Рубеж, фото ошеломляющего прогресса за 3 недели, ну и всякие разности...
1 год и 2 месяца. Именно такой срок ношения меня ждал, по словам ортодонта на первой консультации: "Год-год и два". ![]()
Но потом откладывалась фиксация НЧ. Потом полгода пытались обойтись без удаления на НЧ, потом удаляли и вот - стягиваем всё. Конечно, радует что почти все щели закрыты (уж думала не доживу), наклон уходит... Но как-то всё-таки грустно, надоело уже если честно, хочется скорее снять...
В марте орт сказала, что ещё минимум полгода (значит примерное снятие в сентябре-октябре по её меркам), на вопрос "к Новому году хоть успеем?" ответила конечно. А я, если честно, уже сомневаюсь.
С щелями всё понятно - тут делов месяца на 3 максимум. Но семерки... Семерки с наклоном 45 градусов, а мы даже не подключали их ещё! Я уже раза 3 спрашивала, не пора ли, думала может она забыла. Отвечала пока рано. На вопрос про Новый Год "а они успеют выпрямиться?" сказала успеют. Сказала - верю. Ждёмс...
Но, в любом случае, я не мечтаю о снятии в октябре, слишком боюсь рецидива, хочу походить ещё месяц-два после фразы "можно снимать". Поэтому настроена на декабрь. Хотя это, наверное, неправильно: вдруг что-то отклеется/поедет, а там 2 недели каникул, не домой же мне к ней ехать. Так что, в общем-то я и на январь внутренне настраиваюсь, ну а там и до марта (29.03 будет ровно 2 года) рукой подать... Шутка
Два года я не переживу)) Но или в декабре или сразу после новогодних каникул хочу снять. Ээээээээээх, неужели это время настанет. ![]()
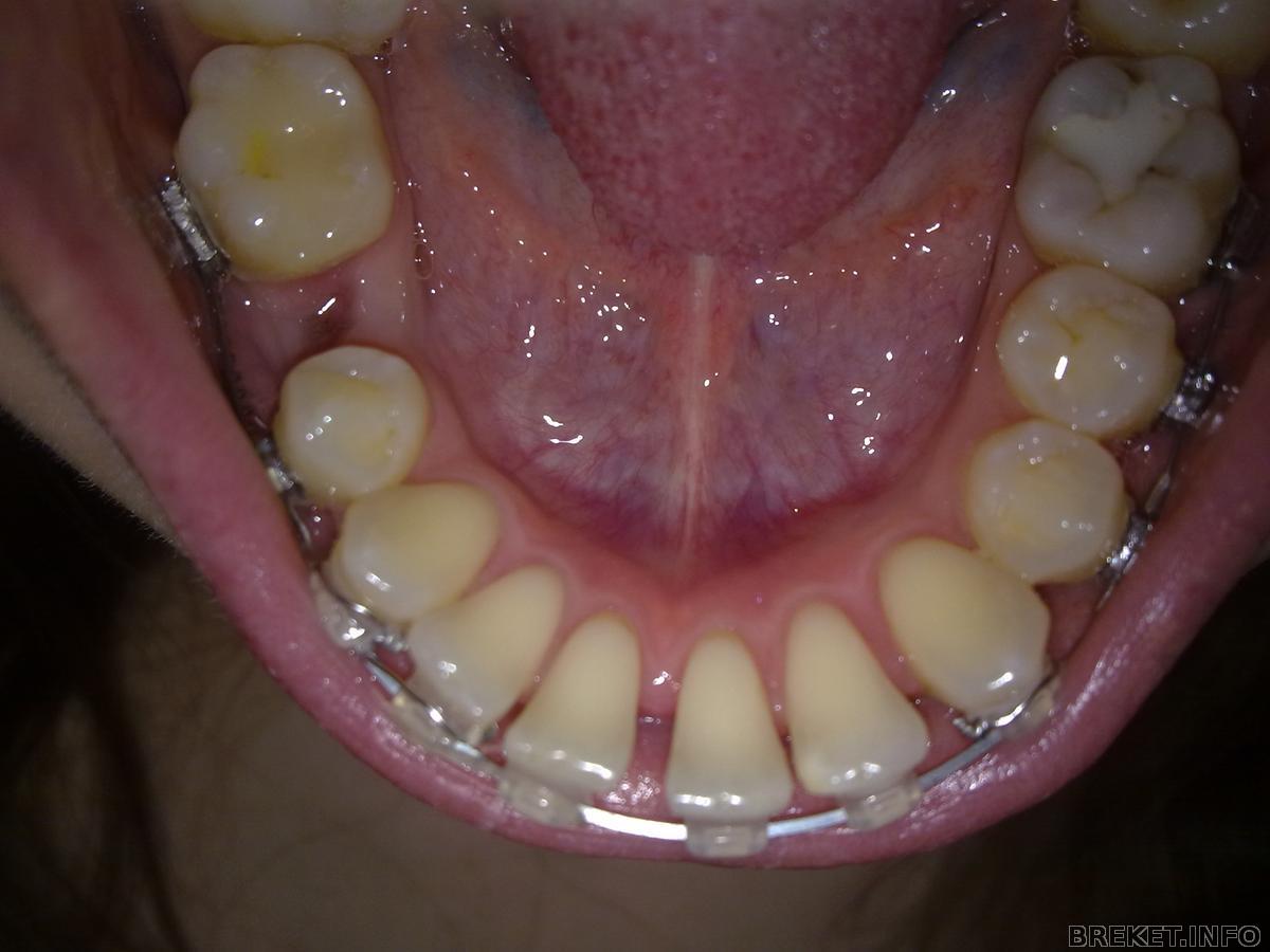
Вот, собственно, фото.
