снятие назначено на 20.11.2014. Фото на ваш суд, друзья!
22.10 была на приеме у феи. Она посмотрела меня и сказала, что делать уже в моем случае совершенно нечего
и на 20.11 назначила снятие. На мой взгляд работы еще вагонище, но я уже устала спорить и доказывать "что я не верблюд" - это ж еще с весны тянется.
Решили ставить несъемные ретейнеры, и мне пришлось выпросить пластины - капы не делает(((. И так как мы двигали мои "кошмарные" семерки с правой стороны я просила поставить ретейнеры на 6 и 7-ка на ВЧ и НЧ, но орта мне сказала, что это в моем случает не получиться, решили оставить брекеты с дугой на 6 и 7 на обеих челюстях справа.
Не советуйте, пожалуйста, обратиться к другому орту, т.к. я уже ходила и меня отказываются брать, т.к. "уже все хорошо у меня" и "если и докапываться, то работы совсем мало осталось". Короче никому не нужны "копеечные" пациенты и никто не хочет отвечать за работу другого врача (что и абсолютно понятно).
Еще последние 4 дня жутко стала болеть верхняя правая семерка, при чем не постоянно, а при надавливании и прикусе, ну и так немного "чувствую" ее.
вот фотки, чтоб не искать мои альбомы:
это моя улыбка сейчас (натянутая для фото))))))
вид анфас. По центр знаю))) его нет)))
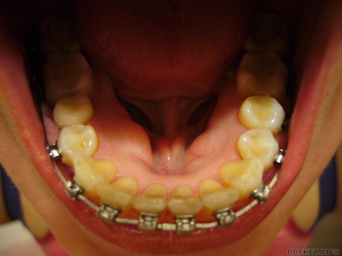
верхняя челюсть
нижняя челюсть
сразу скажу, что это не прикус, это я так специально поставила зубы, чтоб было виднее мои "волны" на дугах
прикус, он меня в принципе устраивает)))
вид справа
вид слева
Девочки, кто умеет "проводить линии" на фото, чтоб на были видны перекосы, сделайте, пожалуйста, если не сложно, а то у меня руки не от туда растут)))
Комментарии
Честно сказать...картина не очень радужная. Почему сепарацию не сделаешь центральных резцов? Тогда и щели не будет этой.
Без обид, но если честно результат на 4!
Мне показалось, что нижние зубки еще нужно выровнять и сделать сепарацию..
А на верхней челюсти можно наверно двоечки вытянуть вниз (но на счет этого я не уверенна, т.к. не знаю делают ли так).
Меня саму очень волнует вопрос о двоечках, у меня результаты на ВЧ примерно как у тебя...можно ли двойки вытянуть вниз на уровень с единичками???? ![]()
А сами зубки и улыбка у тебя красивые
ale4ka, по эстетическим нормам двоечки не должны быть на одном уровне с единичками, единички должны быть чуть ниже.
В принципе если не смотреть на небольшую щель, то все очень даже хорошо!
Я бы на твоем месте еще тяги поносила до снятия, чтобы щель закрыть окончательно)
А зубки ровные, после чистки вообще голливуд будет)
Все ровненько, вот только бы ликвидировать "черные треугольники", если эмаль позволяет.
Для ликвидации чёрных треугольников нужно сделать сепарацию и стянуть получившиеся щели чейном, то бишь о снятии и речи быть не может. Это ежели есть желание иметь действительно красивую улыбку.
protazova, это не мой выбор((( это мне орта говорит, что уже ничего больше нельзя сделать(((
Marseline, ну не самой же себе ее делать, да и орта у меня не сторонник сепарации. я потом своего стоматолога буду просить делать эстетику, реставрацию, менять все пломбы будем, чтоб в новом прикусе все стояло хорошо. Ну и отбелю малость зубки.
ale4ka, двоечки не должны быть на уровне с единичками))) они должны быть немного "покороче". Эстетику я позже буду наводить.
Улыбашка, вот с удовольствием тяги потаскала б!!!!!!!!!!!! но мне орта их даже не назначала для закрытия щели. И почему я не настаиваю, так это потому, что мне в прикусе удобно очень, не хочу тягами испортить.
Чистить, конечно буду)))
Маруся26, какие "черные треугольники"? а эмаль вообще не айс, потому и сепарацию делать не хочет и в свое время мой стоматолог отказался делать проф. отбеливание зубов, сказал, что я потом пожалею)))
Marseline, это, конечно, как вариант да! но я не хочу насиловать зубы, если честно. Да и если мне делать сепарацию, то у меня место лишнее появиться, а оно нам не надо))))
и вообще, девочки! огромное спасибо за комментарии, я хоть поняла, что я не сама себе накручиваю, а реально есть еще над чем работать, жаль только , что орта моя этого не хочет видеть((( Хотя я "позволаю" себя уговорить, что все ок, т.к. понимаю, что если доводить до голливуда, то это действительно куча сепарации, а мне важнее здоровые зубы, нежели "идеальный" результат.
Зубки вроде ровненько стоят. Но дырки между ними большие. Почему так? Мне орт проверяет специальной матрицей промежутки между зубами
Леди Сталь, не знаю почему((( она ничем не проверяет! в их клинике даже капы не делают, как оказалось!









а то что центра нет- это твой выбор? или как