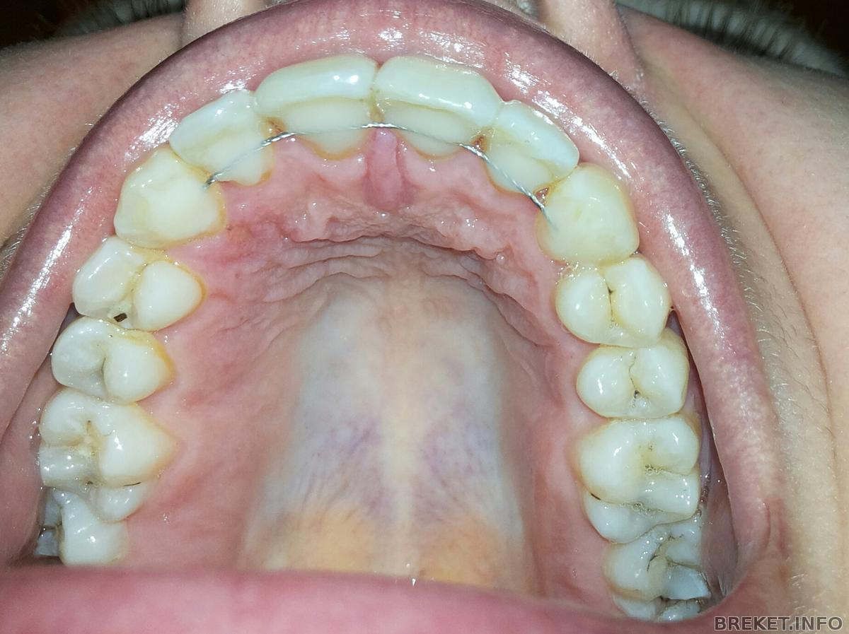
После снятия брекетов рыдаю!! ВСЕ ЗРЯ!
Меня мой результат не просто не порадовал, он меня разочаровал до глубины души. Врач сказала, что больше ничего сделать нельзя, она свою работу выполнила, зубы стоят ровно (все идеально!!!), но вот форма зубов плохая, все зубы разные. Ок, сняли брекеты, тут же пошла на реставрацию, чуть подпилили, подровняли. И то, что вы видите на фото уже после брекетов и реставрации! Разве на это я потратила 3000$, носила 9 месяцев, мучилась, с нетерпением ждала, как буду улыбаться...и что? Люди, скажите, правда ли, что брекетами тут уже не поможешь? Просто интересно, моя ортша все спирает на врача, который мне реставрировал зубки, типо: "Все вопросы не ко мне, дальше реставрируй, пили как хочешь, моей работы больше нет". Поставили ретейнер, выдали капу. Но даже нет стимула одевать капу, так как результата нет! Зубы выглядят ужасно. Хотя сверху они стоят друг к другу идеально ровно, но почему же выглядят тогда так уродско? Что со мной не так? Еще я вижу, что зубы уже съехали немного, сняли неделю назад. Ношу несъемный ретейнер, плюс капа и днем, и ночью, боюсь даже снять, но то, что зубы поехали - вижу. Пожалела, что решилась на брекеты.
Комментарии
Не устраивает то, что зубы остались кривыми, торчат в разные стороны. Я думаю, это заметно невооруженным взглядом.
Двойка слева(от меня) выглядит заостренной, единица справа пошире своей сестрицы. Но никто ж с линейкой к вам в рот не полезет
мне кажется, зубы красивые такие, белые)) не рыдайте, пожалуйста
Девчонки, но ведь реставрация еще нужна? Никто не хочет мне подпиливать зубы, врачи в один голос повторяют, что боятся мне испорить эмаль. Я понимаю, например, что единица справа расширяется, но неужели нельзя подпилить и сделать ее идентичной единице слева? Почему никто не берется за меня?...ж
А что у Вас было "ДО"???
Как такая красота может не устраивать?? Мне очень нравятся Ваши зубы! Ваша улыбка напомнила улыбку Эмилии Кларк, она когда улыбается - глаз не оторвать! Не грешите на свои зубки)
Не заморачивайтесь,нормальные у вас зубы
Зубки были не очень кривыми, поэтому относила всего 9 месяцев, но хотелось идеально ровных зубов...а получила кошмар...Наверное, все же буду реставрировать, виниры боюсь ставить.
На фото не очень хорошо видно смыкание, но если бы немного изменить наклон верхних зубов (во внутрь, но градуса на 2), по-моему было бы симпатичней, но и так неплохо. Я о таком результате могу только мечтать
Смыкание идеальное...прикус правильный. Меня бесит, что зубы торчат...
не преувеличивайте, ей-Богу, хорошие белые зубки. улыбайтесь и все наладится.
если совсем все не нравится-ну сделайте двойки, нижние края можно чуть-чуть округлить.
но я бы на Вашем месте расслабилась и получала от жизни удовольствие.
п.с. я сама сижу в такой глубокой ж... с этими брекетами, что иногда накрывают мысли, что все зря, все плохо, на кой оно мне все сдалось. но потом прихожу к мысли, что будь, что будет, все равно лучше, чем было. просто иногда нельзя прыгнуть выше головы.
Спасибо всем за поддержку...Очень приятно слышать хорошие слова. Выше головы действительно не прыгнешь...А у вас почему ж...? Да...брекеты, конечно, не панацея...сделать голливудскую улыбку ими невозможно.
