Позитивчик стух
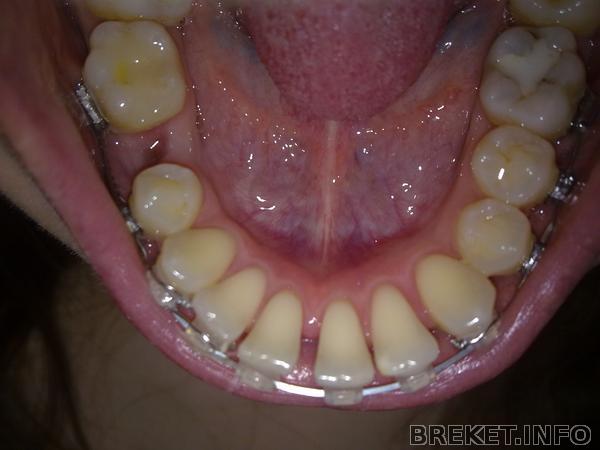
Был период в лечении, когда мне казалось, что экватор я уже прошла, и теперь всё будет становиться только лучше и лучше. Щазззз... Я конечно рада, что щель от удаления закрывается, но в упор не понимаю, почему нижние резцы при этом приобретают жуткий наклон!!! Из-за этого и ВЧ снова наклон усилила, в итоге у меня почти прямой прикус уже, НЧ вся в щелях, и процесс прогрессирует! Орт на 2 недели ушла на больничный (подозреваю, что выйдет она с него с бронзовым загаром), выходит 24 числа но самое раннее, когда меня смогли записать - 6 мая! Это при том, что мне сейчас каждую неделю к ней ходить хорошо бы, как она сказала. Вот думаю, может вломиться к ней без записи, всё равно у меня прием длится не больше 5 минут, и выпросить чейн? Я боюсь представить что такими темпами будет к 6 мая, НЧ выйдет впереди ВЧ? И вообще, почему зубы-то наклоняться стали? Под катом куча фото со всех сторон. Как-то не очень приятно на втором году лечения иметь такой наклон и щели, как будто 3 месяца брекетам...
Пожалейте меня... ![]()
Это мои максимально "сомкнутые" челюсти...
6 недель после удаления
Комментарии
Я бы без записи пришла. Только позвонить предварительно...
Алхимик так щели появились потому что зуб удалили, а зуб удалили чтоб сделать НЧ поменьше и за счет этого убрать наклон на ВЧ)) Просто тут такой этам, сначала надо было оттащить несколько зубов в сторону удаленного, а только потом равномерно уже стягивать челюсть) мы и на ВЧ подобным порядком делали, это нормально в общем-то)) Но напрягает и подбешивает, хочется скорее чейн уже)) Ну и он бы в общем-то уже был, если бы не больничный орта и забитый график) Я не переживаю по поводу щелей, они уберутся, просто пока увеличиваются а хочется уже начать их уменьшать))
Кстати, на ВЧ щели были меньше уже. а когда НЧ вперед поползла - начала и верхние зубы выталкивать и они расползлись щелями))
Mrs. El только вопрос, что админам сказать... они же спрашивают что-то срочное ли, беспокоит ли что-то, потом с ортом созваниваются... Просто отмазаться что не могу это по телефону объяснить и спросили примет ли?
Не думаю, что НЧ выйдет вперед ВЧ, неудобно тебе, наверное, с таким смыканием(
Я бы приперлась без записи, раз тебя это так тревожит. Чейн нацепить занимает столько же времени, как и дугу подрезать. Я вот в первые месяцы без записи прибегала и мне никто ничего не говорил ![]()
А можешь перед тем, как прийти к орту, порвать чейн и сказать: "оооой, у меня беда, чейн порвался, боюсь, что все расползется, оденьте новый, пожалуйста!"
Varechka неудобно конечно)) Я вот щас сидела и размышляла: это я мегатерпеливая. И даже сейчас мне неприятно, но я стараюсь поменьше об этом думать и не париться... А как же те, у кого терпения вообще нет? Уже волосы на голове выдрали бы?...
Чейна сейчас нет вообще, поэтому зубы и ползут так... если только порвать тот, что над пружинкой...
Просто в обычном режиме у нее пациент каждые полчаса, а перед и после отпусков/больничных - каждые 15 минут если не чаще, поэтому не знаю удастся ли втиснуться...
Эээх, хотела щас уже поныть милому как мне надоели брекеты и как устала, потом решила не парить ему мозг)) Утешаю себя тем, что когда заканчивается терпение - начинается выдержка!
MoonLady, а я вообще решила не заморачиваться по поводу длительности лечения)) Хочется, конечно, чтобы все по-быстрее закончилось, но, видимо, мой случай никак не вписывается в 1,5 года
Я уже настроила себя годика на 2
ну мне тоже обещали изначально 12-14 месяцев (итого к июню снять должны были 100%), а теперь 100% снятие к новому году обещают (кстати, когда обещали к лету я настраивалась носить до сентября-октября)... Ды не, я бы терпела если бы как у других че-то было: ну перекос там небольшой, ну прикус долго ровняется, наклончик медленно убирается, щелочки маленькие стягиваются... Но, блин, у меня уже год какая-нибудь херня во рту типа этой, ну сколько можно-то??? Я уже не думаю о снятии, я мечтаю о более-менее нормальном виде зубов под брекетами! Пойду сожру торта
MoonLady, а на прямую нельзя связаться с ортом? Мой если телефон где-то бросил, а мне срочно надо, то я просто прошу администратора передать врачу, чтобы перезвонил.
Да, можно попробовать так, типа не могу по тел. Или на прямую сказать, что хочешь с врачом переговорить и чтобы попросили перезвонить врача или номер ее дали.
Нельзя, я даже когда у орта хотела спросить что-то, меня не соединили с её кабинетом, выпытали что меня беспокоит, положили трубку, поговорили с ортом и перезвонили, деловые блин...
А из подручных средств самосмоятельно никак нельзя этот чейн изготовить? Ну, типа там резинки для денег..
Дружище Бобёр я пока не совсем умом тронулась, чтоб считать себя умнее ортодонта и вмешиваться в процесс лечения) Желание такое меня ненадолго посещало - тягами че-нить вытворить, но я быстро включила голову и отбросила эту затею, уж лучше потерплю чем потом расхлебывать последствия и переделывать наделанное








Ох. Я бы тебя успокоила, но мне самой страшно. Твои щели на НЧ меня пугают. Честно - я вообще не представляю, как их можно закрыть
но я ведь всё-таки не орт.
Я из-за своих-то микрощелей распереживалась, представляю, как страшно тебе. А орта говорит что-нибудь про затягивание щелей?
С другой стороны, помнишь, какие у тебя щели на ВЧ были? Я тогда тоже была в ужасе от фото. А сейчас... хм... их почти нет