четвертая пара
сегодня наконец испытал приятное чувство давления на зубы - мне поменяли дуги на обеих челюстях.
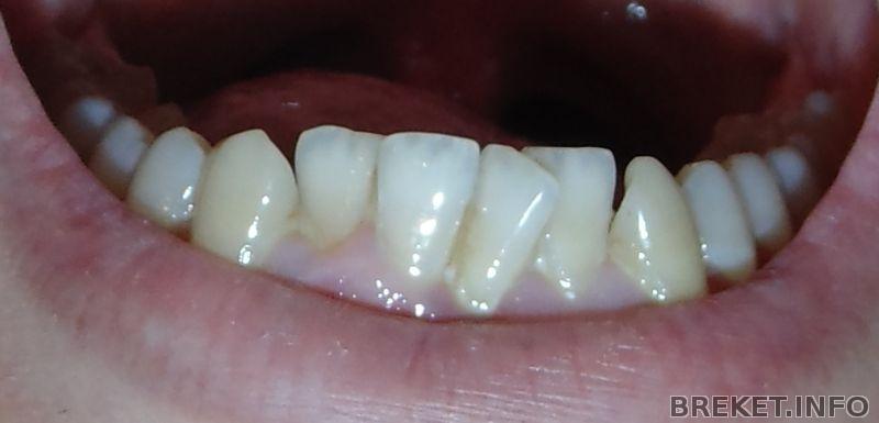
пока все идет хорошо. зубы двигаются, но работы еще много.
Выкладываю фото для наглядности. То, что было до брекетов и то, что сейчас - через почти 7 месяцев ношения брекет-системы.
Комментарии
Замечательный результат)
19.07.2014 - 09:11
Здророво! Зубки стали заметно ровнее!
19.07.2014 - 11:13
работы, конечно, ещё много! но промежуточный результат отличный!! вы молодец.
19.07.2014 - 20:05
спасибо за обнадеживающие комментарии
20.07.2014 - 14:24




shinoda ну красота ))
ПО сравнению, с тем, что было - существенные изменения!