Плохие новости после снятия
У меня новости не гуд.
В конце второй недели после снятия ВЧ заметила, что единичка и двойка с одной стороны еле заметно подвинулись к первоначальному своему положению, кусала ими твердое на радостях после снятия, наверное, не надо было.....
Повторюсь: подвинулись на долю миллиметра, с виду незаметно. Но мне заметно! Они стали неидеально ровными. Я была в панике. Ношу капу, ретейнера нет (потому что он не уместится, это без вариантов). Кусать твердое единичками-двойками боюсь( Утешаю себя тем, что дальше капы зубы не уедут... Если честно - не особо расстроилась, если не считать первой реакции, но это при условии, что дальше они не будут двигаться
аааа! Поделиться не с кем, кроме вас.
На НЧ после смены дуги на сроке более года все зубы пустились в пляс, это ужас какой-то, подвинулось куда не надо даже то, что год стояло там, где надо
Зато 6ка завалившаяся выпрямляется, но какой ценооой
*это когда-нибудь закончится?*
ПС никого не хочу пугать, сама в шоке малость
Комментарии
Watson, привет) На НЧ-то не, не думаю... там места много... Скорее всего, из-за дуги новой и и из-за того, что я кого то заставлю переклеивать половину брекетов на следующем приеме ![]()
Как у тебя дела?
так всегда, рассказали страшилку, а потом попросили не боятся
я ужасно боюсь смещения после снятия, у меня, такое ощущение, что левая единичка на ВЧ совсем малость не вмещается между соседней единичкой и двойкой. причем, врач говорит, что все ОК, а я ведь знаю, что не все!
тоже хочу каппу после снятия, нафиг тот элайнер за сумашедшие деньги, только не знаю будет ли настолько каппа еффективна, что удержать мои зубы...
Лелик, не паникуй! Уверена, что дальше этого дело не пойдет, тем более с капой! А про минимальные подвижки эти нас предупреждали, так и должно быть, все в рамках нормы, так что все будет отлично
Оо...а как так без ретейнера?
Даже когда низ снимут он не войдет?
Не первый раз уже такое пишут здесь. Движение с каппой - как это вообще возможно.
Саша В., да вроде бы не так страшно это, чтобы прям в ужас впадать, но обидно конечно. Я не ожидала, если честно, такого подвоха и так быстро)))). У меня явно не вмещалась двойка с единичкой, но впихнулись и стояли в БС ровнехонько, без удаления было. Вот они и встают как им удобно даже через полтора года ношения.
Juls128, спасибо! да, я уже поняла, что в моем возрасте ждать чего-то шикарного и так, чтоб навсегда - не стоит. У кого может так и случается, но не у меня видимо
Организм\природу не обманешь. Капа - мое все.
Xenia, врач сказал, что он будет сбит, ретейнер, нижними зубами и БС. И плюс он обеими руками за капу, т.к. ретейнеры ломаются отклеиваются и т.д. Он мне так сказал, я просила ретейнер настоятельно. Но капе я доверяю больше, чем ретейнеру. Позже не будет толка ставить ретейнер - уже уехало
А сильнее уехать вроде как капа не должна дать... буду просить опять наверно. Я к концу лечения все больше наезжаю на орта - постоянно заставляю его что-то делать
Он че то расслабился...
lara2304, оно милипизерное, движение это - в рамках капы видимо позволительно такое.... Просто я зубы наизусть свои знаю, поэтому мне видно и кажется, что все "уже не так, как было". Да и ладно если б другие зубы, но единичка и двойка
я так радовалась, когда они стали ровными(((( Кстати, они стали ровными самыми первыми из всех)) ирония судьбы, блин.
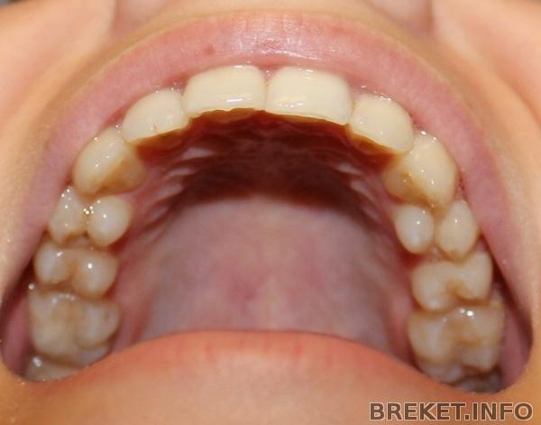
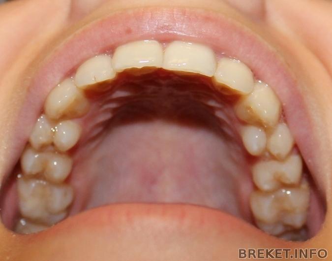
Я сфоткаю на днях, щас не до этого...Думаю, вам будет заметно.
Клейте, девочки, ретейнер и капу делайте! Спокойнее хотя бы будет.
не знаю, что с двойкой, но с единичкой у меня таже фигня! только у меня с левой такое(((
Ставь ретейнер в плюс к капе, мне типа нельзя было. А ты ставь)
в том то и дело, что я не хочу, чтобы ко мне опять что-то было приклеено на долгие годы!! уж хватит с меня. мне , как альтернативу, врач предлагает элайнер, только уж очень дорогое это удовольствие для меня ( 3500 грн.) я прям не знаю на что решиться.