1. Щель от удаления нижней пятерки закрылась не столько за счет передвижения передних зубов, сколько за счет продвижения вперед 6 и 7 (видимо, 8 их толкает). Соответственно, мои опасения становятся реальнее прогноза орта: не получится так чтоб промежутку между верхними единицами соответствовал промежуток между нижними единицей и двойкой. Скорее всего, под верхним центром будет середина нижней единицы((( Как я этого не хотела((( Но уж лучше так, чем симметрия и наклон зубов вовнутрь из-за слишком маленькой НЧ.
2. Раз 6 и 7 проехали вперед - восьмерки не дремлют (это временами чувствуется), боюсь я что они мне всё-таки вытолкают все зубы вперед, напоминаю: у мамы и после 50 восьмерки продолжают потихоньку выкорабкиваться, сначала усиливали наклон, теперь ещё и скученность устраивают. Я вообще разрываюсь между своей интуицией и компетентностью врачей. Я им верю, видно что люди грамотные, но вот и обещания орта насчет нижнего центра не спешат сбываться, и наблюдения за маминым ртом ставят под сомнение обещания хирурга что восьмерки мои сформировались и больше не будут пытаться вылезти, что ретейнер всё удержит и не устроят мне эти рудименты проблем во рту. И как быть?... Удалять? Даже если я на это решусь - доверюсь только тому самому хирургу, который говорит что смысла мучиться нет)) И показаний к удалению ни медицинских, ни ортодонтических нет. А удалять здоровые зубы без показаний подсудное дело. Но, блин, кто будет отвечать, если через год/два/семь мой прикус из-за них подпортится??? Врачи просто разведут руками, а мне что делать? деньги на ветер, столько сил и терпения на ветер... И я точно знаю что не соглашусь на повторное лечение даже если бы оно было бесплатным. Потому что слишком это долго и слишком много мучений, плюс риск осложнений при повторном лечении выше. В общем, я вся в сомнениях...
