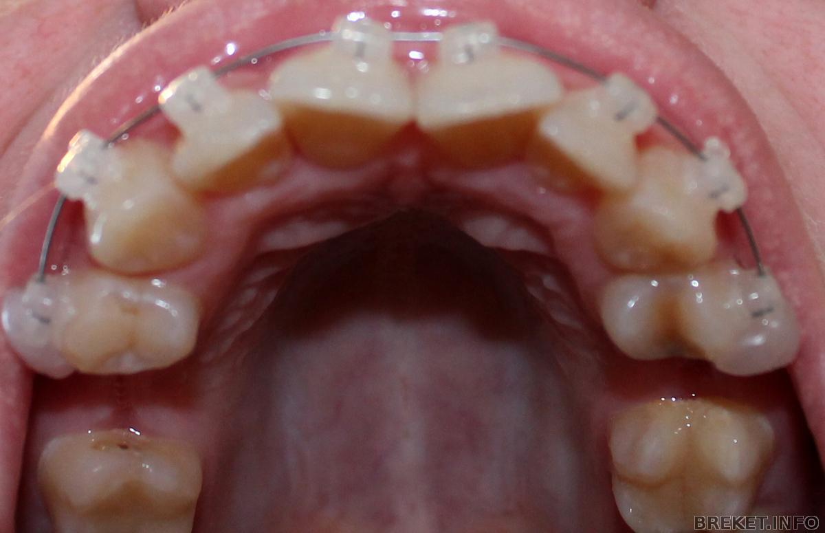
Поставили!
Даже и не вериться!После 4х месяцев подготовки поставили сегодня брекеты!Правда пока только на 8 передних зубов,6 и 7 ки подключим чуть позже.Пока ничего не болит,хотя я ждала что хоть не поем да похудею хоть чуть чуть к отпуску))Правда дуга чуть вылезла и натерла щеку,но хорошо что заранее прикупила воск.
Вообщем принимайте в ряды!Фотки хорошего качества чуть позже мне мой ортофей скинет,пока только самодельные)
Комментарии
Привет) поздравляю) мне тоже сегодня поставили (и верх и низ)
06.05.2014 - 21:13
Поздравляю с установкой! Удачи вам.
06.05.2014 - 22:22
shinoda,спасибо
07.05.2014 - 09:22
Catifa,поздравляю тоже!тебе долго носить?
07.05.2014 - 09:22
н@т@шеньк@, спасибо:)
07.05.2014 - 09:29
Поздравляю тебя!!!Удачного лечения и супер результатов!!!
07.05.2014 - 12:28
С установкой !
07.05.2014 - 12:42
Vikanik,Natalya86 спасибо
)
07.05.2014 - 21:22




всё будет клёво!