Коллеги-брекетоносцы! Нужно ваше мнение!
Всем привет!
Мой срок 1 год и 4 мес на ВЧ... На НЧ 11 мес.
По идеи завтра записана на снятие НЧ. Но мои результаты меня не радуют. Вообще недочеты на НЧ меня мало смущают, для меня было главное ВЧ. НО смогут ли зубки на ВЧ встать нормально, если брекетов на НЧ уже не будет?
Не буду много писать, хотя так и хочется излить свои переживания)))
Люди, покритикуйте мои недочеты! Мне кажется что у брекетоносца взгляд профессиональней чем у орта (хотя может я уже своему перестаю доверять
) Завтра прием, хочу решить снимать НЧ или нет, и по поводу ВЧ вообще не понятки, т.к. щель между 1 и 2 слева только больше становится. Почему орт не может ее за несколько месяцев заделать для меня загадка. А еще смущают какие-то изгибы на дуге....
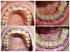
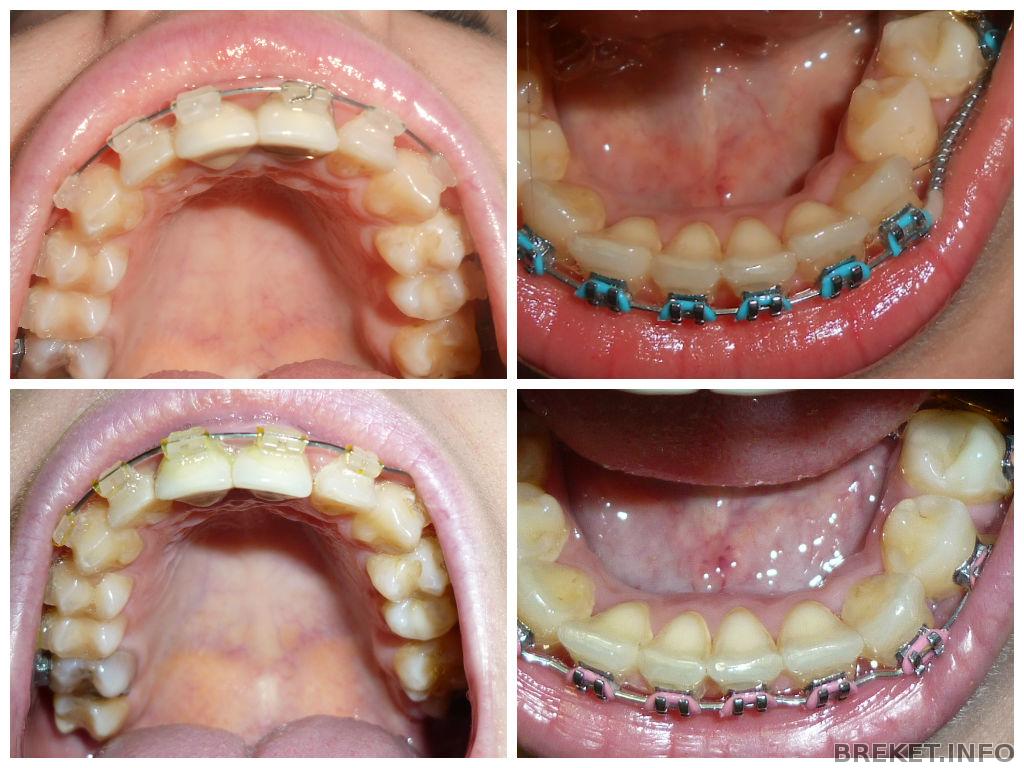
И прикус:
А вообще вижу, что в улыбке зубки выглядет некрасиво
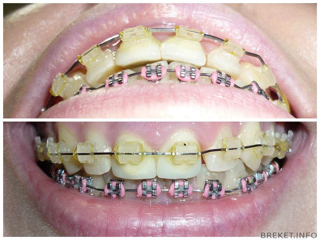
Сделала коллаж для сравнения, сверху ГОД, снизу ГОД и 4 мес. На ВЧ за 4 месяца не изменилось ничего. Обидно.
Комментарии
Нет, снимать не нужно!
Нужно доделать смыкание, центры не совпадают.
Это займет месяц другой, больше терпела, потерпи еще немного)
Снимать рановато, у вас несимметричное смыкание, исходя из фото можно предположить, что на НЧ зубы стали не по правильной дуге. С ВЧ все понятней, Ваш орт хочет подтянуть двойку чуток вниз, а потом затянуть щель
Химия да такое есть.. центры не совпадают.
Улыбашка терпение и терпение впереди... Смотря на мои фото снимать точно не хочется.
И вот смыкание какое-то странное, мне кажется у меня НЧ может и влево встать в прикус, и чуть вправо тоже будет другое прикус
Yuliia.Smoll хотелось бы чтобы для ВЧ это было правдой, а не просто орт немного "подзабила"
Я считаю, рано снимать, потерпи еще. Кроме того, что центр не совпадает, смыкания то нет нормального! А это уже важно для здоровья и удобства.
АнастасияК, ага
Зубам как будто тесно на нч, не встают они по параболле. Они ка буд - то по квадрату выстраиваются.
Если снимешь НЧ, центр не сделать.
Ох, сходила я на прием. Нажаловалось на то, что меня не устраивает. Порадовало, что орт нормально отнеслась к жалобам. Выслушила, сказала раз не нравится, снимать не будем.
Мне сняли дуги, на передние 6 зубов ВЧ одели цепочку, чтобы убрать щели, выдали резиночки (тяги) для правильного прикуса. И отправили на полторы недели. Посмотрим что получится
Тяги я еще не носила...
Спасибо всем за советы и поддержку!
Xenia вот на центр не жаловалась, эти пару мм мне придется оставить так...
из за коронок на передних зубах.




Центр НЧ и ВЧ не совпадают. Я просто пока совсем новичок, поэтому не знаю как их совмещают. Ну эт то что я заметила