+1 в вашем ряду
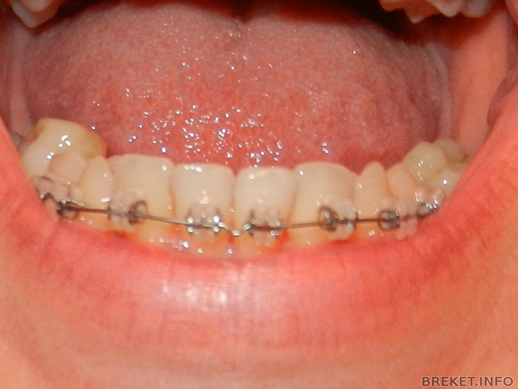
Всем здравствуйте. Еще до установки БС наткнулась на данный форум и "зависла" на нем. Поэтому на установку БС шла во всеоружии, так сказать. Я очень часто просматривала фото до и после БС, результаты меня всегда поражали.
Как и все здесь "живущие" первое время я привыкала к БС. Если к ВЧ я привыкла за неделю, то к нижней адаптация шла дольше, думаю, что виной пломбы, т.к. прикус у меня глубокий и верхние зубы сорвали БС с нижних.
Мне уже на ВЧ поменяли дугу и на нижней. Следующий прием 19 апреля. Посмотрим, что скажем моя ортофея.
Комментарии
Спасибо, как и все, надеюсь на это.
12.04.2014 - 19:22



Форма зубов красивая,когда все выровнится,будет загляденье!)