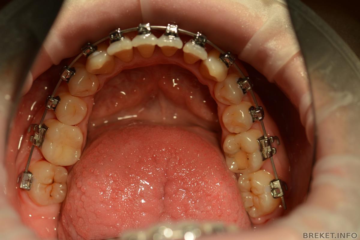
10 месяцев ношения
Уже скоро год как я ношу брекеты. Недавно поставили самые толстые дуги. По выравниванию зубов осталось не так много.
Из проблем: немного смещен центр, жду когда единичка и двойка немного поменяют положение, щели между зубами, которые будем пробовать закрывать сепарацией. Но это всё такие мелочи по сравнению с тем, что было до этого. Мои ужасные зубы можете посмотреть в альбоме.
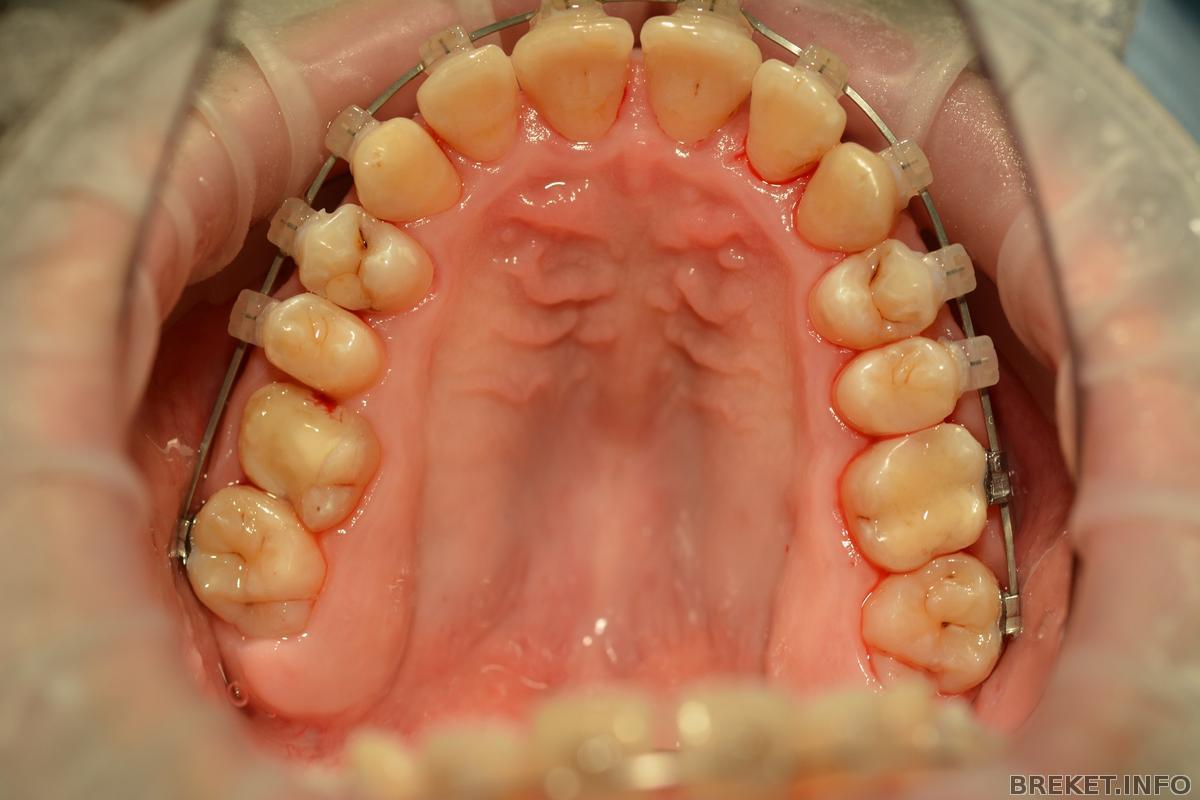
Сделал чистку (делаю раз в квартал) и залечил кариес на нижнем зубе. Фото прикладываю.
до лечения:
после лечения:
ну и мое фото в брекетах
ps раны на деснах - результаты чистки. фото сделаны в стоматкабинете
Комментарии
татарин. Вы посмотрите в альбоме. зубы были кривыми настолько насколько это возможно.
Результат просто ошеломляет. Интересно посмотреть на улыбку сейчас.
А десны кровят так после чистки?
мои десна кровоточат..я три раза делал. всегда было примерно одно и то же.
Посмотрела ваши фото "до". Отличный результат! Вообще радует, когда молодые люди ставят брекеты. Долой стеснения, да здравствуют красивые улыбки!
Такой красивый парень, еще и в брекетах - я влюбилась бы)))
Отлично!!! Результат супер!!!









Какой мачо! =))) Прямо настоящий испанец или бразилец!
Не видела, что было "до", но сейчас зубы очень красиво стоят!