Но больше всего сейчас хочется их снять. Освободиться. Вот прям вилкой отковыряла бы, начали раздражать. Не стесняюсь, спокойно чищу, еда не особо забивается. Но раздражает наличие посторонних предметов во рту. Так это странно: даже в первые дни после фиксации они не раздражали, и я быстро перестала их чувствовать, и вот спустя год с лишним - начала чувствовать, не столько физически сколько психологически, они прям как комар впивающийся в кожу, брррр
Я одна такая тухлая после года лечения, несмотря на то что только сейчас челюсть стала красивой как никогда?)))
Комментарии
Спасибо, Улыбашка... Я уже не могу себя без брекетов представить... Начинаю бояться что губы начнут казаться тонкими, нос в профиль слишком выпирающим и т.д. Рецидива бояюсь. Всё меня достало короче, я в печали
И денег куча ещё нужна, и налет на зубах а проф.гигиену буду делать только после снятия, потому что два раза - нет 8,5 тыщ, а один уж лучше после снятия чем сейчас... В общем, грустно мне
приветик, MoonLady!!!!!!!! рада, что у тебя есть положительные новости!!! что касается семерок, то (если тебе интересно) посмотри у меня в альбоме. У меня с права то же самое было! Конечно рассказывать какой это кошмар, когда они начали двигаться после подключения не буду - но готовься!!! рот вообще не закрывался - смыкания не было! Мне семерки подключили где то в сентябре 2013 (точно уже не помню, в разное время подключали) так нижняя еще не встала ровно((( как мне орт говорила - это самое сложное ( в моем случае). Верхняя встала быстрее, т.к. с дугой была еще и тяга к внутренней стороне нижней семерки, и верхняя выровнялась быстрее, а потом тягу убрали и кнопку сняли, поэтому нижняя еле-еле движется((( (что меня несказанно огорчает). Одним словом верхняя двигалась примерно с августа по январь, а нижняя с сентября и по нынешнее время (уже около 8 месяцев) и еще не встала как нужно((( Желаю тебе более быстрого движения твоих семерочек!!!
Улыбашка, я вообще уже по ортодонтам начала бегать, узнавать у них что да как. Похоже это "кризис среднего возраста"))))))))))))) я тоже начала перепроверять работу орта))))))
MoonLady, кстати!!! у меня семерки справа стояли так же, как и у тебя справа. С левой стороны у тебя будет двигаться все быстрее!!! и как мне сказала не моя орта (ходила на консультацию), потом нужно будет сепарировать (может немного подточить) семерки и менять все пломбы под новый прикус, а это БЛИН новые не малые затраты!
Пломбы 2 из трех имеющихся мне так и так менять, но пока не спешу, жду снятия или пульпита - че раньше настанет Мне относительно повезло найти нормального терапевта в студенческой поликлинике, 400 рэ импортная, 1600 - световая (против 2800 и 3500 в своей частной), планирую там пломбироваться после снятия))
Что с семерками рот не закроется я догадываюсь, тренируюсь его закрывать, сдвигая НЧ вправо (вид тот ещё
)... Но вот сколько ещё будем откладывать их подключение (хотя тянуть вроде кнопками собирались, это конечно эффективней) и сколько потом из-за семерок откладывать снятие - я не представляю...
Жаловалась сегодня любимому, что мне кажется я никогда не отучусь и никогда не сниму брекеты, хотя и то и то должно в течение года случиться, мне кажется это не настанет никогда







MoonLady, приличная дата! Поздравляю)
Но у меня в 100 раз больше работы.
Я на месяц моложе по брекетам)))
У меня с 7-ками тоже проблема. брекеты на них одели, но то подключают, то снимают дугу.
Терпения тебе желаю, в нашем деле без него никуда)
А щели мупер пупер затянулись))
Ты не одна тухлая, я вообще уже по ортодонтам начала бегать, узнавать у них что да как.
Главное перешагнуть все свои мысли и двигаться к цели, мотивируй себя визуализацией своей красивой улыбкой без брекетов)