Ахаха, старушка, насмешила
Движение не особо большое, нам, конечно, перфекционистам, заметное, но обыватель будет видеть только красивейшую улыбку)))
Саш, элайнер это как капа? Говорят, к ретейнеру привыкаешь и он не чувствуется... Я его так хотела, так хотела
Ну теперь че уж там...
Я б не сказала, что капа удобнее ретейнера, ее снимать надевать, мыть, считать сколько по времени в сутки носить, хранить в сухом месте и т.д. и т.п. - есть в ней нельзя, вот печаль для меня)))) Типа надел и все, не перекусишь нифига) В общем, мороки тоже немало. Так что ретенционный период в любом случае не пролетит незаметно, что бы ты ни выбрала. Но сейчас я бы еще 50 проволок надеть согласилась, лишь бы сохранить результат.
Юля, а то! Уже ж не шешнадцать лет-то
Ты как психотерапевт прям, спасибо за поддержку))) Я не особо расстроилась, в фас действительно незаметно...но страх уже появился где-то там, внутри))))
элайнер ( может я конечно название перепутала) это тоже каппа, только гибкая, делается както хитро под идеальный ряд зубов пациента,если он еще не идеальный, когда брекеты не в силах доделать нюансы. то есть она будет не по моим зубам, а по тому идеальному зубному ряду, который у меня может быть. както так, доравнивает зубы.
Поняла, погуглила) К сожалению, ничего о них не знаю. Впору и мне такое заказывать)))))) Не, ну а че, как вариант...
Но ретейнеры я бы обязательно себе приклеила, если б можно было.
а почему нельзя??
Орт так сказал) По крайней мере пока НЧ стоит
lelechka, А почему нельзя ретейнер приклеить?
Блин на самом деле, очень обидно, но лушче себя перестаховать и воспользоваться ретейнером или трейнер можно попробовать использовать, может к другому ортодонту обратиться, чтоб тот ретейнер наклеить?
да, элайнеры - это получается прям у них заказывать, на самом деле они действительно более аккуратные и прям вылитые по зубам. я тоже думаю после операции и снятия - буду их и носить по ночам.
ну и ретейнер конечно.
Ольчик, не переживай, тьфу тьфу, дальше этого никуда не сдвинется - это скажем так "естественное дыхание зубов" - они выдохнули после снятия оков и спокойно уже встали и сейчас замрут навсегда так ровненько. Только капу носи по ночам конечно.
Улыбашка, да я думаю, смогу его заставить, как показывает практика, если настойчиво попросить - он делает. Наверно и правда надо просить. Это не дело сидеть бояться дыньку укусить(
Skart, а почему тада всем элайнеры не прописывают вместо капы? Дорого наверно? За капой внимательно слежу) чтоб 8 часов точно носилась)
lelechka аа, вот оно че,Михалыч - дуга новая искривила.. да уж, бывает нежданчик
в моем возрасте ждать чего-то шикарного.. - эй, полегче там с возрастом, не надо на больное давить ![]()
PS у меня вроде все нормально - я успокоилась, думаю, начну истерить ближе к году )) (если ничего не изменится)
lelechka - могу лишь предположить, что да, если их заказывать отдельно - то это дороже простой капы выходит. Ибо капу я так поняла делают быстро по слепку, чуть ли не в этот же день. А элайнеры (в их фирме) - несколько дней.
Хотя лучше бы Саша В расспросила об этом своего врача, ЧТО именно ОН имеет в виду под словом "элайнер" и у кого он собрался его заказывать? (ведь есть и другие аналоги американцам.
Я думаю капа ну не настолько уж свободнее элайнера, просто он более эстетичный, а так - функции они выполняют одни и те же в качестве ретейнера.
а по моему вы все воспринимаете близко к сердцу)), по крайней мере судя по картинке ничего такого заметного не произошло. А по поводу ретейнеров, то тут была статья орта о том , что их как бы не рекомендуют носить, дабы ВЧ отличается от НЧ естественными свойствами движения зубов, но как ни странно многие , находящиеся здесь Брекетоносцы не отказываются от ретейнера, в моем случае же орт обещал приклеить ретейнеры на обе челюсти, по его словам, это поможет минимизировать риск возможного движения зубов.
Руслан, мнение одного орта ведь не является априори правильным, чтобы к нему настолько прислушиваться)))
Juls128 не спорю, как говорится сколько людей столько и мнений),каждый сам( ну и орт конечно же) решает что ему ставить(клеить) , а что нет, ведь от этого зависит, как пройдет дальнейший ретеционный период, для того штоб закрепить результат...
Руслан, я близко к сердцу восприняла не то, что чуть подвинулись зубы, а то, что они дальше могу уехать... это самое ужасное - расслабиться не могу теперь))
Доктор Ксюня все сделает)))) не переживай в моем арсенале столько всяких советов)))
Доктор Ксюня, как твои зубастики?) как днюшечка)
хорошо, как иначе) мне же главное пожрать вкусненького)
зубы уг...щели ....но лигатуры в честь днюхи налепила на вч...на которую якобы нельзя из -за чейна))))
про пожрать я тебя так понимаю
сейчас с капой не всегда можно это сделать, т.к. если уже надел - снимать неохота... эх, похудею еще ![]()
Ксюня против правил


Хорошо, что есть капа - дальше нее точно не уедут)
На НЧ из-за 1 зуба все искривилось?