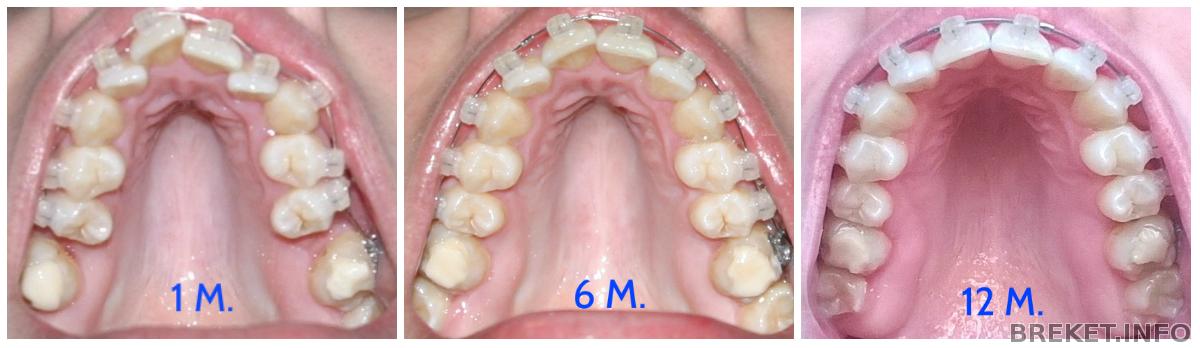
Что было сделано:
- удалены 6-ки на ВЧ, перетащены 7-ки и 8-ки на их место
- на НЧ на шестерках стоят металлические коронки, к которым припаяны замки, а после окончания лечения их заменят на керамические.
- на ВЧ поставили уже пятую дугу, а на НЧ третью, через 2 недели поставят четвертую. Сколько их еще будет – неизвестно. И за год, кроме замен дуг, больше НИЧЕГО не делали.
Я недовольна! Да, меня не устраивает то, что происходит в моем рту. Одна сторона ВЧ выше, другая ниже, единица и двойка до сих пор косят, смыкания нет, про центр я вообще молчу.
Естественно, сравнивая с тем, что было изначально – небо и земля. Но я до сих пор немного в ауте от слов орта, что смыкания нормального может и не быть, что поможет мне только операция и т.д. (см. предыдущую запись)
Сколько еще носить? Понятия не имею. Изначальный срок был полтора года, т.е. октябрь, 2014г., но что-то мне подсказывает, что в этот срок мы не уложимся. Да и фиг с ним!
Две единственные фотографии,сделанные до БС, где я улыбаюсь. Ужс...
По поводу асимметрии лица. Нашла фотку, где ее видно(рот кривоват и одна сторона лица немного больше другой)
Ну и дальше коллажи ![]()
Да, до идеала еще далеко(если это вообще реально в моем случае), но я продолжаю улыбаться и надеяться на лучшее! ![]()
Комментарии
Зубки намного улучшились, ровненько стоят и челюсть расширилась!
Варечка, день и ночь просто!
Мне кажется, уже красота, потрясающий результат за год! Не бери в голову всякие мелочи, доверься орту! а там, глядишь, и эластики дадут
Какая ты красавица!
Мне ассиметрия даже не видна. Глаза!!))) это усе тчо видела))
Марина А, асимметрия - это мелочь
дайте мне нормальное смыкание и я буду довольна, как слон
За зубки спасибо!
Kristina-amur, да, улучшились несомненно
Я им и за такой результат благодарна, но если они еще ровнее встанут - цены им не будет
Алхимик, спасибо!
я уж очень надеюсь, что мне хоть что-то дадут, а то одни дуги - это как-то несерьезно
Ксюха, спасибо, ты мне постоянно делаешь комплименты, так приятно!
Varechka, прелестная девушка)
Улыбка тебе очень идет и волосы шикарные)
У тебя уже все красиво, у меня через месяц год и печаль печальная.
Varechka, ношений-отношений
норм ващще
ничё такая
Вот, типа "комплименты" на десерт)))
Изменения разительные!!
ух ты! красота! центр надо выровнять
Улыбашка, спасибо! Слышать (читать) комплимент про волосы для меня тоже самое, что слышать комплимент про зубы - оооооочень приятно. Я всю свою жизнь ходила с короткими волосами и вот 3 года назад начала отращивать
Давай-ка не унывай! И у тебя красота будет! Без нее тебя отсюда не отпустим!
Халвенция, ты просто комплиментный гений
Спасибо, братух, от души душевно в душу, ващщще!
Мята, спасибо
Katya_art, благодарю
Вот только не знаю реально ли мне его выровнять, если одна сторона челюсти у меня развита больше. В этом-то и грусть-печаль-тоска.
Привет, можно задать вопрос? ты написала, что тебе удаляли 6ки и перетягивали 7ки и 8ки на ее место. У меня 6ка мертвый зуб, который надо перелечивать и это займет 5-6 сеансов, а 8ку орт сказала удалять из-за нехватки места. Я предложила ей удалить мертвую шестерку, а на ее место притянуть 7ку и 8ку, чтобы все зубы были здоровые и не пришлось удалять 8ку и лечить проблемную 6ку, которая лет через несколько все равно рассыпется, но она отказалась, заявив, что мертвая 6ка лучше здоровой 8ки. Как в твоем случае? 7ки с 8ками нормально перетянулись, никаких проблем не было?
Keterin, привет
А на какой челюсти? Верхней или нижней? На верхней зубы быстрее двигаются вперед, а на нижней назад (по словам моего орта). И мои 7-ки и 8-ки на ВЧ буквально за несколько месяцев нормально встали. А на НЧ, как ты уже, наверное, заметила, шестерки тоже проблемные. Они были полностью развалившиеся и только корни оставались нормальными. Решили их восстановить, сделать металлические коронки на время лечения(потом будет металлокерамика). О перетягивании 7-ок и 8-ок на НЧ даже и речи не шло. Во-первых, на НЧ это делается оооочень долго, по 2-2,5 года перетягивают их (посмотри дневники Ennelyne и Nixe). Во-вторых, мои 8-ки на НЧ еще пока под десной, то есть этот факт тоже увеличил бы продолжительность лечения.
Вот как-то так
На верхней челюсти. И 8ка уже потихоньку начала резаться, мне кажется, она сама будет оказывать достаточное давление на 7ку и помогать ее передвигать. И большое спасибо за ответы








Когда есть ассиметрия лица изначально, то есть практически с детства, то конечно исправить ее очень сложно.
Но если смотреть только на твои зубки, то они выглядят потрясающе))