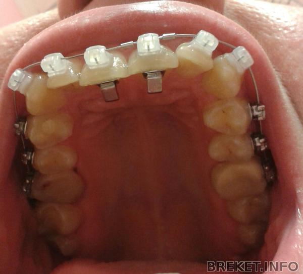
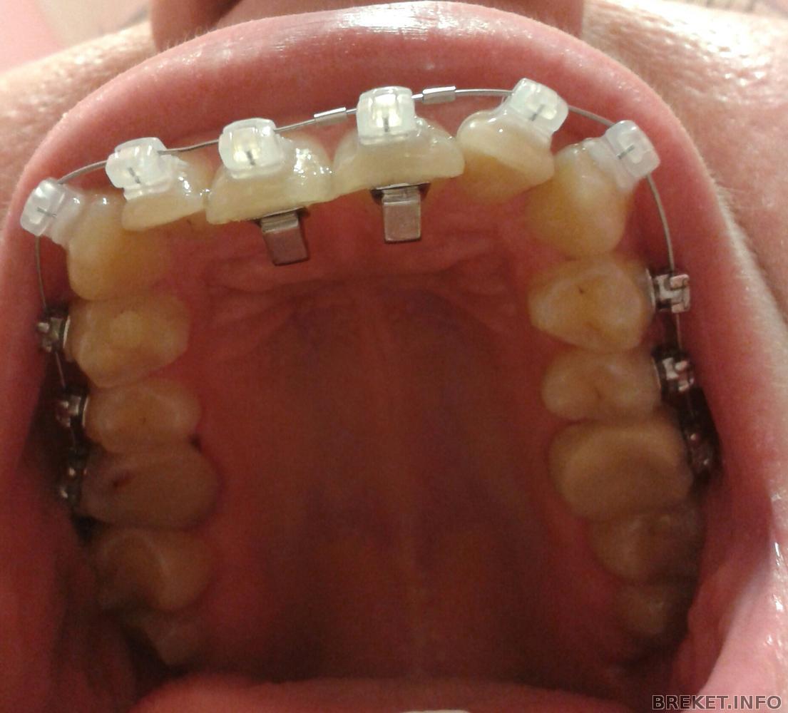
Клычок радует меня! Очень-приочень!
Сейчас смотря в зеркало, я так радуюсь! Клык на нч почти вполз на место! Уже нет дурацкой дырки во время улыбки. Да и на вч клыки здорово опустились вниз. В общем, процесс пошел! Ура!
Комментарии
Отличные результаты!
04.09.2014 - 19:49
Поздравляю!
04.09.2014 - 20:04
Круто!
04.09.2014 - 20:42
круть!) поздравляю! неужели у меня что-то сдвинется когда-то?! ))
04.09.2014 - 20:44
Клычок умничка!
04.09.2014 - 22:20
Спасибо большое всем! Я сама не верила, что такое движение будет. Все изменения серьезные начались после месяца ношения бс. Кстати, прикус тоже немного изменился. Я уже даже жевать могу потихоньку.
04.09.2014 - 23:51
Какие послушные клычки! Ура ура!
05.09.2014 - 11:13
Мэгги, я даже сама удивляюсь их послушности. Надеюсь, что и дальше так будет!
08.09.2014 - 12:01







Какая чудесная движуха! Поздравляю, так держать!)))