Вопросы вопросы вопросы...))
Всем привет!
У меня вопрос к тем, у кого верх-керамика, низ-метал. Чувствуете ли вы какую то принципиальную разницу? По эффективности? по натиранию? по удобству? и тп (в общем, хочу услышать такой развернутый ответ-сравнение).
Вопрос возник в связи с тем, что верх у меня керамика и за месяц ношения меня полностью устраивает. Низ первоначально хотела ставить метал, но вот думаю...может тоже керамику? По деньгам разница всего в 4 тыс..
Кому подпиливали зубки?)) Когда вам это делали, в какие периоды ношения или же после снятия?
Какую фирму зубной пасты вы считаете для себя лучшей, и почему?)))
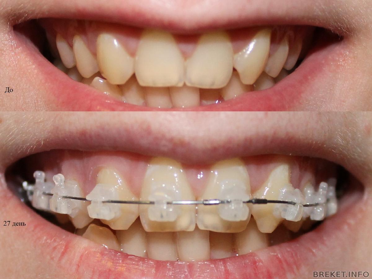
И мои "мини результаты" за 27 дней))))))
Наклон зубов меняется-и меня это радует. Чем быстрее все встанет более менее ровно-тем быстрее поставим низ)))
Комментарии
Халва большое спасибо за ваш ответ!)
Я вот тоже где-то читала, что метал работает "быстрее"..)
меня еще немного смущает тот факт, что керамические замочки они больше металлических..и вот выйдет ли их вообще нормально приклеить когда зубы в куче?)
А вам верх вообще не натирает?)
Karichka, керамика сама по себе объёмнее)) и на НЧ некоторые орты не рекомендуют ту же керамику, ибо нижние зубки уже.. про твой случай лучше у орта уточнить)) Верх натирал, сейчас уже привыкли щеки)) Но бывают моменты, когда снова царапаются, запасись воском, и везде носи его с собой
Халва да вот с ортом когда обсуждали, вроде как сошлись на низ метал ставить)) но вот появились у меня сомнения, что все таки керамика по-лучше наверное..я, конечно, уточню у нее еще. хотелось просто услышать мнение из первых уст))))
Да мне воск врач выдала.)) Один раз только залепляла, ночью неудачно поспала на щеке)))))))
Кстати, железные в щёки впиваются прилично так, ночью
при пробуждении не хилые такие следы остаются , соответствующей формы
Ставь керамику, если сэкономить нет причины))) Но ради сравнения можно рискнуть))) смотреться будут органичнее
еда больше на НЧ застревает и в керамике (у меня керамика и на ВЧ и на НЧ)
я конечно за эстетику, потому что говорим мы больше чем улыбаемся, и НЧ при разговоре видно
а тем более после столь малозаметных брекетов на ВЧ железный низ можеит разочаровать своей заметностью. Я в целях сэкономить 6 тысяч подумывала о металле, но я дама самокритичная, решила поставить керамику. Когда я увидела металлические брекеты на 4ках и 5ках, и представила что таковых был бы полон рот (они ж даже не светлые как алюминий, а темные, чуть не черные, короче очень заметные по сравнению с керамикой), я была счастлива что сделала правильный выбор и ужасалась, представляя, что было бы, поставь я метал... Хотя понятно что: или мучилась бы, или отдала бы по 1500 за 6 брекетов, потребовав переклейки переднего металла на керамику.
Ходить с ними минимум год, 4 тысячи : 12 месяцев = менее 350 рублей в месяц за гораздо большую свободу и эстетику.
По функционалу не отличаются, раньше на НЧ керамической могли открываться замочки, но это было не страшно да и производители уже исправили этот косяк, у меня за полгода ничего не открылось ![]()
Единственный плюс железа (он же и минус) : они менее гладкие. Минус понятен - чуть больше будут натирать, плюс - за них легче цеплять всякие чейны-проволочки, на керамику не всегда с первого раза надевается. Но я лучше 4 минуты в месяц потерплю, чем буду постоянно ловить взгляды людей на своей НЧ.
