От приема до приема, нам 1 год :)
Наконец-то, началась хоть какая-то движуха.
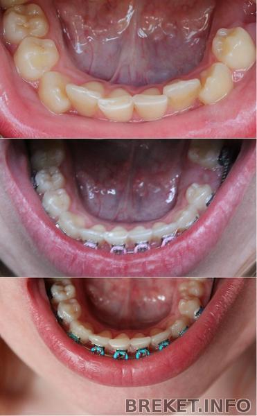
Все утро перед приемом думала, какие же хочу лигатуры. А нет, не тут-то было...
Заменили эластичные на металлические. Хочу заметить, смотрятся они гораздо аккуратней.
Не радует только одно, язык за них сильно цепляется.
На следующем приеме орт обещал что-нибудь придумать с нижней 5-кой, никак не хочет сама вылезать ![]()
А вот адский перекос на вч пока исправлять не торопится
Текущий результат:
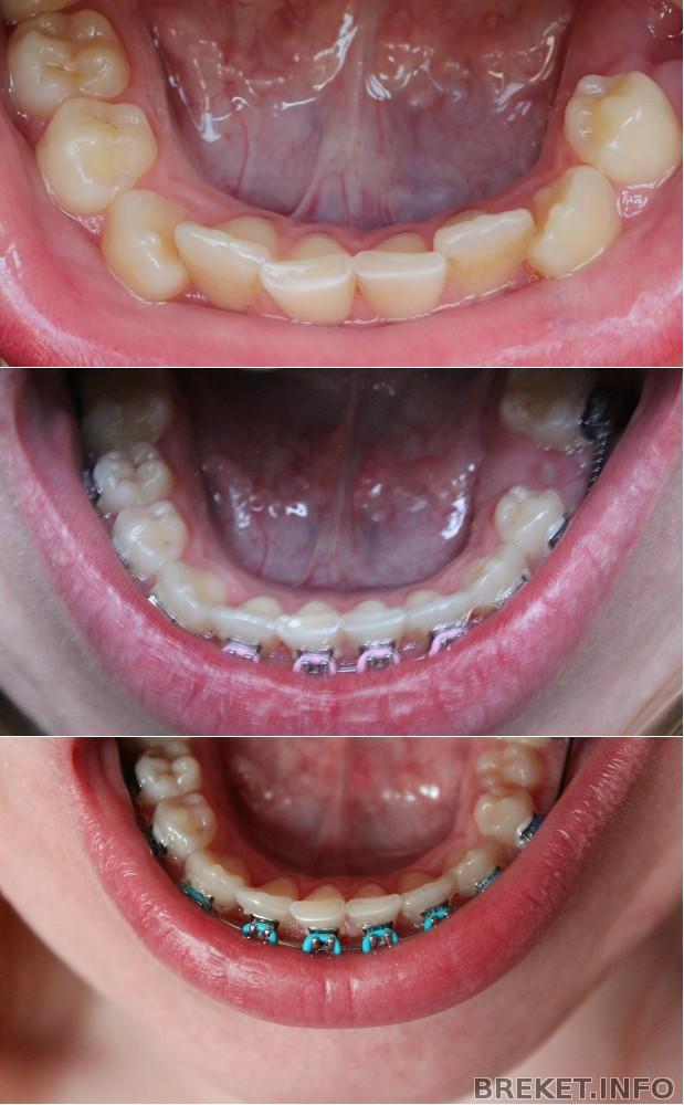
1 месяц; 2 месяца; 1 год 1 месяц
1 месяц; 5 месяцев; 1 год 1 месяц
до установки; 2 месяца; 1 год 1 месяц
1 месяц; 1 год 1 месяц
до установки; 2 месяца; 10 месяцев
1 месяц; 5 месяцев; 1 год 1 месяц
Комментарии
марина борисовна, не знаю, почему орт мешкает. в море погоды ждет, наверное.
кнопку можно было давно поставить
Эмили, а почему у единичек такая странная форма? Сточились или такими выросли?
Алхимик, сточились







а почему вам пятёрку нижнюю не подключают? она ведь вылезла из десны, значит можно "насильно" заставить расти. у нас пока не проклюнулась, может придётся "окошко" вырезать и кнопку ставить.