Помогите...
Всем привет
Давно здесь не появлялась
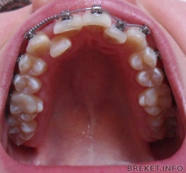
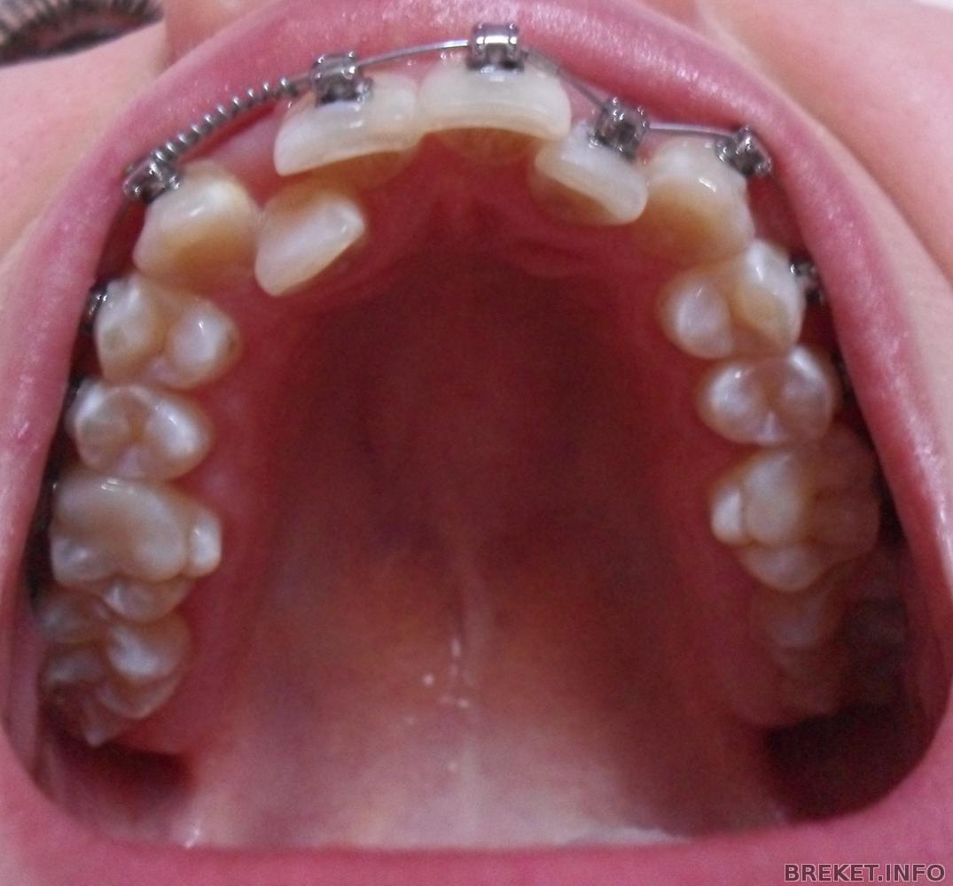
У меня вот такой вопрос, мне поставили брекеты 1,3 года назад, у меня перекрестный прикус. Так вот двойки с правой и левой стороны были глубоко далеко(фото прилагаю, до и на настоящий момент) 27 июня у меня выпускной в универе, и мы с ортом долго шли к тому, что бы снять брекеты до выпускного, и я постоянно ему об этом напоминала. Но меня терзали сомнения, так как, если я сниму, то потом точно ничего изменить уже нельзя будет
Сегодня сходила на прием, рассказала орту, что так да так, я сомневаюсь, на что он мне ответил, ну да лучше подождать и не торопиться, от этих слов я охренела, снятие уже было назначано на 23 число!!! Как так??? От того, что я просила его снять до выпускного, он пошел мне на уступки, но мой прикус не идеален, даже я это вижу, а он блин ортодонт это его работа, и был готов снять так как есть((( Ладно, я у него спросила как быть с двойками? Он сказал, что нужно заказывать "специальные" брекеты, которые начнут тянуть корни вперед, и соответственно зубки станут на место, Damon Q не могут вытянуть корни. И вот у меня такие вопросы 1) Может лучше сменить орта??? 2) Действительно ли, что бы вытянуть корни, нужны так называемые "специальные" брекеты??? Может кто сталкивался с такой ситуацией помогите пожалуйста
Комментарии
Ennelyne Спасибо огромное за ответ
Две ночи спать не могла, думала о зубках, и вы правы, зубы на всю жизнь, а выпускной, да и фиг с ним
Вот, вот про разные уровни орт сказал, что нужно наращивать, так как зубы сильно стерлись, из за неправильного прикуса, я и сама его порой не понимаю
Корни вторых зубов, как он мне объяснил, что брекеты вытянули зубы вперед, а корни остались на прежнем месте
А вот про "специальные" брекеты, это главный вопрос, причем их нужно заказывать всего 2 шт. на 2 двойки, и с установкой они мне обойдутся 4500, он мне даже название этих брекетов не сказал, так и говорил "Специальные"
ерунда какая-то. Действительно на сайте полно людей у которых такие двойки нормально встали в ряд без каких-то "специальных" брекетов)) Плюс, на ВЧ я вижу перекос, который нужно исправлять, по этому зубы на разном уровне. Четко видно, как с одной стороны дуга плавно уходит вверх. Ну и над прикусом не мешало бы еще немного поработать) Странное поведение ортодонта... такое ощущение, что он исчерпал свои знания. Думаю, он согласился снимать БС в надежде, что прокатит и ему не придется доделывать, потому что он не знает как) а тут бац- вы не захотели, вот он и начал придумывать разные затратные штуки, надеясь, что когда вы об этом все услышите скажете ему "О, нет, не надо, все-таки снимаем". У вас очень красивые зубки и если все сделать как надо- будет бомба)) осталось еще не много)) говорите со своим врачом, пусть предложит вам другие варианты. А если он их не знает- ищите другого.
