Вот и пролетел месяц!
Что было за это время?
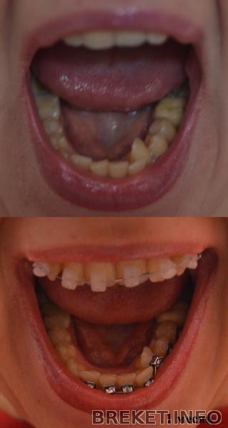
Была установка пластиковой коронки и БС на обе челюсти на протяжении 5 часов. Был дискомфорт при чистке зубов пару дней. Был отколот брекет во время поедания шоколадной конфетки. Научилась есть не жуя. Стала чаще улыбаться.
Что изменилось в зубном ряду?
На мой взгляд особо ничего.
Так хотела, чтобы за месяц все зубы выровнялись ))))))))
Прилагаю фото.
Комментарии
Natalya86, спасибо! Я и этим подвижкам рада. Каждый раз, когда новый зуб начинает тянуть, радуюсь, что БС работает! Надеюсь на лучшее и продолжаю терпеливо ждать!
ой да у вас все только начинается
скоро будете диву даваться ^-^ поздравляю
Messer, спасибо! Я смотрю на прогрессы других и надеюсь, что и у меня скоро так будет. А я в свою очередь поздравляю вас с успешной операцией! Мне аппендикс вырезали под общим наркозом. И я знаю, что такое отходняк от операции. Скорейшего вам прихода в норму! Только я так и не поняла, что именно вам делали во время операции?
Спасибо большое
) прикус исправляли
у меня нижняя челюсть была спереди верхней
) вот задвигали
Messer, ого! А у меня наоборот - ВЧ полностью накрывает НЧ. Из-за этого и из-за не очень удачного удаления 8ки на НЧ у меня сейчас вывих челюсти, сустав уехал куда-то.
Я согласна на любые экзекуции, лишь бы только зубки встали как надо! Вот моя орт заикнулась про вкручивание металлических винтов в небо или в челюсть для исправления прикуса. Но пока она сказала, мне это не требуется. Хотя я и на это готова.
Да даже не переживайте
) я думаю орт все сделает как надо и будет у вас голивудская улыбка сверкать
Изменения все равно есть, клычки потихоньку встают в ряд.
Химия, я конечно вижу изменения! Снизу единичка в ряд втискивается. И еще заметила, что межзубные промежутки расширились, стало проще флоссом чистить.




Поздравляю с 1 юбилейчиком
Месяц еще так мало, скоро будут быстро двигаться