Вот и мои юбилейчик в 6 месяцев))
Полгода пролетело быстро! Раньше читала записи других и думала: Ээээх, мне до этого далеко... И вот и у меня мини юбилей)
Давно я тут не появлялась и не писала
Начну с того что на прошлый свой прием в 5 месяцев, мой орт вместо того чтобы спросить меня про удаление зуба мудрости (который я так и не удалила) стал ругать меня. У меня открылся замочек на клыке, я не увидела, ну не знала не вглядывалась я в них! мне не рассказал он как выглядит открытый замочек и тд. Короче поругал, т.к мой клык повернулся, поставил резиночку не знаю как она называется, поменял пружинку на НЧ и отправил гулять на 10 дней. Я была в шоке... Ну ладно, подумала я, спрошу про все через 10 дней. Когда они прошли я обнаружила, что клык так и не встал на место, ну и к тому же я простыла и плохо себя чувствовала. Позвонила чтоб перенести прием и выяснилось что он ОПЯТЬ уезжает и будет аж 22 августа, а это месяц целый.
Пришлось записаться так.
Спустя неделю мой клык встал на место и я возомнила себя ортом и решила закрыть замочек сама. Пару дней с ним мучилась и закрыла! Радости не было предела)) резиночку убрала тоже сама) Было страшно и стыдно даже немного, что я все сама сделала, ну а что делать))
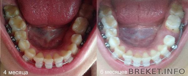
И вот настало 6 месяцев. Результаты вообще не видны были пока не сравнила фотки.
Улыбка вроде осталась такой же
ВЧ стала уже правильным для меня овалом, мне уже все нравится. Ну не считая моего дико ужасного прикуса! Даже уже не знаю какой он теперь стал, открытый или дистальный, но и не верится что когда нибудь снова смогу откусывать и соединять зубы...
Больше всего слежу за НЧ, так как упор сейчас на нее. Расстояние для моего зубика увеличивается. Центр становится на место. Но видимо из-за нехватки места, зубы встали немного под наклоном. Открылся кариес которого не было видно.
Ну и место для зубика. Кажется что его уже достаточно. Это я так себя утешаю и откладываю удаления 8ки
А самое главное!!! Пару дней уже болят зубы в районе пружинки. Сегодня обнаружила, что это болит мой зуб который сидит в десне! Я так обрадовалась
Может он решил вылезти сам! даже когда языком щупаю, он другой какой то стал! Хоть бы сам начал прорезаться
На след.неделе наконец-то прием, жду не дождусь уже! Видимо после него пойду на удаление.
Уффф. кучу написала, вы уж простите)) соскучилась видимо
Комментарии
Ого) результат на лицо)
Очень красивая улыбка)
так держать)





Я тоже сама пару раз закрывала замки, которые не удавалось закрыть орту при смене дуг. Она очень удивлялась этому. Видимо не так много поциентов у нее, которые на этом форуме сидят и умеют самодельничать))) Поздравляю с юбилейчиком)))