У меня Damon q и ситуация очень похожая - 2ки утоплены под клыками , никаких специальных брекетов мне не прописывали, не хило он вам цену посчитал ))) вся работа зависит от орта , я правильно понимаю что вы сейчас с завершающей дугой ходите? А уж про то что он какой-то весь неуверенный это полная жесть )
девочки верно пишут, зубы нужно выровнять ровненько по высоте. И НЧ тоже. на фото видно, что они тоже немного пляшут.
Не соглашайтесь на снятие - пусть работает и отрабатывает свои деньги. И про damon Q - тоже смешно - это брекеты - это нормальные брекеты, они все вытянут куда надо, никаких специальных вам не нужно (разве что на рентгене у вас не какая-нибудь мега сложная ситуация с корнями - нам просто не видно)
Девочки, спасибо, что откликнулись, немного успокоили, а то мандраж какой то напал ![]()
Martinss Может фото неудачное получилось? в зеркале перекоса я не вижу, а может не хочу видеть))) А дугу он на 4-ку на брекет поднял, на НЧ так же)) Думаю, ваша версия больше подходит под правду, он даже замешкался немного, когда мне это говорил(((
Rosalin Wind У вас так замечательно вышли 2-ки, очень были похожи на мои)) Да, на ВЧ завершающая, на НЧ предпоследняя стоит)) Я сегодня позвонила, и записалась к другому ортодонту, если и она опровергнет миф о "Специальных" брекетах, тогда буду решительно думать, над сменой орта
Skart, Спасибо огромное, к сожалению фото рентгена не осталось но там не было мегасложной проблемы, я помню
Пока не добьюсь супер идеального прикуса, о снятии и речи быть не может
Прежде, чем ставить брекеты, я много отзывов про Damon Q прочитала, что эта система и не такое ещё исправляла, орт мне сначала советовал Damon clear ставить, но я отказалась, так как металл все же лучше (по отзывам)
Может быть вы так приставали к нему со снятием перед выпускным, что он согласился только бы вы отстали.
А для перемещения корней орт мне дугу гнула определённым образом.
Lara 2304, да вроде нет, я не торопила его, я спрашивала: "Мы успеем до 27-го?" На что он отвечал да, и на пред последнем приеме 10 июня, он назначил дату снятия на 23((((
нормальный врач не может согласится прекратить еще не законченное лечение и снять систему только потому, что пациент его достает. Мало ли какие пациенты бывают. Если бы в этих сроках была причина, то, я думаю, он попытался бы объяснить, что не успеваете, рано пока снимать, должен был объяснить все риски, если снять сейчас. Но нет, он этого не сделал.
Не думала, что столкнусь с подобной ситуацией, за год он не разу меня так не огорчал(((
Антонэлла, лучше быть с шикарной улыбкой на собственной свадьбе, чем на выпускном!! Удачи!
Snow_Queen Спасибо








Антонэлла, для начала пошучу - спешка нужна при ловле блох и при поносе
командир - орт или ты?
Куда спешишь? Что значит разовый из многочисленных выпускных выпускной в жизни по сравнению с тем, что со своими зубами тебе ходить ВСЮ ЖИЗНЬ.
Офигенно красивые зубки, не доведенные до ума(((((( Черновик, так сказать. Когда я увидела их на первой странице - подумала, о какая динамика хорошая, наверно год носит. Но снимать?! Одно дело вывести двойки - другое - дошлифовать до идеала. А в твоем случае это мог бы быть мегаидеал!
Почему все зубы на разных уровнях? Какие корни вперед? Какие специальные брекеты??
Емае...
Тут на сайте огромному количеству людей выводили двойки в ряд - никаких специальных брекетов у них не было! Такие форумчане, подтвердите! О чем это орт?
И ты права - ты рулишь ситуацией, а не орт. Представить себе не могу - ты ходишь и рассказываешь, что тебе нужно сделать или снимаем - не снимаем. Кто