Запоздалый отчет и много новостей))
Почти месяц не бывала на сайте, не читала, не писала, т.к. абсолютно не было на это времени. Я с домохозяйством уже совершенно забыла как это, когда масса важных дел и ничего не успеваешь)
С момента прошлой записи произошло много событий) мое 23летие, 26летие мужа, 28летие близкого друга мужа, да и уже моего, поездка на свадьбу к другу в Харьков, 7 месяцев БС, 7ой плановый прием и поездка на сессию) вообщем, жизнь кипела))) мало текста, много фоток, но обо всем по порядку))
Сначала расскажу о зубных делах)) хотя об этом вообще писать не хочется. Ничего особо не происходит) Иии у меня началось состояние, когда БС надоела. Как-то скучно стало с ней) есть определенный дискомфорт, который уже стал привычным, а толкового ничего не происходит. Вот и надоели мне брекеты)
А тяги, кстати, на пару с реверсионкой, мне хорошенько помогли)) столько читала тут, что ночью тяги не работают, прям некоторые так доказывали smile31: щас могу сказать - абсолютно не правда)) мне назначали носить только ночью и все отлично помогло)) я носила еще по 4 часа в первой половине дня, когда могла, но не думаю, что это короткое время сыграло значительную роль. Так что только зря пугали, что ношение тяг ночью- бестолковое ношение) я уже практически забыла, что 5 месяцев ходила с огромной дырой между челюстями)) конечно, к хорошему привыкаешь быстро))) но, кажется, на ВЧ появился небольшой перекос со стороны ношения тяг. Центр вернулся на то место, где был до БС, не идеально, но уж лучше так, чем зуб посередине лица))
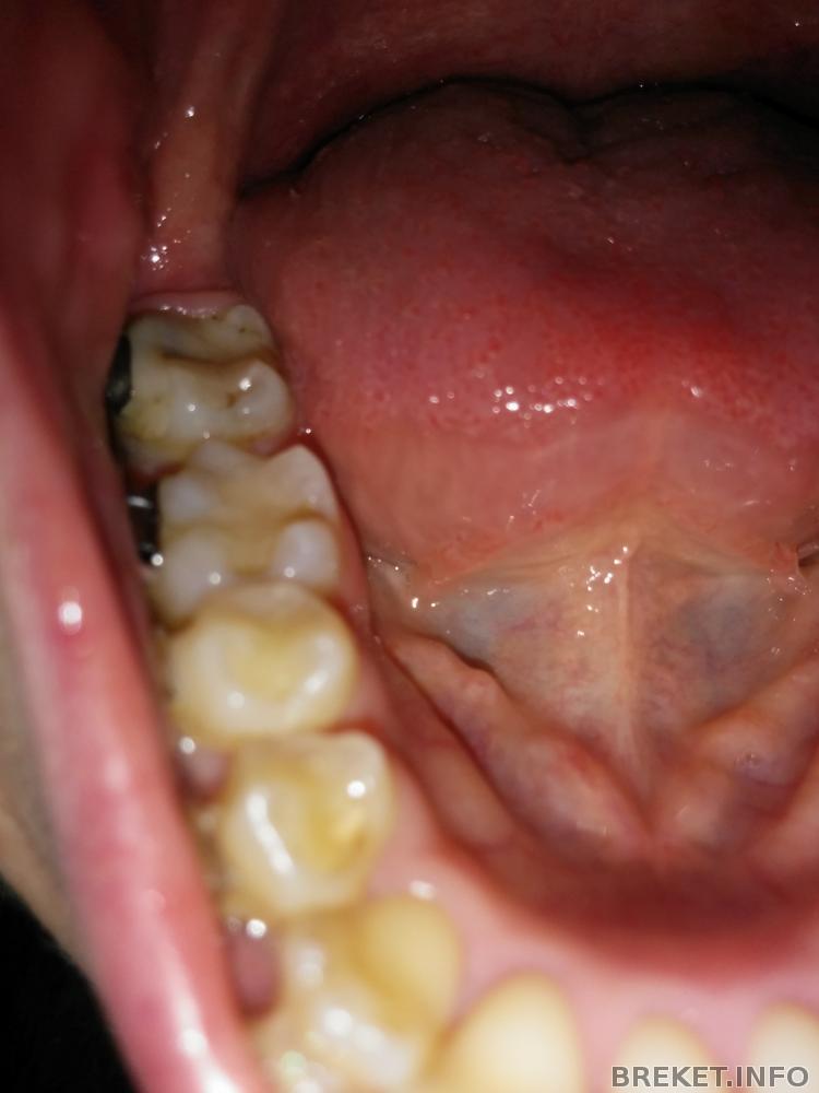
Зубик на НЧ (4ка слева) до сих пор не встал как надо, упрямый же ж((
Переживаю за семерку слева на НЧ, одна за ТРИ месяца так и не сдвинулась в нужном направлении(( и что делать? Даже не знаю((
А справа сбежавшая шестерка так и не возвращается обратно к семерочке((
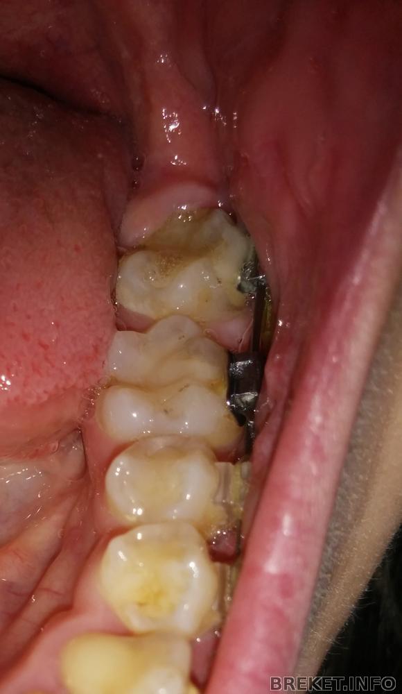
На 7ом плановом приеме орт был какой-то злой, недовольный и как всегда молчаливый Отменил тяги, новую схему не назначил, поменял чейны, теперь они на всех зубах, пытаемся позакрывать щели.
А теперь о приятном) на свадьбу съездили хорошо, приятно провели время) Свидетельница меня опасалась, так что держалась подальше от моего мужа))
