ужжжасные ощущения...
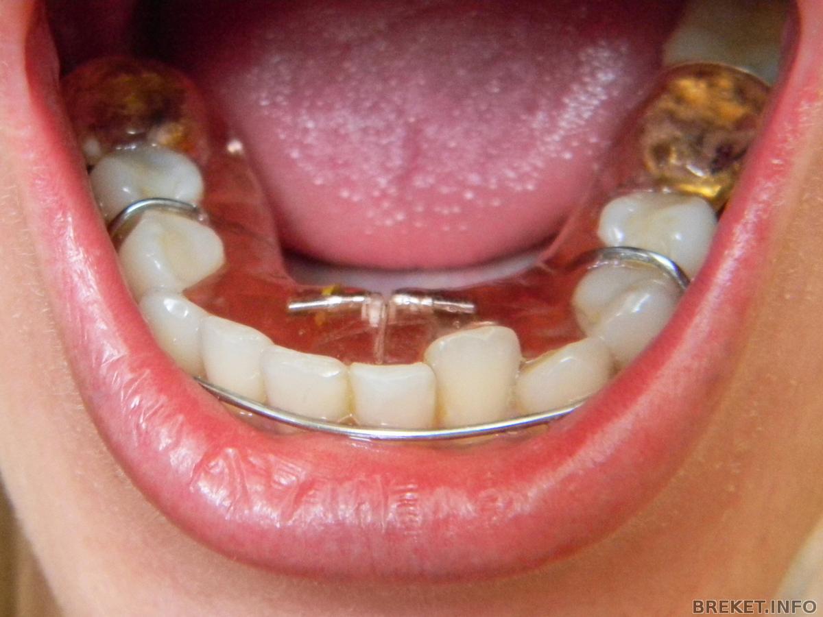
Сегодня поставил мой врач пластинку на НЧ, для разобщения прикуса, ходить с ней полтора месяца, я шепелявлю сильно, обещали через пару дней пройдет. жевать трудно, говорить тоже, зубы не смыкаются вообще....эти надкусочные элементы ужасны(((( во рту завод слюней, хочется ее выкинуть эту пластинку...
сын смеялся с меня, пока мы шли домой и разговаривали, просил меня специально произносить трудные словечки.
язык не находит себе места. кажется эти полтора месяца будут вечны... у меня апатия(
Комментарии
А не проще пломбы было установить для того же разобщения? Говорить не мешают, слюни не выделяются в повышенном количестве. Кушать тяжко, но привыкнуть можно.
Tuzya, да съемная. поел - вынул, почитил зубы и ее
Маргалена, и пломбы будут. мне не только прикус она разобщает, еще выступает в роли расширителя, через несколько дней начнем подкручивать. я спросила у врача - можно ли обойтись только пломбами, ответил что в моем случае нет, я доверяю ему
Понятно! Тогда держитесь! Не знала о функции расширения, думала это равнозначные приспособления.
Крепитесь! Уверена, что вам удастся к ней привыкнуть, все будет хорошо!
спасбо за поддержку, девочки!



Семицветик по попе за апатию
А эта пластина съемная? Или намертво?