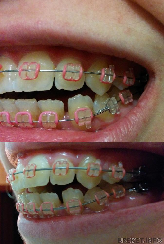
5
Моим брекетам сегодня 5 месяцев) еле заставила себя написать этот пост для отчетности. За прошлый месяц результаты меня не очень радуют. Зубы на НЧ никак не хотят стать в правильное положение. Меня это реально задолбало. Пятерка не поворачивается, четверка не поднимается, семерки-шестерки вообще не двигаются. Такое ощущение, что БС там просто зря стоит. Очень не хватает металлических лигатур на проблемных зубах. Не знаю, зачем орт их снял… наверное пожалел мои зубы после первой смены дуги. А вот не надо было. Из-за этого четверка, которая раньше ооочень медленно, но поднималась, в этом месяце вообще никаких успехов не сделала. Зато брекеты на семерках меня не мучили, так как они это делали на ВЧ) но семерочки большие, и вообще не поворачиваются. Я как-то раньше и не замечала, что левая семерка вообще круто повернута не в ту сторону
. Шестерки все такие же уехавшие внутрь.
Дыра между челюстями тоже никуда не девается. Хоть и очень неудобно, но я привыкла к ней. Впрочем, это не означает, что она перестала меня раздражать)))
На ВЧ тоже затишье)
На всех фотках сравнение с 4мя месяцами) забыла подписать фотографии, а удалить их, чтоб переделать нельзя))
Не думала, что у меня так быстро все застопориться) ожидала такой тишины еще через месяца 3-4 хотя бы)) Кажется, пора бы выдать мне тяги и для разнообразия начать работать над прикусом)) Но орт вряд ли так думает))
Фотографировалась сегодня на визу и могу сказать, что это кужас) в сравнении с фотками до БС сейчас не лицо, а катастрофа. Кобыла, честное слово. Такое даже показывать стыдно. Очень поменялось лицо и, к сожалению, не в лучшую сторону
И еще, девочки, у меня есть несколько волнующих вопросов, может кто-то сможет мне ответить хотя бы на некоторые (а лучше на все
):
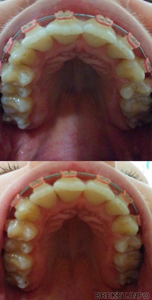
1. Обратите внимание на фото в анфас, а именно на правый клык (на фото левый) на ВЧ. Вам не кажется, что он не опустился до конца и выделяется на фоне двойки? Торчит как бы. Левый клык хорошо стоит, мне нравится. Сливается с остальными зубами. А вот правый мне не нравится. Хотя орт только пожимает плечами, мол, не видит ничего особенного. Как думаете, стоит настаивать на своем или все нормально и я придираюсь?
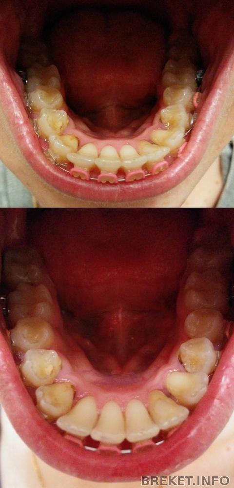
2. На фото прикуса слева видно четверку в полу лежачем виде и рядом стоящую тройку. Между тройкой и двойкой большая щель, что говорит о том, что зубам есть место двигаться. Но почему тогда тройка не может подвинуться к двойке и освободить место четверке, чтоб та наконец-то стала нормально? Может намекнуть орту на чейн, который сдвинет тройку к двойке или пружина толкнуть зубы может? Или вообще не стоит этого всего делать и просто ждать? Запутано, конечно, объяснила, но надеюсь суть ясна)
3. Хочу задать очень личный для меня вопрос. При установке БС орт меня сразу предупредил, мол, постарайся без беременности. Не запрещал, конечно же, но сказал лучше потом. А то гормоны и т.д. И сказал, если вдруг надо будет принимать какие-то гормональные препараты- сразу сказать ему. Щас гинеколог, по медицинским показаниям, посоветовал и назначил на пол года ОК, а там, как известно, гормоны. Конечно, щас их дозировка не большая, но все же. Я не хочу, чтоб это мешало моему лечению БС. Спрашивала у гинеколога, он сказал, типа ерунда, принимай и не беспокойся. И, кстати, по поводу БС при беременности тоже сказал, что наоборот зубы лучше двигаться будут. Странно было это слышать, т.к. все мы знаем о том, что БС и беременность лучше не совмещать. Хотя в компетентности врача я не сомневаюсь. Вообщем, начинать принимать ОК надо уже вот-вот на днях, на прием к орту только 20го числа. Звонить и спрашивать по этому поводу я не буду, мне очень неловко. Может кто-то что-то знает по этому поводу? Не навредит ли то количество гормон в ОК на лечение БС?
