4 месяца
Всем привет! Давно ничего не писала, захожу только читаю вас))
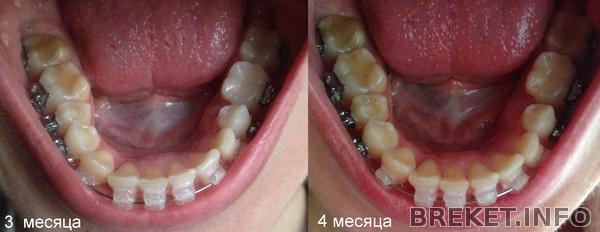
Ну вот и 4 месяца пролетело, супер результаты были достигнуты на этапе в 3 месяца... результаты за месяц почти незаметны.
На ВЧ единички как то встали не прямо а под наклоном, мне как-то не нравится
И один зуб встал наконец в ряд. Вооот
На НЧ наблюдаю теперь за пружинкой... Щель немного стала больше, но процесс идет медленно. А еще боюсь что место нет. Совсем нет. Кажется зубы встанут веером и меня это очень пугает!!!
Улыбка все больше радует, улыбаюсь всем подряд и совсем не думаю о БС. Уже как родные, совсем привыкла
Скоро к орту на прием, посмотрим что меня ждет и что скажет... Всем любви и терпения, и летнего настроения
Комментарии
Результаты есть! Место откуда-то берется, сама не знаю. У меня лежачая тройка на нч встала в ряд, хотя места ей совсем не было. И у тебя найдется место)) Летнего настроения и хороших результатов! Улыбаюсь в ответ!
lolly хорошие результат! И Вам летнего настроения)))
улыбка шире стала))
Katya_art, ага я тоже заметила)
А тут случайно при обработке коллажа, месяцы местами не перепутаны? На 3 мес верхний там единицы лучше стоят и на последнем это видно ( нестыковочка)
Поздравляю))) еще пару раз по 4 мес и снятие
Xenia, вот вот я и говорю, что мне не нравится как единички встали...




Отличные результаты!