ну и вообще я готова часами агитировать людей на деймон клиар)))
ЗЫ: однако, справедливости ради стоит заметить, что безлигатурные деймоны даже металлические практически не натирают по сравнению с лигатурными, т.к. деймоны существенно более гладкие по форме, и, как сказала о них орт, "там натирать нечему". Конечно, первые дни любые брекеты натирают, но, сдается мне, лигатурные - сильнее и дольше
Халва, которая раздавленная семечка мне если впиваются брекеты ночью - то и керамика тоже, все губы наутро в квадратных дырках. Меньше надо спать с открытым ртом потому что))
И про быстрее движется - это потому что на НЧ корни меньше, у меня и керамика быстрее чем ВЧ двигает низ. Короче, отличаются они только эстетикой, в остальном можно сказать различий нет
MoonLady, профессор, как замечательно Ваше присутствие скрасило дискуссию
Кст, никогда не проводила параллель меж раздавленной семечкой и моим детским погонялом
Благодарю, здесь есть, что-то из мистики))) Психологию отклоняю.. Либо совпадение - моё стремление... - чушь
MoonLady, и да, так грубо ко мне еще никто не обращался
Я целёханькая! Стойкий брикет)))
тебя так с детства зовут????
откуда корни?
MoonLady, нет
в начальных классах СЕМЕЧКОЙ называли, любя
Корни от подсолнуха
Фамилия у меня "семечная" или "семечковая"
Тсс, это секрет, я не распространяюсь
Ты первая
Яааа, первая? ах ты, девственница моя невинная
У меня железки на НЧ и керамика на ВЧ. Ничуть не пожалела, что поставила железки, просто в моем случае НЧ при разговоре не видна, никто даже не догадывается, что у меня там металл, знают только те, кому я сама показала ![]()
По поводу эффективности я думаю, что это миф, либо слишком преувеличена эффективность металла.
К металлу я привыкла быстрее, чем к керамике. Damon Q они же маленькие, как бусинки, их почти не ощущаешь, а Clear все же крупнее.
В общем, мое мнение, что если НЧ видна, то ставить керамику, а если не видна, то металл.
MoonLady, Халва, вместо того, чтобы девственность и корни Халвы обсуждать лучше бы посоветовали хорошую пасту Няше-Наташе
жирно будет, мы ей и так про брекеты вон сколько насоветовали
MoonLady, да вы тут, по-моему, больше обсуждали растение из рода Подсолнечник и его продолговато-яйцевидные семянки
Вроде, металлические замочки покрепче, попрочнее... У меня на передних зубах сверху керамика, остальное - металл. Как тут уже говорили, металлические сильно впиваются, но зато нижние быстро стали ровными
Варежка, Да ты выше посмотри, какую я простыню написала
ухтыжблинвотэтопонаписалимнетут))))))))
MoonLady огромнейшее спасибо за такой большоой ответ))
зашла попялилась на ваши фотки-не так уж и громадно смотрятся брекеты, все таки снизу зубки меньше по габаритам чем сверху...ток остается у меня один единственный вопрос-реально ли на мою скученность будет их приклеить)) ну это я у орта уточню))
Varechka спасибо за ответ))) кстати про пасту мне итак никто ничего и не написал)))))))) а то просто интересно стало кто чем пользуется..а то мне врач сказала что бы я использовала все как раньше, а мол если будут какие-то проблемы то она будет мне говорить чем пользоваться))))))
а нч вообще у меня видна периодически..а нч вам сильнее натирает чем вч?
Eaviva я вот тоже читала, что метал прочнее)))
у меня вот на двух последних зубиках замки металлические, вот один впился ночью как-то, а те которые керамические дискомфорта не причиняют вообще)
в общем, огромное спасибо всем за ответы)) я стала еще более склонятся к керамическим и на нч...осталось только проконсультироваться с ортом))
Сравнивать абсолютно нет смысла, так как обе челюсти по разному реагируют. У меня на обеих метал, но ощущение каждый раз были разные. Низ больше натирал, больше еда застревала, больше болела. ![]()
П.С. А сейчас вообще никаких проблем, даже пища практически не застревает.
НО! Не знаю как у остальных, но у меня при разговоре низ больше видно, чем верх. Так что если ставили эстетику из-за незаметности, то советую и на низ ставить ее же.
