Полгода - это уже кое что
Привет всем!
Что-то не стало времени вас навещать и что-то писать.. все экзамены-сессия. Но вот я закрыла сессию, за несколько дней написала курсач и теперь свободна, как ветер ![]()
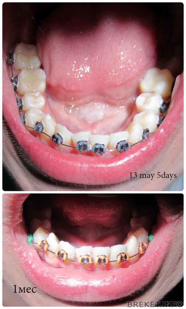
Через пару дней будет полгода, как я обзавелась железячками на ВЧ.. и маленький юбилейчик в 1 мес отметили брекеты на НЧ
За это время зубной ряд(вч) изменился до неузнаваемости, есть у меня фото одно единственное, так называемое "До".. так вот, я не верю, что у меня были ТАКИЕ зубы. Точнее даже не не верю, а не помню.. Вот правда ![]()
Из технических моментов...уже 4 месяца у меня стоит дуга 0,14.. но вроде как работает..
Работы еще очень много.. Убрать перекос, выдвинуть премоляры ,чтобы исчезла дыра в улыбке, развернуть двойку, вытянуть единицу, и выровнять по высоте и положению клык..
всего ничего.
На нч уже есть отличные и быстрые результаты. Орт даже удивился.. Резцы шустро вертятся и занимают свои места... Вчера, после смены лигатур у меня появилась щель между единицей и 2кой
Зубы нереально чешутся и побаливают. Но движуха кардинальная.
Вообщем вот
ВЧ
посмотрите тут на первую фотографию
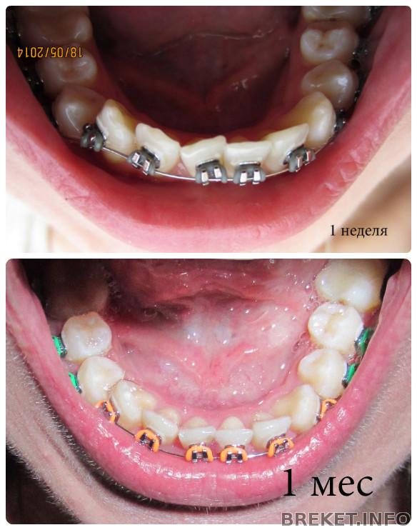
НЧ
(так и не научилась пока фотографировать)
ну и, наверно, прикус уже можно прикус показать жуткий
ПЫСЫ с лигатурами орт переборщил, конечно, не оч в этот раз
Комментарии
Результаты супер))) поздравляю с полугодием)) у меня тоже через несколько дней полгода)) терпения и удачи в лечении!)))
Kathymoon, встанет, встанет! мой начал вставать только через 1,5 месяца. Осталось ему совсем чуть-чуть!)
Mairead, отличные результаты!!!
Такие яркие Лигатурки всегда-класс!))) я курсач тоже за такое время обычно пишу
мне аж сложно поверить, что уже почти ПОЛ ГОДА) это действительно уже кое-что))
а прикус у тебя вовсе не жуткий) очень даже ничего)) у меня вообще рот не закрывается
так что у тебя все достаточно не плохо) учитывая, что работа над ним еще не начиналась) кстати, что орт говорит, когда планируете?)
с лигатурами постарались))) столько цветов))
Отличные лигатуры) я тут аукцион на ебее выиграла и себе тож цветных заказала ![]()
Улыбка шик
Kathymoon
Спасибоо! Встанет-встанет.. они товарищи медлительные, так что запасись терпением ![]()
Мой до сих пор ползет не приползет
MiniKate
Спасибочки)) тебя, в таком случае, тоже с юбилейчиком ![]()
Терпение уже стало, похоже, моим вторым я.. Как и любого другого человека, носящего брекеты.. наверно
michu_michu
Благодарю
Rosalin Wind
Яркие то-яркие... но в этот раз реально перебор по цветам ![]()
Ахаха, коллега, я вообще не знаю,чего так многие парятся по поводу курсачей, месяцами пишут
Martinss
Привет, милая
Да! Представь себе! Пол года! Время с устрашающей скоростью мчит
Но в нашем случае это даже на руку ![]()
Согласна, относительно твоего, неудобного такого,мой еще ничего.. но жевать очень сложно, щели между челюстями и отсутствие надкусочных пломб вынуждает кушать очень аккуратно, а пережевать нормально пищу невозможно(( Ну да ладно-терпим ![]()
Орт еще даже не заикался о прикусе.. видимо, надеется, что как нч выровнится, и не придется особо ничего исправлять..
Как твои дела? Выпытала у орта о своем? когда уже тяги вручат?
Лигатуры не нравятсся в этот раз... хорошо хоть нч не видно при улыбке))
Xenia
Ох, спасибо)) а я переживаю, что детский сад.. все цвета радуги
![]()
Теперь осталось их дождаться.. ахах
Спасибо за улыбку.. как думаешь, дырка пропадет? она меня очень не радует((
Крутотеничка! Прикус не критичный! Ровненькая вч становится! Нч тоже молодчина! Поздравляю с полугодием! Лигатурки отпад! Летнее настроение)))
мне тоже с лигатурами не повезло на прошлом приеме)) три штуки розовых и прозрачный чейн
оказывается, надо и этот процесс контролировать, а то понацепляют нам))
так это же круто будет, если твои зубки сами хорошо встанут)))
мне вот только предстоит поход к орту, буду опять его допрашивать
может попаду на более-менее сносное настроение и получу хоть несколько ответов)) в прошлый раз сказал, что даст тяги в июле... но он мне их уже таааак долго обещает, что я перестала ждать) каждый прием вроде вот-вот, а потом передумывает))
а еще мне так интересно наблюдать за твоей НЧ)) я все ждала-ждала, когда тебе низ поставят и щас слежу за ним)) а то моя НЧ уже мне изрядно поднадоела)))
ааааааааааааааа, обожаю когда много фоток.
И лигатуры - такие радостные! прям класс!!!!!!!
Поздравляю с полугодом!!!
Leno_op4uk
Спасибо,спасибо,спасибо!))
Martinss
Ахха, да-да, видела)) эстеты они фиговы... в следующий раз с зеркалом в руках сидеть буду ![]()
Даа, я прям усиленно на это надеюсь
Вот обошлось ведь без надкусочных ![]()
Рекомендую сразу с этого начать разговор, а то как всегда "рот заговорит"
Skart
Ахах, спасибо! Рада радовать фотками и лигатурами









Красота!!!
Эх, когда и у меня клык станет на место