Я - полностью укомплектованный брекетоносец!
Всем привет! ![]()
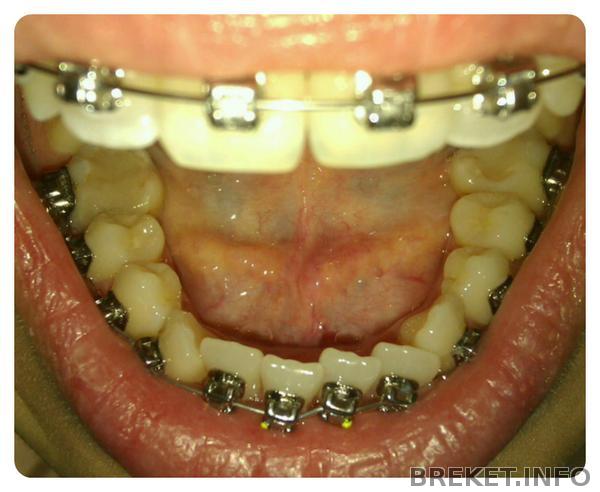
Наконец-то это свершилось, сегодня мне установили брекеты на нижнюю челюсть, спустя полгода после верхней! Уже думала, что не дождусь этого дня. Зубы оказались там ещё кривее, чем я могла себе вообразить.
А ещё переклеили один брекет на двойке. Отдирать его щипцами совсем не весело и даже немного больно. Но раза с четвёртого он поддался. Я радуюсь, что зуб на месте, сначала мне показалось, что его тоже откусили щипцами.
Очень расчитываю, что теперь двойка окончательно выползет из-за единички.
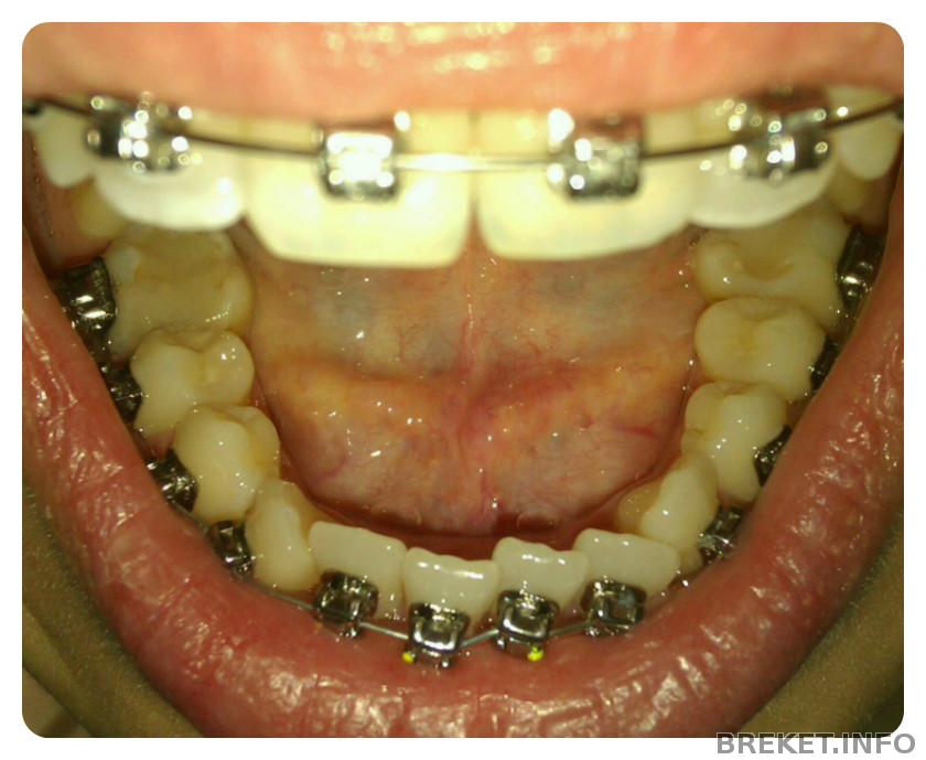
Вот как это выглядит, спустя полгода.
А это низ, у него сегодня день рождения
Комментарии
Tuzya, спасибо!!
Тоже надеюсь на лучшее. На всякий случай уже поела в последний раз.
Верх уже хорош! Легкой адаптации!
Отличные результаты наверху! Поздравляю с доукоплектацией))))
Эти четыре передние зуба на НЧ очень мелкие по сравнению с другими. У меня они гораздо быстрее встали в ряд, нежели зубы на ВЧ.
Поздравляю! Скорейших результатов!
Вам теперь и аватарку можно менять с такими изменениями в зубках
какие красивые зубы
![]()
хороший результат
Всем вам большое спасибо! ![]()
Ryu, я замечаю, что и болят они значительно меньше. Хотя, может, потому что они ровнее внизу.
Малина, аватарку поменяю после сепарации, которую мне обещают в скором времени). А то вы меня ещё узнавать перестанете, хаха
Xenia, ох, спасибо! Мои зубы ещё никто не называл красивыми!![]()
Они засмущались
Дружище, мне просто безумно нравится результат на Вч, двойки хоть и хулиганки конечно, но какая форма у них красивая! И улыбка!! ![]()
Единички вижу, что ты имела ввиду, не по дуге , интересно, а как с ними будут извращаться, чтобы правильно поставить? Переклейка или на толстых дугах сами выправятся?
Поздравляю с установкой на нч! А чего так долго-то? Там вообще красотень на 5минут будет, зубки хорошие!)
Спасибо, Вахмурка!
Мне очень приятно.
Представляешь, а я уже и не надеялась увидеть мои двойки в этой жизни. Только догадывалась все эти годы, как же могут выглядеть те загадочные зубы, что спрятались сзади))
Единички мало того, что не по дуге, так ещё и под наклоном друг от друга пока что. Орт говорит, будет видно. Возможно сначала переклеим их, а потом посепарируем, потому что их форма создаст щели возле дёсен, когда они развернутся..
Но я уже спокойна в любом случае). Главное, двойки видно, цель достигнута. ![]()
Низ долго ждал верх. Не знаю почему, но ему было велено терпеливо ждать))



Дружище Бобёр поздравляю!!! На фасаде очень заметные изменения в лучшую сторону )))
Желаю н/ч легкого выравнивания )))