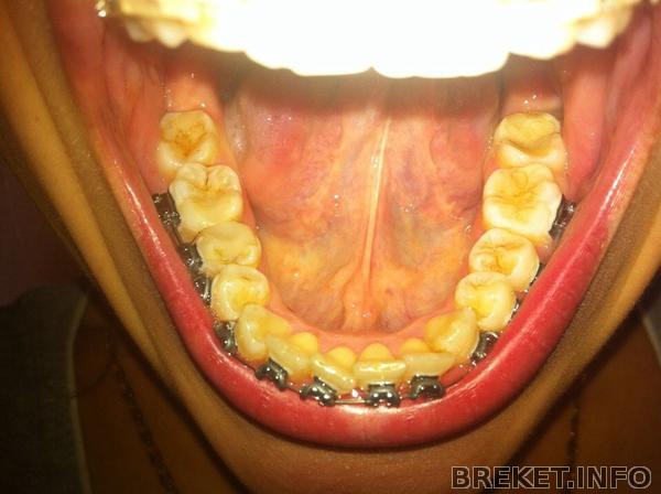
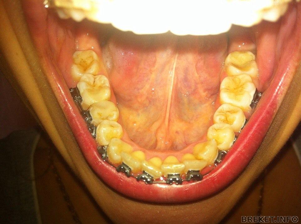
поставила на нч
3 дня назад установила бс на нч. В самом начале планировала керамику (переживала за красоту), а потом все таки решила ставить металл, отнюдь не из-за экономии, просто орт проболтался что с ними мороки меньше и по размеру они явно меньше. Короче я уже столько с бс намучалась (хочу уже снять, точнее хочу чтобы зубы уже выровнялись, чтобы бс снять), что металл меня уже не смущает))) Единственное, что меня расстроило, так это то, что орт одел мне черные резинки! Вот блин!!!! Я посмотрела и говорю - а почему не прозрачные? а он - зато эти под цвет брекетов и не пожелтеют. На фига?)))) Из-за этих темных резинок брекеты кажутся в 2 раза больше, а с прозрачными были бы вообще малюсиками. Ну ладно, сказал, что на следующем поставит прозрачные. А самые классные это металл. лигатуры - мне они нравятся больше всего, правда с ними больней, зато смотрится агрессивненько))) Кстати накусочные пломбы мне не поставили. Наверное это зависит от смыкания? Так что давайте, мои кривульки любимые, ровняйтесь хорошо! Фотки моей новой челюсти прилагаю.
Комментарии
не расстраивайся , с черными тоже хорошо
зубки все ровнее и ровнее, поздравляю!
а как сейчас с ними? Кушать так же больно?
просто через 2 недели установка и тоже метал, боюсь что жевать нечем будет
о, поздравляю))) мне тоже кажется, что нормально черные лигатуры выглядят)) они даже не черные, а такого металлического цвета, подходят брекетам))
как там парестезия? прошла уже?
лучше не прозрачные, а белые или цветные в следующий раз) они тоже не закрашиваются, если только самую малость) более эстетично)
поздравляю с установкой!)
аххах)) Черные лигатуры? Орт отжигает)) Но, скажу честно, мне больше цветные нравятся... Либо металлические, но никак не прозрачные.
С установкой!
У меня тоже металл на НЧ - не пожалела ни разу
Leno_op4uk, спасибо, но эти резинки реально больше самих брекетов!
Anechka-_-, жевать уже легче, с верхней челюстью адаптация была тяжелее
Martinss, парастезия еще не полностью ушла (хотя уже 3 месяца прошло), сегодня пойду на очередную физиотерапию (иголки!бррр!). Так что желайте мне удачи и чтобы все наладилось!
Katya_art, может психану и попрошу голубые например)
tropka, а мне нравятся прозрачные, меня даже не напрягает, что они желтеют, во рту и так куча всяких приспособлений)
Watson, я кстати в последнее время все чаще думаю о том, что на вч надо было ставить металл. Но сейчас это неважно, впереди цель иметь красивые здоровые зубы и желательно без мучений и нехороших последствий
) Зато керамические не видно на фотках))
Таки где?)
У меня такие же фотки получаются, я довольна) Но только когда случайно фоткают и улыбаюсь не специально
я тоже их вообще не вижу, абсолютно)
да меня и не парит тот факт, что они видны, я уже привыкла и не комплексую






Поздравляю! Еще один шаг к красоте! И я бы не сказала, что с темными резинками брекеты такие уж большие!))