Шаг второй
Здравствуйте, дорогие мои эксбрекетоносцы, брекетоносцы и те кто ими хочет стать!!!
Сначала с благодарностей - спасибо всем Вам и этому сайту за колоссальную поддержку и информацию! Для меня чтение данного ресурса - сильнейший мотиватор!!!!
У меня радость! Я кажется нашла свою ортофею, вернее у меня будет даже ортофеЙ! Сегодня сходила к врачу - еще раз меня посмотрели, еще раз все рассказали, показали. Может, конечно, мне уже просто надоело ходить/звонить в клиники и узнавать, но этому доктору мне почему-то захотелось довериться!
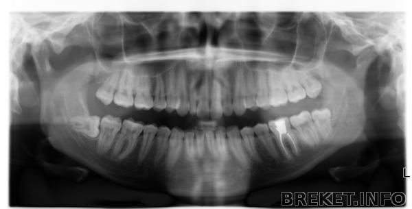
Сделали сегодня снимок. Теперь стало очевидно почему у меня поехал нижний ряд зубов.... Прямо не восьмерка а ракета!))
На следующей неделе пойду лечить зубки свои. Так хочется уже скорее забрекититься!!


Ура! Поздравляю с приобретением ортофея))) Восьмерка прям как у меня была
МУХАХА, вредные они, сволочи, зачем вообще растут))) Ждем поскорее в наших рядах!