1,5 месяца/ 2-ой палновый прием
Ну что сказать....Вчера состоялся мой 2-ой плановый визит к моей ортофеечке. За полтора месяца левая двоечка почти выровнялась (стояла 14 дуга и пружина), единички ходили ходуном, но буквально пару дней назад приняли ровно положение и больше меня не беспокоят))
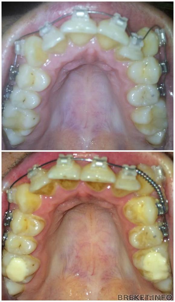
Честно говоря, сам процесс смены дуг показался мне адом, было ооооочень больно, так как двойка очень чувствительная сейчас, даже языком больно дотрагиваться, а тут дугу менять!!!!....В общем, это был тихий ужас. Надо отдать должное моему врачу, которая очень аккуратная и старалась как можно быстрее и безболезненней это дело провернуть. Подключили клык (который в носу). Наверно, это правильно называется эластик, его зацепили за клык и за тройку, чтобы он начал разворачиваться и по-тихоньку спускаться вниз. Результат за столь короткое время меня радует, на следующем приеме (22 мая) она сказала, что скорее всего будем подключать 7-ки и клык к дуге. Кстати, дуга 16 и что-то она там с ней поделала и сказала, что дуга будет стремиться расширять зубной ряд. Прошу прощения за цвет зубов (сигареты, кофе и черный чай) очень стыдно(((
Комментарии
Vikanik, да меня тоже волновал этот вопрос. Я спросила у врача, она мне сказала, что это нормально, и что так и должно быть, а теперь еще сильнее болеть будет)))



У меня ,кстати, тоже двойки настолько чувствительные стали. Когда меняли дугу было тоже больновато,особенно в области двоек. Я даже переспрашивала врача постоянно относительно того, нормально это или нет...))))