Муки и радости.
Всем летний приветище!
Короче кто не в курсе моих последних новостей, то рассказываю))) я должна была идти на удаление 5-к с установленной дугой и переживала по поводу того, возьмётся ли хирург за такое дело. Было сие приключение 7 июля, я позвонила ему с утра, спросила что купить надо, взяла по его рекомендациям 2 ампулы крутого обезбаливающего, по совету фармацевта пару пакетиков Нимесила и тронулась в сторону поликлиники. Примчалась к нему, уселась (врачик молодой, симпатюля
), долго меня крутил смотрел на дугу, спрашивал снимать или нет))) какой резвый, подумала я))) говорю, рви так штоп не повредить мне систему и он начал пробовать. Заранее решила удалить 2 шт за раз,а он не захотел, кушать не смогёшь бла бла бла,я стою на своём, давай мол руби и не спрашивай, похудею заодно). Ну вырвали первый,сижу и бубню :- давай мол второй рви.., а он : - что понравилось? я:- угу...)) он:-не, низя, не положено, выпросила таки и второй,чтобы больше там не появляться, обязалась,что никому не расскажу про это и пошла восвояси. А, еще прихватила зубки и опять он стебался : что мариновать будешь? я хотела сказать,что сделаю ожерелье,что дома еще 2 есть, но в растерянности сказала только,что на старости когда будут выпадать, то обратно вкрутит мне ![]()
Дома через трубочку сразу Нимесильчику аккуратненько и спатки, больно было 1 день, ито вечером уже наяривала пюре и намоченный водой хлеб
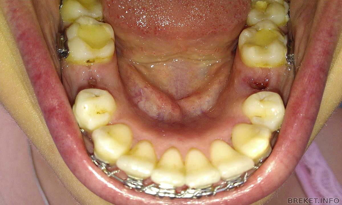
йогурты и тд. и думала, вот наивный какой, 3 дня есть не сможешь, эх прогноз не выдался его. Ну и собсна плоды трудов, маненько стрёмные, ну да в челюсти лучше смотрелись в компании))
Следующий приём 29 июля, может лунки к тому времени уже хорошенько заживут и да , подруга сказала,что у меня теперь зубы как у гиппопотама, везде по чуть-чуть
Комментарии
Поздравляю с окончанием мук, скорейшей радости
Snow_Queen, будут задвигать этот веер который торчит наружу, ну и дальние к ним тянуть тоже
Juls128, спасибо, надеюсь это были последние кровавые дела в моём лечении
))
Повеселили, надо запомнить про гиппопотама!
А вам скорейшего заживления






Позитивный пост
Будут дальние зубы на место удаленных двигать, или наооборот?