пошла лечить зуб перед коронкой.. теперь смотрю - нет десны.. что теперь делать?..
Это не совсем по брекетной тематике, но уж очень я сижу переживаю..
Брекеты у меня вверху стоят, а внизу пока нет (может, удастся этого избежать).
Ситуация такая - года три назад отвалилась у меня стенка зуба (6-ка нижняя), а там пломба стояла, нерв удален и каналы залиты.
Решила я зуб этот наконец починить.
Пришла - мне говорят - пломбировать бесполезно, стенки тоненькие, нужно ставить коронку.
Что делать - согласилась.
Сняли пломбу, заново залили каналы (хотя с каналами все в порядке было, видно на 3d), поставили временную розовую.
Чем-то смазали десну (типа лечебным заживляющим чем-то, поскольку, сказали, она немного воспалена была (хотя внешне незаметно и не болело совсем).
Далее план бы такой - снятие временной пломбы, снятие слепков, установка коронки..
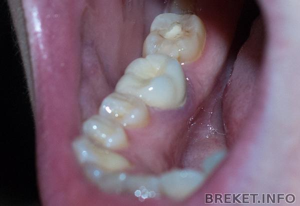
Но сегодня (а это несколько дней после первых манипуляций) чувствую - что-то больно и по ощущениям десна шершавая какая-то.
Смотрю - а ее там нет!!
В шоке и смятении пребываю..
Граждане-товарищи, может у кого-то есть какой-то опыт в этой теме или предположения или вообще хоть какие-то мысли...
что теперь делать и чем это чревато?..
Десна ведь новая не вырастет?.. Или вырастет?..
И что теперь?.. Коронка отменяется - и теперь удаление и имплант?.. или это в порядке вещей такие дела?..
С деснами отродясь пробел не было, сижу и ничего не понимаю..
К врачу записаться и доехать могу только в субботу (тогда и была назначена запись к ортопеду для снятия слепков..)
Комментарии
Саша, спасибо..
Я тут-таки дозвонилась до своего врача (пришлось ее от пациента буквально оторвать - но иначе ее не поймаешь, а это в другом городе, заявиться на прием не могу). Она фото смотреть не стала (это на ресепш идти надо, а у нее там забита запись под завязку), но она в полной уверенности говорит, что все нормально, ничего там страшного быть не может, что десна на месте, никто ее не отрезал и отвалиться она не мола.. Десну она каким-то септопаком обработала, и этот препарат ее немного опустил, чтоб не зарос зуб с месте скола (а скол был только в коронковой части)
Ничего себе немного...
Причем такое ощущение, что сначала такого не было - и она все ниже и ниже опускается..
а мне кажется, это десна просто побелела так... я на сайте у кого-то видела такое. видно же, что это не корень зуба
Бурундучок, это как раз корень, просто чем-то покрытый.. Не десна точно (не мягкая ткань). Десна реально там заканчивается (прямо рельефно обрубается, так сказать..) А обнаженная часть - твердая и при постукивании именно такая, как зуб..
Жаворонок, а к другому врачу вы не можете попасть пораньше? может к парадонтологу?
Жаворонок, есть ведь и дежурные врачи, они в любое время принимают...
Идите к любому другому стоматологу, это же ппц!... Тем более если она все ниже и ниже опускается. Вы зуба хотите лишиться что-ли? Десна новая не вырастет.
Бурундучок, Varechka, да она меня вроде убедила, что все нормально, что это так препарат десну отодвинул.. Что перед снятием слепков для коронки и при временной пломбе так и нужно делать, с учетом, что у меня там был скол стенки зубы..
Идите к другому врачу и срочно. Мне кажется дела серьезные.
Жаворонок, мне в прошлом году ставили коронки на обе шестерки на НЧ и с десной все было нормально.
Варечка, мне врач сказал, что это из-за скола стенки зуба пришлось делать перед коронкой..
Оно болит?
По описанию похоже на кость родной челюсти. Этот оголенный кусок шершавый?
teriana, да шершавый.. и побаливает.. кость что ли, в самом деле?..
Это не нормально. Десна по краям явно сильно воспаленная, аж синеватого цвета. Мне тоже ставили коронку, но такого не было и явно тут десна опустиась не "немного". Бежать к врачу завтра с самого утра! Пусть не к своему, найдите более или менее приличного доктора, ща стоматоложки на каждом углу.
Жаворонок, у меня стенок вообще не было.
не хочу пугать, но всё указывает на то, что это кость. Не понимаю, как так можно было десну отодвинуть. Белого налета нет на десне? Это был бы хороший признак, указывающий на процесс заживления. У меня тоже была кость оголена, сейчас остался мощный такой рубец, но всё зажило и выглядит прилично. Правда, кость у меня не с края десны оголилась, а в середине, то есть мягкие ткани окружали оголенный кусок.
Быстро к другому стоматологу на консультацию, нельзя тянуть. Каждый день играет роль!
Что может знать врач, если не видел реальные фото. Поэтому не нужно слепо верить, а нужно быстро закрывать проблему!
Удачи тебе, без паники, решение всегда найдется)
Долго на сайт не заходила, спасибо за участие!
Мне туда вчера коронку поставили, десна так и осталась ниже уровня у остальных зубов.
Но коронка так же вниз уходит.. Могу фото выложить попозже.
а что врач на это сказал, почему так вышло? и что это - костная ткань? фото, конечно, очень интересно было бы посмотреть.
ну теперь всё не так страшно выглядит, как раньше ) но десна всё равно очень воспаленная, хоть она, по-моему, стала выше.
Да, выше стала, но это предел. Специально уточняла у ортопеда.. Больше не поднимется, там теперь коронка.
Воспаленная немного, да. Он при установке коронки мне там задел до крови.. Заживет, надеюсь)
Вышло даже очень хорошо) Внешне не отличишь от твоих зубок)



ох жесть конечно. вы только не волнуйтесь, но новая десна не вырастет((
делают операции по наращиванию тканей десны.
я, конечно, не доктор, у меня тоже есть некоторые проблемы с деснами, но не такие масштабные, думаю, что сначала придется десна лечить, а потом коронку ставить. об импланте речь вообще не может идти в данной ситуации.