Скоро полгода, результат пока не очень радует(((
Всем привет! Не писала месяца три, наверное. Да в общем и не о чем было писать. Если первые два месяца были результаты очень заметны. То последние где-то месяца три я визуально уже не замечаю никаких изменений. Есть у меня и с верху, и с низу по одному зубу, положение которых мне не нравится. И оно уже месяца два не меняется абсолютно. На последнем посещение высказала орту свое мнение о переклейке пары брекетов. На что она ответила, что нужно сделать рентген и смотреть по положению корней. Возможно, и придется переклеить. Это будет только в середине августа.
Вот фото общее. По-моему, фронтальные изменения минимальны((( причем, в жизни все смотрится куда ровнее. На фото почему то все вкривь и вкось. Сама удивилась, когда посмотрела ![]()
Зато при таком ракурсе видно, что зубки уже почти ровные))) И если бы у меня изначально зубы находились в таком положении, я даже и не подумала о брекетах)))
вот как раз эта нижняя единичка, которая никак не хочет менять своего положения....
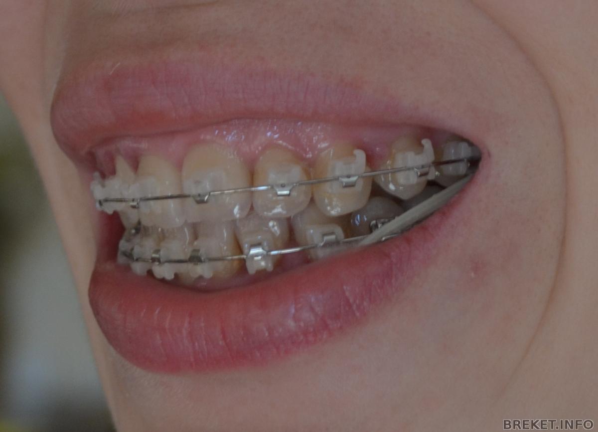
Еще на последнем посещении установили мне эластики. Межчелюстные. Всего два. С двух сторон симметрично. С верхней 6 до нижних клыков. Орт сказала носить примерно 16 часов в сутки до след. приема. Снимать во время еды обязательно. В общем, у меня получается носить их наверное часов 20 в день. В принципе, они мне не мешают. Их не видно и говорить тоже свободно получается. Одеваются на раз два. Хлопот и дискомфорта практически не доставляют.
НО!!! Теперь по прошествии двух недель с момента установки эластиков меня начали обуревать сомнения, а правильно ли она мне их установила? Мне начинает казаться, что моя нижняя челюсть начала отодвигаться назад, так как верхние зубы опять начали задевать нижние брекеты и прикусывать нижнюю губу. Так уже было в самом начале установки бс на нижнюю челюсть. И вообще мне всегда хотелось свою нижнюю челюсть выдвинуть вперед))) Сейчас ехать на прием нет возможности - врач в отпуске. Не носить эластики - тоже боюсь. Все-таки орту виднее что и как.
В общем, у меня к вам вопрос, дорогие коллеги. У кого как стояли эластики и как это вам помогло??
Комментарии
Я носила сначала по такой схеме, чтобы втянуть клык на НЧ в зубную дугу, а то он был впереди всего зубного ряда. Теперь тяги ношу "наоборот" - 3 ВЧ - 6 НЧ.
ок, все понятно. Возможно и правда потом поменяет направление тяг. Будем надеяться, что мой врач знает, что делает. Хоть она и молодая еще у меня. Три года всего опыт работы...
Моя тоже совсем молоденькая. я стараюсь не задумываться об этом )







Вам правильно кажется, это схема тяг для устранения мизиального прикуса, т.е. отодвигает НЧ назад( точнее наверно меняет наклон зубов)
я сейчас на оборот ношу , ВЧ на 3 , НЧ на 6, убираем дистанальный прикус
Я думаю вам ОРТ тоже хочет наклон поменять, Мб на следующем приеме будете носить схему как у меня