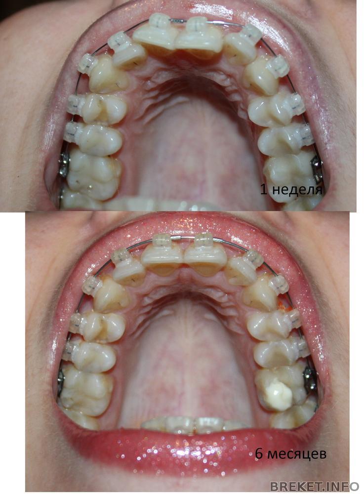
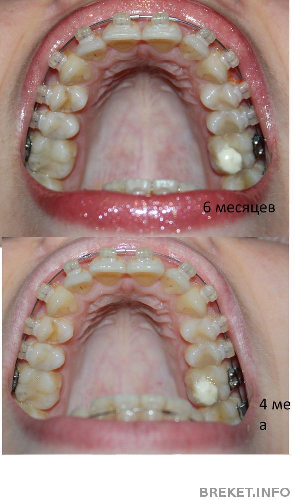
5 месяцев или пол года..)))
Всем привет! Пост будет коротким.... Неделя жуткая...((( От усталости, мне показалось, что моим зубкам 6 месяцев, сделала фотки, сравнила, немного расстроилась, что результат не такой хороший как мне хотелось бы....., Но все же он есть!!!, Из нового.., вчера мне поставили квадратную дугу на ВЧ и Пружину на НЧ , что бы делать место для одного зуба...., ЖУТКО БОЛИТ ВСЯ ЧЕЛЮСТЬ..., Никогда не болели так зубы с момента постановки БС..., но сейчас, это что то невыносимое, я не могу их смыкать..., а про покушать вообще молчу...((( голодаю одним словом...(( Прямоугольная дуга это жесть конечно...., но от нее жду хороших результатов!!!!
Прилагаю коллажи..., На которых как мне казалось, 6 месяцев, но посмотрев здесь, поняла что ошиблась на месяц...)) На фото нам 5 месяцев)))




Очень красивые зубки, челюсти стали кругленькие
и форма зубов тоже симпотная.