Комментарии
Уже 5 мес? Помню пост "еле дождалась 1 месяца" ))
Мне кажется, все двигается, на фотках видно
По поводу клыков - у меня такая же фигня - стоят на разных уровнях ( надеюсь, что все еще сто раз поменяется
Мартуль, твои зубики становятся уже узнаваемыми для меня даже без указания владельца ![]()
Так много букофф)
Так и хочу сказать - полгода - это не показатель ничего.
У меня в 2,5 - щели, клык не туда и все дальше по списку. Расслабься - не парься ![]()
И не торопись. Это главное. Все усядется, поверь. Только всему свое время. Доктора зашугаешь, бедного.
FuchSy, из этого можно сделать выводы, что ОК тоже не помешает?
Watson, ага, представляешь))) уже 5 месяцев)) тоже недавно вспоминала, как сточила тут эти самые "еле дождалась 1 месяца"))
а что тебе орт говорит по поводу клыков?
Ennelyne, ооо, так неожиданно))) вообще наверное это прикольно, что мои зубы узнаваемые)) это как хороших вокалистов сразу узнают по голосу))
да, букв я всегда много пишу))
Ниче, доктора раз в месяц можно и помучить)) иначе я сама вся изведусь))
Какие у тебя клыки классные, как иглы острые. Молодец, подробный отчет
Наклон есть((( щель сто пудов уйдет....
сейчас она как смайлик
Xenia, а меня они бесят, клыки эти вампирские)))) если бы хоть размера одинакового были, а то один выпуклый короткий, другой плоский длинный))
да уж, наклон ваще огромный... иногда смотрю и думаю: как корни не ломаются от такого положения
надеюсь, он уйдет, а то это ж не дело)
щель-смайлик - оооооо, это так мило
я от твоих слов даже стала меньше ее ненавидеть)))
Про влияние ОК на БС, я так поняла, никто особо не знает((( плохо, придется на страх и риск для зубов принимать)
не ну какие классные зубы! и улыбка в перспективе будет ого-го!
на счет лица, мне мое лицо при дистальном прикусе БОЛЬШЕ нравилось , чем сейчас, эти проклятые щеки висят себе и висят, подбородка не видно, разве что второй, при разговоре все равно видно, что у кого-то слишком мало НЧ,(((
когда щель закроется-"лошадиность" уйдет, по крайней мере на это стоит надеяться.
будет встреча киевских оценим друг друга, у кого чего поменялось.
на счет медленно-а быстро только кошки родятся))))
Martinss, по поводу клыков пока ничего не говорит, да и я пока не спрашивала, у меня даже не клыки, а жуткий перекос всей ВЧ из-за того, что 1 клык встает в ряд
Поддержу Ennelyne, тоже узнаю зубы)) Правда узнаю не только твои, а большинства
Доктор, это лечится?)
Martinss Я с телефона писала))) лень было распинаться( если мне кто-то позвонит " во время весь текст удаляется", но про ОК я знаю лишь, то что многим девушкам они помогают избавится от прыщей, кожа лучше становится, волосы растут лучше. Если их назначил грамотный врач.