Как обещала, выкладываю фотки своего внешнего вида, который мы так долго пытались выстроить)) еще раз всем спасибо за советы)) я не пожалела, что купила себе куртку на верх, одела ее на свадьбе всего два раза: рано утром и поздно вечером, вообщем тогда, когда было прохладно) зато щас в неприятную погоду очень часто ее ношу)) так что моя практичность меня не подвела)) как сказала Ennelyne «Хазяйська дитина»))) это да))
Пару дней назад вернулась в Польши, с сессии. Вернулась не одна, а с дипломом магистра
не могу до сих пор поверить, что учеба закончилась, что больше не будет поездок на сессию и дикого темпа дистанционного обучения) очень переживала, думала поседею или упаду в обморок, пока защищусь…Комиссия завалила меня вопросами, но я настолько хорошо на все ответила, что все были в шоке) даже позволила себе оспорить некоторые утверждения своего руководителя магистерской диссертации)) вообщем, получила 5)) и средний бал за два года обучения 4,725)) я довольна собой))
Помню, мы тут обсуждали мантии, и кто-то говорил что они ужасные, вонючие и их миллион людей одевал до меня. Вот что я могу теперь сказать: мантии моего универа были настолько чистыми и идеально выглаженными, что одевать их было даже приятно. И это с учетом того, что я жутко брезгливая, боюсь бактерий и инфекций. А шапочки вообще сшиты на заказ и мы их забирали с собой, как подарок)) Но одно правда: мантии действительно очень душные и жаркие) но это ничего страшного, я так хотела получить диплом магистра и одеть эту мантию, что мне было все-равно на все неудобства)))
Комментарии
Все не было времени написать, а теперь закончились бешенные дни, все стало как обычно, вот и добралась))
Да, в чейнах все очень запутывается(( надоело уже вычищать все... а после Польши вообще чейны за неделю пожелтели, может из-за того, что ела всякую гадость там, но теперь еще месяц ждать до приема и ходить с этим((
А тяги да, были только на одну сторону, т.к. там щель была больше и понадобилось дополнительное усилие в виде тяг, чтоб закрыть ее) вот и перекос образовался((
У тебя точно все будет в порядке)) надо просто терпеть и ждать. Но я не очень верю в слепое доверие врачам, так что желательно еще кое-как следить за тем, что происходит во рту и спрашивать, если есть беспокойства))
Martinss поздравляю со всеми событиями сразу)))))))) И особенно с дипломом - столько нервов на него тратится..
