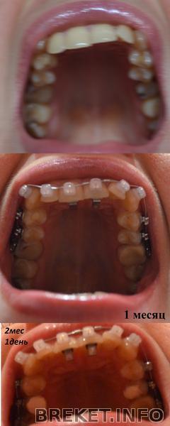
2 месяца 1 день
Встретила я свои 2 месяца в БС в Китае в г. Фуюань, поэтому фотки сделала только по приезду домой в 2 месяца 1 день.
В Китае с мужем "пошопились" хорошенько и наелись китайской кухни!
За 2 месяца в моем ротике изменения просто колоссальные! Особенно на НЧ! Но теперь зубной ряд просто скачет. На НЧ вся левая сторона зубов выперла куда-то вверх. Наверное это из-за вытягивания моего (в прошлом
) заваленного клыка. Надеюсь, что скоро это пройдет.
Плановый прием у меня 29 сентября. Наверное заменят дуги. Мне бы очень хотелось, чтобы фея их заменила, а то 7 октября мы семьей улетаем в другой город жить. Сейчас началась переездная суета, и по прилету первое время будет совсем не до поиска нового орта. Хотя один уже есть на примете.
Коллажик прилагаю.
Я так рада, что решилась на брекеты! Спасибо огромное их создателю!!!
Комментарии
Juls128, спасибо большое! Сама рада за свои зубки!
НЧ просто в ударе!
Офигеть! Как быстро НЧ движется!!!
Я тоже так хочу!
на НЧ просто отличные изменения, поздравляю!!!
Изменения и правда колосальные. ВЧ не узнать, будто и не ваша вовсе, а НЧ вообще красавица стала!
Спасибо, девочки! Я и сама не ожидала такого быстрого результата на нч. А на верхней зрительно изменений нет. Только на фото видно изменения.
Химия, верхняя челюсть точно моя!
Просто мне еще накусочные пломбы на 5-ки поставили, поэтому и выглядит по другому.
Какие изменения на НЧ!!! Просто потрясающе!! Поздравляю !!!!!!
ale4ka,спасибо!




Ай да НЧ, ай да молодец!!! Поздравляю, успех просто шикарный!