Про такую деликатную тему как брекеты не знаю, но чем они помешают, то... ![]()
Да, ну
крутые у тебя клыки! Кусь -кусь настоящая
Мы тут уже как то выясняли, что у каждого ортодонта свое мнение по поводу беременности и БС, но в основном совмещать их доктора не боятся. А тут ОК, гормонов то там
, при беременности вот действительно настоящий гормональный взрыв в организме.. Мне кажется, боятся тут совершенно нечего.
А Ваш орт, видимо, из числа ярых противников беременеть во время лечения БС , он не грозился в случае чего снять брекеты совсем?)
капец, Сашенька, мне дико не нравится форма моих зубов, я все думаю как бы потом отреставрировать их и как на мои будущие идеи уговорить орта) а ты мне говоришь, что зубы классные)) меня это удивляет очень, но не может не радовать)) ![]()
мне надо эту лошадиность убрать и наклон, вот тогда, надеюсь, станет лучше)) а то мне тоже теперь до БС больше нравится)
кстати, давно хотела тебе сказать, зная некоторые твои недовольства собой: на нашей встрече я вооооообще ничего из того, что тебя беспокоит постоянно, не заметила)) ни больших щек, ни второго подбородка)) ничего не бросается в глаза)) я и щас смотрю твои фотки и катастрофы не вижу))
Watson, я тоже за собой замечала, что узнаю некоторые зубы))
Xenia, дааа, я тоже слышала и врач рассказывал о положительных свойствах ОК, но еще начиталась кучу побочных эффектов и, что сложно подобрать индивидуально. Мне за последние три года уже третий врач назначает, но я все не решалась, после того, как начитаюсь интернета...потом еще с мамой поговорю- и все, мама категорически против. А щас думаю ладно, надо так надо. Но слова орта о влиянии гормон на движение зубов не дают покоя. Они и так у меня не спринтеры, а если еще медленней будут двигаться- ваще расстроюсь)
BlackJecky, о, спасибо большое, за мнение)) я, в принципе, тоже склоняюсь к мнению, что там доза не такая, чтоб сделать мне проблему)) но все-таки решила тут поинтересоваться кто что думает, для принятия окончательного решения)
мой орт не то чтобы ярый противник беременности и БС, но попросил воздержатся по возможности от этого) снять не грозился, но напугал тем, что срок ношения БС увеличится чуть ли не вдвое...
Конечно щель и наклон не могут радовать, но ряд очень красивый получается, и мне тоже, кстати, нравится форма твоих зубков и клычки ![]()
На мой взгляд, уже тяги можно требовать)) Новую порцию прекрасных ощущений
У меня наоборот, нч уехала еще дальше вглубь..и тоже сейчас гигантская щель.. прям бесит, да еще шипилявлю с ней ![]()
В общем ждатьждатьждать
Martinss кино и немцы! я когда посмотрела фотки с той встречи так расстроилась из-за второго подбородка, что решали взять себя в руки и немного вес скинуть. вес скинула ( 9кг!, к меня теперь талия есть))), подбородок остался! укаждого свои недовольства внешностью и многие из них очень-очень субьективные
Mairead, знаешь, сегодня после написания поста меня тоже преследует мысль, что наверное пора требовать тяги)) орт уже несколько раз упоминал о них, и на прошлом приеме уже полез в тумбочку доставать... а потом бац- и за секунду передумал) когда напомнила, сказал "та не надо") вот уже ж) обнадежил и сразу разбил все мечты)) хотя, подозреваю, мне не понравится их носить))))
капец, ваще не понимаю как может нравится такая форма зубов и эти клычары)) возможно, мне пора пересмотреть этот момент и постараться полюбить это дело)) все-таки мне с ними еще жить и жить (пока не повыпадают
).
а еще, думаю, если бы убрался наклон и щель- я бы стала гораздо меньше жаловаться. А то они весь вид и положительные результаты затмевают(
интересно, чего это твоя НЧ уехала?( может это она так перестраивается в поисках правильного положения?)