Nataha спасибо за ответ)) скорее всего вы и правы т.к. у всех все индивидуально все равно
Нуууу... можно не приклеивать все сразу если не влезут) Либо наклеить как получится, потом переклеить некоторые. У меня вот единички были развернуты внутрь, и на одну из них думала брекет не влезет, а его приклеили, да ещё и почти по центру... теперь зубки по дуге, и заметно что брекет не идеально сидит, вот жду когда орт решит что надо переклеивать, стесняюсь к ней с советами лезть
MoonLady блин...вот мысль про наклеивание не всех сразу мне в голову почему-то не приходила)))
У меня три любимых пасты: рокс цитрусовый джаз, сплат биокальций и новый жемчуг с кальцием. Первая самая вкусная и самая дорогая, зараза. Последняя - весьма качественная (гигиенист сказала что это "правильная паста, несмотря на низкую цену) и радует меня как экономиста и скрягу. Сплат - золотая середина между крайними. Ну и как можно заметить, они все с кальцием, а значит, без фтора. Я понятия не имею, есть ли фтор в воде моего города и надо ли пользоваться пастами с фтором, но от него язык щиплет (что при затянувшейся с брекетами чистке двойная проблема)
Поэтому я предпочитаю пасты с кальцием, иногда для профилактики с фтором пользуюсь, но через силу.
ЗЫ: ну а ещё пасты эти, потому что они вошли в список "одобренных" гигиенистом. В этом списке новый жемчуг, сплат, лакалют, президент, рокс ну и все прочие той же ценовой категории, а блендамет и колгейт в черном списке из-за своей абразивности. Ну а ещё гигиенист говорила надо тюбик с кальцием - тюбик с фтором пользоваться... Но я это правило несколько нарушаю: тюбик с кальцием - четверть или треть с фтором...
MoonLady ооо мои мольбы про пасту были услышаны)))))
вот я на рокс тут заглянула-но цена смущает..)) жаба душит покупать пасту за 200р
у меня вот сейчас сплат, и очень меня радует т.к. как начала пользоваться через пару дней перестала ныть десна между зубами..
а по поводу фтора-у меня подруга сейчас пишет диплом на тему зубных паст))))) и все их исследовала)) так вот по ее заключению колгейт самая плохая т.к. в ней ооочень много фтора! больше чем в других пастах))) так что правильный черный список)))))
не очень поняла про "тюбик с кальцием-тюбик с фтором" - их чередовать сказали или совмещать?))
Пользуешься тюбиком с кальцием. когда он кончится - начинаешь со фтором, когда и он кончится - снова покупаешь с кальцием... Чаще чередовать нет смысла, совсем часто типа утром фтор вечером кальций - так кальций усваиваться не будет, потому что фтор более активный элемент. Поэтому даже гелем РОКС минералс можно пользоваться только если паста с кальцием, иначе от него никакого толку...
Рокс недешевая, но она очень экономичная, я прям совсем с горошинку выдавливала, и паста казалась бесконечной))) месяца на 1,5-2 вроде хватило тюбика, уж не помню)) Но она классная) Рот совсем не дерет, капельку мятная и чуть-чуть лимонная... Прям как я люблю))
Только всякие сладкие у них типа сакура, венский десерт, кола и т.д. не советую. Это прикольно изредка, под настроение, но очень быстро надоедает... я сакуру полгода добить не могла, через силу пользовалась...
MoonLady спасибо за совет-надо будет все таки купить рокс))
а врач не говорил про прием кальция внутрь?) ну или каких-либо других витаминов?
я тоже выдавливаю горошинами))) но вот зубы чищу по 3 раза в день точно-потому мне кажется что я быстро расходую пасты)))
не говорил)) Ну можно купить рокс и новый жемчуг, новый жемчуг 1-2 раза в день, а рокс - остальные, для души
Karichka, ко мне на "ты" можно, мы же ровесницы))) НЧ мне вообще почти не натирала, а с ВЧ я прилично помучилась)) Пастами пользуюсь только фирмы SPLAT, люблю с зеленым чаем и биокальций, а рокс я покупаю раз в год, наверное, для разнообразия


Про разницу - железный низ, лично у меня, сильнее натирал слизистую - это раз.
Мб это зависит не от вида конструкции, а от особенностей НЧ, на них по большей части проходит жевательный процесс)) но тем-не-менее, меня это бесило
Сначала жалела, что поставила метальчик, по эстетике не гормонично и прочее. Но... прошло 10 месяцев, они прекрасны и очаровательны
Маленькие, чудесные, и еще момент - мб иллюзия, но метал будто-бы быстрее работает с передвижением зубов) Или это тоже - фактор пропорций НЧ. DIXI
В них больше застревает еда