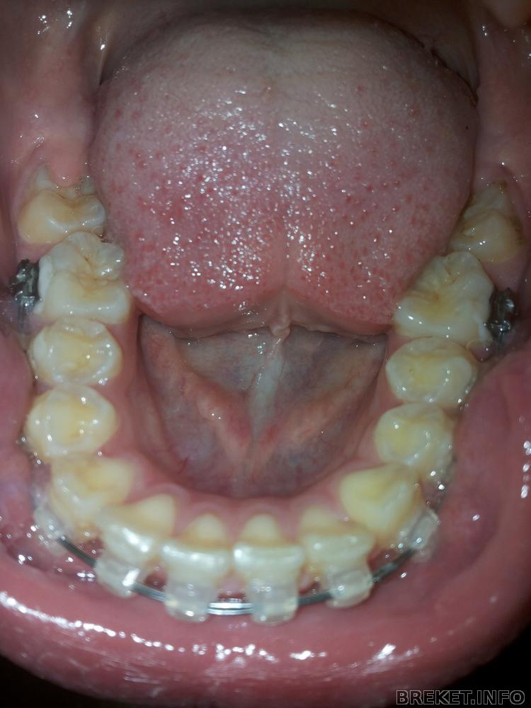
3 дуги???О_о
Всем привет!)) Сегодня была на приеме у ортодонта. Поменяли дуги на обеих челюстях на более толстые. Но на нижней челюсти ее не просто поменяли, а поставили в дополнение к предыдущей. Т.е. у меня сейчас на нижней челюсти стоят 2 дуги! Когда он мне менял, я этого не поняла, но когда вышла и увидела это в зеркало - была в шоке.. Естественно, я не спросила уже у него зачем это, но мне очень интересно. Кому-нибудь ставили 2 дуги на одну челюсть и для чего это? Сейчас зубы немного ноют, но терпимо. Рада тому, что у меня завтра выходной. Если будут сильно болеть, хоть смогу дома с этой болью отлежаться..)) На следующий прием сказал прийти в середине декабря..)
Комментарии
Если дуги разного вида сечения (круглая+квадратная), то это можно объяснить
Держись! Главное, чтобы суставы были в порядке, таким способом можно сустав вывихнуть.
Надеюсь, врач опытный и знает, что делает.
Ух ты, какие финты. Интересно, что они делают.
Westlis, мне обе выглядят на фото, как прямоугольные.
Спасибочки за ответы всем...я держусь. Сегодня жесть как разболелась нижняя челюсть..говорить даже не могу((( А для чего вообще он мог такое сделать, кто-нибудь знает? Или хоть предположения есть какие-то?
да, я видела людей, кому ставили две дуги одновременно на одну Ч. так бывает .


интересненько...