Саша В., ого, та ты такая молодец! -9 кг!
я и так ничего плохого не заметила, а щас вообще захотелось увидеть твои изменения)) все-таки сброшенные 9 кг явно заметный результат)) и может ты просто привыкла к своему отражению в зеркале, а нас, которые давно тебя не видели, твои изменения поразят)) я просто уверенна в этом!)))
Марточка, поздравляю уже 5 месяцев! Время летит незаметно) ![]()
Зря ты наговариваешь на свои зубки, я вот смотрю на твою НЧ и вижу что дуга по другому лежит, нет такого глубокого изгиба, уже более плавный появился) ![]()
Конечно раздражает многое, это у всех так. Нужно обязательно говорить об этом ортодонту, ты за это деньги платишь не забывай об этом. А если не хочет все равно говорить, чтоб сделал все до конца красиво) Зачем покупать платье с дырками, если мы хотим новое и красивое) Поэтому если тебе что то не нравится, говори не молчи)
По поводу клыков на ВЧ, с ними все отлично! Не морочь себе голову или морочь, если очень хочется)
Щель затянется когда зубы будут стоять на правильных местах, дай им еще немного времени.
Лицо у всех меняется не в лучшую сторону. после установки бс. Конем я себя называю в лучшем случае. Недавно услышала комплимент, что мне идет бс, меня перекосило в этот момент) На всех фото губы не умеют улыбаться, получается или мятая попа или утка после силикона))) ![]()
Поэтому не грусти, снимем мы эти брекеты, если не в этой то в следующей жизни)))
честно честно)
По поводу гормонов, думаю если ты напишешь смс врачу или позвонишь хуже не станет) Ничего в этом страшного нет. Врача не стоит стесняться)
Желаю тебе скорее поправиться и чтобы зубки тебя начали радовать)
Martinss, а я тоже почему-то сразу узнаю твои зубки, приколы про открытый прикус и шутку про тома круза))и улыбаюсь как дебил))а на самом деле всё круто и не прорубь у тебя, у тебя еще мини-дырочка ![]()
А по поводу ОК я бы не стала говорить орту, он сам не заметит, а если уж прям начнет какой-нибудь ужас-ужас, и врач бы поинтересовался: а не скрываешь ли ты от меня чего? Ты скажи: упс, я совсем забыла Вам рассказать)))И вообще ОК наоборот дают улучшения кожа-зубы-волосы-ногти) может наоборот как попрёт!!
Martinss , что такое ОК???
FuchSy, Кать, противозачаточные)
Оральные контрацептивы, если быть точнее.
Мартуль, как по мне, никакой существенной связи с БС нет. Почитай, конечно, может, еще какие-то источники, но маловероятно. Я еще спрошу в субботу у моего ортофея - отпишусь.
Саша В. - какая ты молодец! 9 кило! Респект!
Я вчера на массаж ходила первый раз, целлюль погонять - сегодня все ноги и попа в синяках, блин!
Как сегодня второй раз переживу? Попросила массажистку закрывать дверь на ключ - иначе будет ловить меня в двух кварталах от массажного стола
Ennelyne массаж,ммммм)))ну -9 это когда я день не жру, а так минус 8, но стабильно))) многие говорят, что заметно, меня моя бабушка похвалила в кои веки, сказала, что хорошо выгляжу) а я вижу только свои щеки и они меня бесят)) ох целлюлитик....лучше не думать об этом.
