Снять брекеты раньше срока
Устала. Нет желания больше носить эти брекеты, какое-то мучение. Ношу 2.5 года. Зубы стали идеально ровные через 6 месяцев после установки. Остальные 2 года: то ортодонт попался плохой, пришлось поменять и начать все заново. Работа осталась самая мелкая, которую видит только профессионал- то повернуь на мм, то подтянуть...и все это длится бесконечно! Хочу попросить докорректировать за 1-2м и просить снимать систему, иначе это уже просто издевательство.
Кому приходилось снимать раньше срока по вашему желанию?
Комментарии
так дооолго, и исходник-то неплохой ведь был....
Я вас так понимаю и сочувствую! Я ношу еще мало, но уже устала от них(
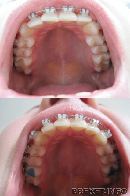
Какие зубы красивые, в альбоме посмотрела
А сейчас что?
Там исправлять извини, нечего было, вообще немного расширить ряд и все.
Блин и ты 2,5 года мучалась. Хорошая ты моя девочка, будь немного напористей и поговори с ортофеем.
На тему, что осталось? Сколько до снятия?
Если еще долго, скажи, что не хочешь терпеть так долго. Но ты так много отмучалась, потерпи солнышко еще пару месяцев.
походу ортофей деньги высасывает
У меня все было гораздо хуже, но мне через год и три месяца уже сказали, что можно снимать... Но я хочу еще немного довести до совершенства. Судя по фото, даже не представляю почему вы так долго носите
судя по зубам "до", действительно, все это довольно быстро исправляется, случай не сложный. Согласна с Улыбашкой, поговори с ортом! Не дело это с его стороны.



Marines, я тоже орту сказала, мне не нужно делать идеальный, я просто хочу снять это все и забыть.
Покажи фотографии, что сейчас с зубками. Так сложно сказать, стоит снимать или нет)