у меня? потому что долго ,мучительно, с четырьмя врачами, изначально, перед установкой, хорошо было бы операцию на НЧ сделать, когда я помоложе была, потому что недоразвита она, соответственно профиль никудышний, а так получается, что зубы как-то и вроде ровно, а мне не нравится, единички криво отреставрированы, имеют трапецевидную форму и между ними под десной дырочка ( там где у нормальных людей сосочек), сепарацию на них не сделаешь, плюс начальный пародонтоз и просто психологическая усталость. дугу как снимают, так все шевелится, боюсь, что зубы просто повыпадаеют нафиг. по мимо того, что ужасно боюсь рецидива. а в остальном все хорошо, все хорошо
И я боюсь ужасно рецидива, не хочу пугать, но я его уже вижу. После снятия зубы были ровнее, я не плакала, слезы сейчас - спустя неделю, так как зубы стали хуже. Хотя ретейнер есть, и капу ношу сутками....вот такая вот хрень (пардон)....сама в шоке.
Есть смыкание не в ракурсе? Поближе. На мой взгляд симпатично. Не 10 конечно, но твердая 7 -8 по красоте. За то родные, прекрасные и здоровые зубы.
У тебя губы красивые, вместе смотрится хорошо.
До брекетов, для меня такие зубы были бы мечтой всей жизни. а сейчас я признаться зажралась, но не переживай. О таких зубах мечтали бы многие, цени что имеешь!
Очень красивая улыбка и хорошенькие зубы. Зря Вы так на них наговариваете! В природе вообще нет ничего идеально симметричного. Я бы не стала трогать зубы, если врачи говорят, что боятся эмаль повредить. Это прямая дорога к проблемам с зубами. Вам что важнее здоровые зубы или идеально симметричные? И к тому же, мне кажется, что если спилить часть единички, что б сделать ее меньше, то появится же свободное пространство. Оно Вам надо?
Помните фильм "Ширли-мырли"? Там был диалог, который отлично подходит к вашему посту (не в обиду):
— По-моему вы слишком много кушать.
— В каком смысле?
— В смысле зажрались!
Отставить тоску печаль! Ну серьезно, всё выглядит замечательно, зря на результат наговариваете! На улице лето, а у вас ровные и красивые зубы, улыбка без пристроек к сарайке (брекетов нет больше)! Ну это ли не сказка?
Ну не знаю, мне Ваши зубы очень нравятся, о такой форме могу только мечтать)) Не унывайте, у Вас красивые зубы)
Маняша, выкладывайте фотки "до", чтоб было с чем сравнить, а так все ровненько у вас, зря паникуете!
По-моему все идеально ровно
А как зубы могли поехать, если вы капу 24 часа в сутки носите? Или капу все же тяжело надевать? Тогда есть вариант, что вам ее как то криво сделали
Я увидела на фото красивую улыбку и ровные зубы! поверьте, никто не будет обращать внимание на незначительные различия в форме зубов, главное улыбаться легко и непринужденно! если честно, я бы от такой улыбки не отказалась)))
По поводу того, что зубки поехали. 9 месяцев лечения - это все-таки очень мало. Даже если проблемы не большие были. Зубки просто могли не закрепься на местах.
А так, нормальные зубы.
А фоток до нет, извините...я их удалила.
Не мучайте лишний раз зубки спиливаниями и винирами, это может потом аукнуться в будущем, мне кажется все хорошо, в рот так близко к вам никто не полезет, вы просто придираетесь, такая форма зубиков дана природой и не надо вмешиваться.
Ох Маняша, ты меня пугаешь!
Это придирки к зубам и врачам! Я постоянно придираюсь, но у меня одна единица просто сьелась на 3 мм, это очень заметно)
У тебя шикарная форма зубов, красивые белые, ровные зубы!
Давай выключим придирчивого покупателя и немного остыть нужно. Когда с горяча можно просто взорвать все вокруг, а потом когда остываешь понимаешь- блин эти зубы просто класс!
Мой тебе совет - остынь немного!
Зубы у тебя отличные!
Посмотри на мои единицы и скажи своему орту спасибо)) Я ношу брекеты 1,2 года)
Улыбашка, у вас ШИКАРНЫЕ зубы, я клянусь! И вы сама безумно красивая девушка. То, что зуб "съеден", так это не проблема.-нарастить немного и все. Мне так сделали на одной единичке. И у вас будет улыбка идеальна на 100%.
Полностью согласна с предыдущим оратором - Улыбашкой)
Действительно, подождите немного, надо к ним привыкнуть, подумать, все взвесить
И если в спокойном состоянии появятся мысли дальше что-то менять, тогда и нужно будет думать, что именно
Зубы это такая вещь (новые-то уже не вырастут))), поэтому прежде чем что-то делать, подумайте 100 раз
PS мне тоже все нравится, на мой взгляд, это просто шок с непривычки
Блин, я в шоке, такие безумно красивые белые зубы, а девушке не нравится)) Смотреть приятно, улыбка завораживающая) Взгляд со стороны)
я в тихом шоке! если тебя не устраивает твой великолепный результат, то мне просто нужно пойти биться зубами об стену!
честно слово! красивые зубки!!! великолепные губы!!!
прям глаз радует смотреть!!! не реви! все на столько прекрасно, что я начала бы завидовать тебе, если бы так за тебя не радовалась!!!






А что Вас именно не устраивает?
На мой взгляд красивые ровненькие зубки