Так, это кто это у нас хочет покинуть наш клуб Тома К.?
Martinss, я даже в течение месяца записываю вопросы к орту и прохожу к нему на прием с листочком)))
Watson, спасибо))) да, диплом- это действительно самое важное событие, очень волнительное))
да даа, я тут медленно удаляюсь из клуба Тома Круза))) но мой центр так и останется, так что я всегда одной ногой буду возле Тома К.))
Маруся26, я тоже записываю всегда)) но не всегда получается все спросить, мне сразу в рот лезут, как бы намекая, чтоб болтала меньше))
Марта, привет, дорогая! Мои искренние поздравления со степенью магистра! Ты большая молодец! Теперь работу, как говорит моя подруга, на миллионерскую зарплату - и дело в шляпе!
Я до сих пор трепетно отношусь к учебе - поступаю на второе высшее в КНЭУ в этом году))).
Платье вообще бомбовое - да еще на такооой фигуре, статуэтка!
Двигаются зубки отлично, в обще, все у тебя в шоколаде!
Ennelyne, привет)) большое спасибо))
как раз надо заниматься поиском работы)) страшно так, давно не работала, но надо, а то одичала дома))
одной ногой буду возле Тома К.)) ![]()
Совсем забыла написать (ты меня сбила своим идеальным центром:) платья офигенские, особенно цвет - нежно-нежно-голубой и мятный, красота)
Хахаха, про клуб понравилось
, бедный Том Круз, знал бы как его образ тут эксплуатируется.
Watson,о, спасибо)) очень люблю платья, обожаю просто)) жаль носить особо некуда) вот это мятное год висело с ценником, не было случая, чтоб одеть)) как раз на вручение наконец-то пригодилось))
Малина, сам виноват, нечего было оставлять зуб посередине лица)) теперь пусть ему икается))
Ух ты, Марта
ужасно скучала по твоим постам!!! Столько всего произошло, прямо ваау ![]()
Поздравляю с дипломом, а платье просто шикарное ![]()
Ортодонту огромный респект за его работу!!!
Martinss, привет) скучали по тебе) ![]()
Столько хороших новостей, порадовала) ![]()
Ты прекрасно выглядела на свадьбе а на выпускном улыбка блестящая!
Я теперь тоже ношу тяги, но я заметила, что если не носить тяги днем, хотя бы пару часов зубы опять становятся на свое место. Плюс у каждого своя генетическая предрасположенность.
Поздравляю с защитой
Тебе очень красиво в мантии, очень символично с флагом Украины)
Mikaella, о, сколько лет, сколько зим)) спасибо большое, очень приятно))
ортодонт хоть и капризный, но пока молодец))
Улыбашка, привеет))) спасибо огромное, наконец-то и у меня что-то приятное))
у меня зубки сначала тоже активно разбегались, прям ооочень быстро...А потом как-то меньше стали убегать) в итоге за месяц добились того, что надо было. Но, думаю, если активно начать работать над прикусом, то месяца тяг на ночь явно будет мало, придется потерпеть их наааамного дольше)) но, конечно, все очень индивидуально, может тебе надо немного больше времени, чтоб они закрепились на местах)
Я днем вообще не могу носить, они мне мешают разговаривать, поэтому ношу только ночью, стараюсь вечером одевать) А вообще брекеты безумно надоели, я перестала думать о времени и делать фото... просто хочется чтобы это все пришло к логическому завершению)
По какой специальности ты магистр?)
Привет! Поздравляю с новостями!
Окончание учебы - это потрясающе, а с такими шикарными результатами и тем более))) Куртка отлично подошла к платью, и вообще вы красавцы, отлично выглядите и смотритесь вместе
Кстати, у нас в академии мантии тоже были стерильны, хотя их до нас и носили другие выпуски. А фотки в мантиях получаются всегда самые-самые, так что тоже ни разу не пожалела, что надела)))
Марточка! Наконец-то! Отличные новости! Зубки радуют! Вот это движуха - я понимаю! Платье шикарное! Побольше бы поводов наряжаться в такую красоту! Поздравляю с защитой! Молодец!