Улыбашка, спасибо))) да, время идет)) особенно всегда лето быстро проходит... а после лета у меня до года с БС рукой подать))
я вообще не заметила изменения дуги)) скорее всего приелся вид зубов, вот и не замечаю)) хорошо, что есть этот сайт, где можно поговорить с другими)) может кто-то что-то и заметит, как ты сейчас))) и как тебе сказали, что БС идет))) все-таки очень приятный комплимент, в наше не легкое время))
кстати, от нового платечка я бы не отказалась)))) но эти зубы, та и вообще организм, забирает все финансы))
Вахмурка, возможно ты права и стоит не упоминать об этом)) я бы не против, чтоб у меня улучшилось состояние кожи, волос, может набрала бы кг 5-7 (но не больше))- тоже не помешает)) но как правило на меня такие приятные бонусы почему-то не действую, блин)) а вот у подруги моей, у которой кожа была еще проблемней, чем у меня, стало все хорошо)) кожа практически идеальная, грудь увеличилась, не поправилась... вообщем, реально похорошела))
Ennelyne, о, спроси, если можешь)) было бы интересно узнать его мнение)) я искала в интернете, но ничего не нашла по поводу влияния ОК на БС...
а что, массаж этот, больно делать?(( ничего себе, даже до синяков... в принципе, я придерживаюсь мнения, что ради хорошего результата можно терпеть, так что будем надеяться, что твои синяки не напрасные и скоро ты увидишь результаты))
Саша В., у меня есть девочка знакомая, учились вместе в универе, так вот она худенькая, но с целлюлитом мучается постоянно(
Вахмурка , я в принципе так и поняла, но думала это либо название либо что-то другое.., оно вон как..!!))
Ennelyne, спасибо за расшифровку))
Martinss , это что ж такое подруга принимает, что так на коже и груди отразилось??
FuchSy, ОК и принимает) ей врач выписала почти два года назад) меня гинеколог тоже предупредил, чтоб не пугалась, если грудь больше станет. Та и вообще везде пишут, что некоторые ОК помогают улучшить состояние кожи, так что в этом нет ничего удивительного) Но лично я только ради кожи, не стала бы принимать, все-таки это гормоны. Тем более самостоятельно, без назначения врача. Та и любые таблетки- не самая хорошая вещь для организма, с набором нехилых побочек.
елы-палы...в таком случае я хочу приятный массаж! а не античеловеческийцеллюлитный.
девочки, что ж вы делаете?? боли такие терпите! да еще и платите за это
присед и махи - вот лучшее антицеллюлитное средство! ну и конечно ограничения в еде!))
я сама себе массаж делаю, если вижу что что-то где-то появилось (фаст-фуд, пицца, сладости такой соблазн!), с маслом каким-нибудь, и кожа мягкая и через неделю гладко все, главное регулярность))
FuchSy, я с тобой соглашусь) Я в душе с медом делаю массаж по 5 минут на ногу и все прекрасно.
Ennelyne, это перебор, хорошо массажирует, но зачем же так, потом кровоподтек останется, это не есть хорошо для кожи.
Главное правильно делать массаж, а не давить, что есть силы.
Может лучше ходить на душ шарко, это занимает меньше времени, больно, но не так...
Девочки, вопрос в том, что фаст-фуд не ем, образ жизни в целом и общем правильный веду, в сауну раз в месяц попадаю, на степ-аэробику хожу раз в неделю, воду пью 2 л, только сидячая работа делает свое дело, как ни крути. Ушки имеются.
Я не первый год к массажистке хожу- правда, со спиной ходила, не антицеллюлитный.
Она еще и экстрасенс впридачу, так что не переживайте за меня))))
Уверена, что все закончится хорошо ![]()
П.с. Мартуль, извини, что намусорила в эфире немного не в тему ![]()
Хотела ответить на твой вопрос о боли, а получился целый трактат))))
Улыбашка, спасибо)) я еще скрабы в душе использую, кожу хорошо тонизирует!
Ennelyne , у меня тоже сидячая работа, пью не меньше 3х литров воды, НО каждый день - приседания, махи, массаж (когда надо)! КАЖДЫЙ ДЕНЬ! а раз в месяц/неделю это не дело! конечно, обрастет все, потому что не успевает уйти!
а вот массаж спины это здорово))









мне ортодонт сказал что беременность не мешает лечению.
у меня девушка одна на работе беременная носила брекеты) она уже в декрете