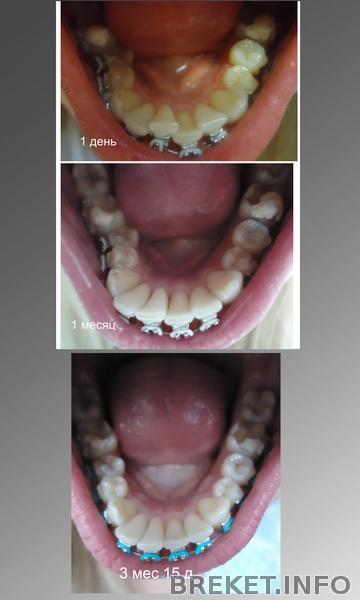
3 месяца 15 дней
Время летит гораздо быстрей) Кушаю все в подряд, даже пытаюсь кусать, если поддается моим зубкам)) Уже ела сникерсы и рафаэлло грызла)) Короче, стала бесстрашной ![]()
Знакомые уже вовсю твердят, что у меня выровнялись зубы, спрашивают когда снимать? Хах, наивные, тут ещё столько работы, особенно с нижней челюстью...Но результаты мне нравятся, люблю светить зубами везде)))
Итак, что случилось за месяц) Я докаркалась...Все радовалась, что у меня зубы особо не болят, бывает боль, но терпимая! А тут на тебе! 3 дня адских болей, 3 дня на таблетках.
В жизни так зубы мне не болели. Прям начиная от корней на ВЧ боль отдавалась и в нижнюю, что я уже и не понимала что именно мне болит. Но это мой злосчастный клык на ВЧ, который быстро спустился за 3 месяца, но ещё идеально в ряд не стал. И тут я пожалела людей на сайте, которые пишут, что мучаются сильными болями, раньше я думала, что просто ноют, оказывается и такое бывает. Слава богу, что боль у меня через 3 дня прошла, я не могла поверть своему счастью, до сих пор таблетки ношу всегда с собой, на всякий случай.
Но пришло время коррекции и зубы сейчас опять болят, но не так сильно, терпимо...
Сегодня в своей клинике залечила кариес на передних зубах ВЧ. Так понравилась стоматолог, такая внимательная и старательная, в кресле можно было просто отдыхать) Вот таких стоматологов я не боюсь) Ещё и с анестезией) Зубки стали выглядеть ещё белее) Хотя природа, спасибо ей, наградила меня достаточно светлой эмалью))
Ортодонт моя любимая ( каждый раз благодарю судьбу, что пошла именно к ней и в эту клинику) меня порадовала, сказала, что зубы очень хорошо двигаются и в итоге будет красота) Поменяла мне дуги на более мощные, на этот раз уже 16. Это уже 4 по счёту дуги. Предупредила, что с ними быть аккуратнее, избегать резких перепадов температур) Ну ли ладно, не особый я и любитель глясе)
Сменила мне лигатурки, теперь на НЧ красуются яркие бирюзовые
Мой любимый цвет. В гардеробе у меня много вещей такого цвета) Будут в дополнение)
ещё чуть чуть на мой проблемный клык поднажать и он встанет в ряд))
с другой стороной вроде все в порядке
ВЧ уже напоминает параболу и это радует, ведь то что было вначале было совсем на её не похожа
А вот НЧ меня расстраивает, вся такая перекошенная из-за смещённого центра, ждем когда зубы станут в рядок и будем перетягивать на место. А пока как-то так...
А вот что мы имели в исходнике...всё задаюсь вопросом...как я раньше не додумалась их по сортировать!?Они ужасны)))
Ещё раз повторюсь, брекеты - это генеальное изобретение, которое делает людей счастливыми и более открытыми) Идти по жизни с улыбкой - это здорово!)
Желаю всем успехов и хорошего движения!))) Почаще улыбайтесь и несите позитив в массы!
Комментарии
Так быстро клык опустился! Вот бы мне так)
да, как оказалось он у меня скоростной)))
Здорово! Классное выражение "сортировать зубки"
Отличный результат))) Быстро клык на место встал) Молодец!
клыку хвала!!!)))
очень классный результат за 3 месяца!!!уже намного ровнее стали))так держать
отличные результаты и отличная улыбка
продолжай в том же духе
Отличный результат
сейчас главная цель НЧ по сортировать) и можно будет совмещать центры))
Зубки такие красивые, и форма отличная, и беленькие такие... а скоро будут прям совсем идеальными! Супер.





Хорошенькая такая)