О ужас, что происходит с улыбкой((
Всем привет!!
Сделала фото посмотреть изменения и...
да, смотрю на ВЧ снизу - изменения радуют.
Но улыбка - просто кошмар какой-то. Не знаю, что и думать.
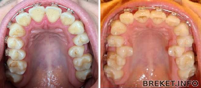
Было так:
А стало так:
Комментарии
поровнее стало, если без обид ,вам нужно на чистку идти,такой темный налет на нч.
Ксюня, ты лучше расскажи, что случилось с пятерками.
Девчата недавно эту тему обсуждали http://breket.info/blogs/1073895776
Что орт говорит? Это ненормально, одно тебе скажу!
Ledy_Boss, спасибо за поддержку!!!)
Стремящаяся, спасибо за коммент, планирую пойти в ближайшее время. Только вот налет, как мне кажется, сильнее на ВЧ. Эмаль такая - впитывает все красящее.
Ennelyne, пятерки у меня такие и были, суть лечения по большой части как раз в том, чтобы их поставить в ряд. Все это время мы пытались освободить пространство для них. Так вот одну уже подключили, так как места достаточно освободилось, теперь она потихоньку становится в ряд. А для второй (той, что слева) места пока не хватает. Ты же про верхнюю челюсть спрашивала, да?
Да, я про верх. Тут бы пружинки помогли. Зубки крупные, вот все и не помещаются)
Восьмерки удалены?
Пружинки стоят уже очень давно, просто медленно место освобождается( Да уж, крупные - не то слово)) Восьмерки не удалены, так как, по словам орта, необходимо, чтобы зубы вперед выдвинулись, а не назад.
Пружинок на фото вообще не видно)))
Восьмерок тоже. А они прорезавшиеся или ретинированные?
Ого, какие 5 ки в комментах. Невольно начинаю думать как ими кушать)
Ennelyne, губы все закрывают)) Восьмерки ретинированные.
Xenia, да нормально было кушать)) Сейчас, хоть одна из них и в ряду почти (фото слева), кушать гораздо сложнее)))
Интересно было бы глянуть на снимок - может, ретинированные восьмерки и являются препятствием к возвращению в ряд пятерок? ![]()
Пружинки не натирали слизистую? Как я про них угадала ![]()
Не зря мой орт как- то сказал, что если бы пациентам давали дипломы, то он непременно дал бы мне его.
Ennelyne, снимка у меня нет, он у врача. Молодец, что во все так вникаешь)
опыт не пропьешь - три года на сайте дают о себе знать



Не переживайте, все будет хорошо! Потом все будет ровненько и красиво, а сейчас нужно потерпеть и не пугаться