без десяти четыре
Всем привет. Пока есть время, решил выложить несколько фотографий. Лечение проходит по плану (периодически отсылаю фотки орту вконтакте). Носить еще очень долго. Но ход времени заметно ускорился.
итак, напомню что имели до начала лечения
при замене первой дуги (то есть почти два месяца назад)
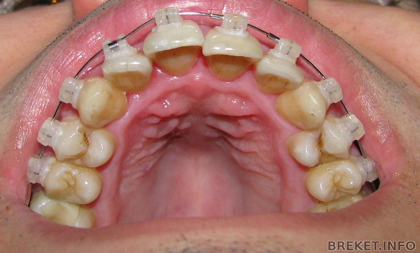
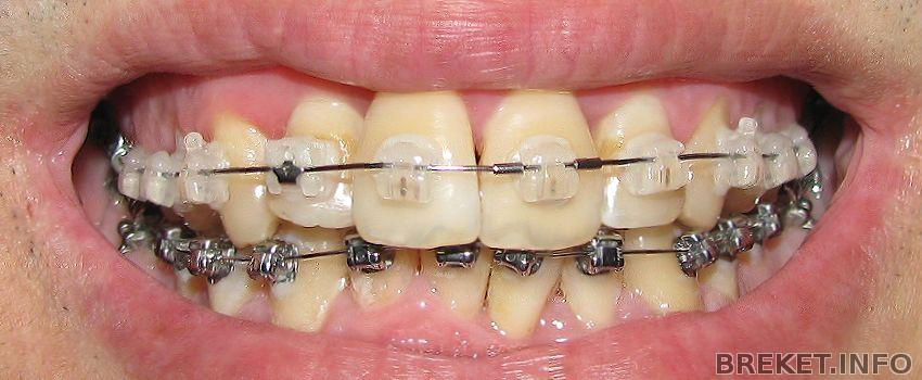
И ситуация на эту ночь. Изменения минимальные. но есть.
щель между единичками приобретает невиданный доселе размер
ну и изменения в лице. то ли я поправился, то ли реально челюсть расширилась. фото в 17 лет и в 24. для документов каких-то.
Всем успехов!
Комментарии
понятно дело - возмужал!) нет напряжения в мышцах , исчез перекос рта. очень хорошо, дальше будет ещё лучше!
13.04.2014 - 23:49





оооо, двойка почти вырвалась наружу, наконец-то))
Возмужал