Улыбашка, мне тоже мешали разговаривать, рот же ж вообще не открывался)) но я дома сижу, так что было проще)) только кушать хотелось)) хотя, я несколько дней и в магазины с тягами ездила, чтоб время зря не пропадало)
Кстати, мне тоже надоело фоткать, следить.. хочется чего-то активного, как в начале)
а магистр я по специальности Управление маркетингом и общественными коммуникациями)) если проще говорить: маркетинг, реклама и ПР)
Juls128, спасибо большое))
мне до сих пор не верится, что наконец-то я получила диплом, всю сознательную жизнь к нему стремилась)) родители внушили, что образование - это мое первоначальное задание в жизни))
и мантии реально крутые, тоже не жалею))
Леночка, спасибо огромное за поздравления)) действительно, побольше бы нам и поводов для наряжений, и платьев на все случаи жизни))
Ух, сколько новостей, Martinss! Ну, ради такого стоило потерпеть твоё отсутствие
Отличный получился образ на свадьбу, мне очень нравится! И улыбка!!! Улыбка просто очаровательна, брекетов не видно, а она такая широоооокая
Короче, я в восторге!
Мои поздравления с магистерским дипломом!
Да-да, мантии они такие. У меня на выпускном после универа, когда я получала магистерский диплом, тоже выдавали мантии, и все они тоже были чистые и выглаженные. Более того, нас заранее спросили рост и приготовили мантии каждому точно по росту! Мы так хотели их скорее напялить! Но уже через несколько минут интенсивного фотографирования их безумно захотелось снять, они такие тяжёлые и жаркие... но зато фотки получились просто отпад!
Теперь про зубы.
Может, мне только кажется, но на фотке где прикус справа показан, в 6 мес. щель была меньше, чем в 7 мес. Или так и должно быть?
Алхимик, спасибо)))) да, брекетов как-то не видно)) хотя на фотке на дипломе видно таки)) и это мне на всю жизнь будет)) ну и ничего страшного, не так уж плохо смотрится))
мантии жаркие капец)) и шапочка постоянно сползала)) но я где-то об этом слышала и заранее приготовила себе невидимки, чтоб приколоть ее)) стало легче, а то вечно криво на голове была))
нет, тебе не кажется, действительно на 7 месяцах дырки меньше...Я тоже заметила. Это с правой стороны такое. Для себя я нашла объяснение, что все это из-за сильных тяг на одну сторону. Слева щель закрылась как надо было, зубы вниз натянулись, а справа наоборот вверх ушли. Думаю, надо было мне тяги либо на обе стороны назначать, либо не такие сильные, чтоб избежать такой ситуации. Вышло, что зубы на ВЧ немного перекосились(
Воу! ВоУ! Сколько отличных новостей!
Поздравляю, дорогая! Магистр-круто звучит! и шапочки клевые ![]()
Такие вы с мужем красивые, здорово вместе смотритесь ![]()
А зубки - ну наконец то щель эта дурацкая закрылась. Я за тебя прям переживала. А видишь, как все прекрасно выходит. А перекос, думаю, быстро исрправится тягами с обеих сторон
Хорошие события одно за другим
Mairead, спасибо, Марго
вечно что-то меня не устраивало, не устраивало) а тут наконец-то какие-то хорошие события для разнообразности))
щель - вообще отдельный повод для радости)) так же ж хорошо без нее
Щели классно затянулись!
И да, как подмечено уже, тяги свое дело делают!













Наконец я дождалась твоего отчета, все время поглядывала и ждала))) Очень рада, что с зубами происходят позитивные изменения. Кстати про чейны, наверное тяжело с ними на всех зубах? я раньше думала, что сложно чистить зубы в брекетах, оказалось, что в брекетах и чейнах - вот это не идет ни в какое сравнение, меня это жутко бесило, все нереально забивалось и плохо вычищалось - все время и десна из-за этого ранила, и я не могу нарадоваться их снятию в этот раз. А твое смыкание становится все лучше и лучше, прямо прелесть, действительно не верится, что раньше была там нереальная расщелина. Вот смотрю на твои зубки и немного верю, что и у меня все так же просто станет на свои места. А что на счет тяг? Они только с одной стороны что ли?