11)
Брекетам недавно было 11 месяцев) как всегда делаю ежемесячную запись)) Чувствую, это будет самый малословный мой пост за все время)))
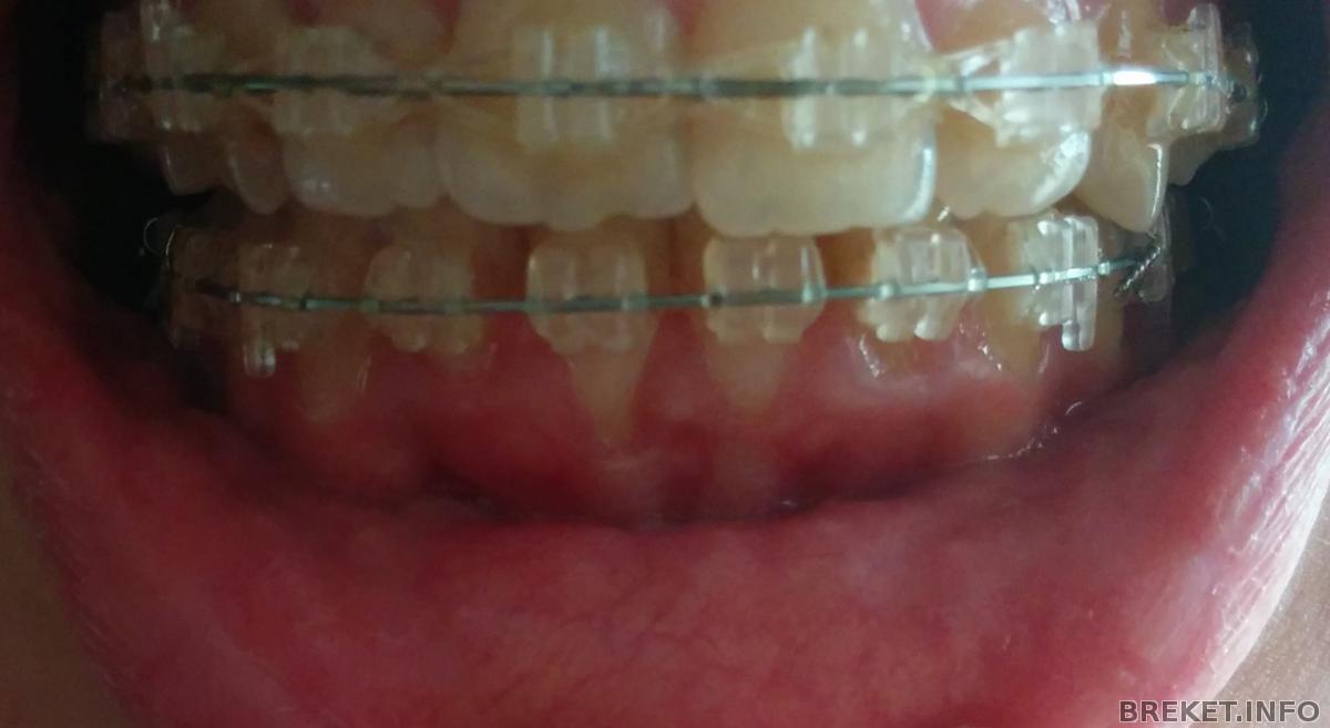
Уже давно ничего не происходит, но в этот раз даже есть на что посмотреть))
1. Щель стала немного меньше)
2. Смыкание слева улучшается за счет тяг))
3. Справа тоже в некоторых местах стало чуть-чууууть лучше)) тяги на эту сторону не назначали.
Посмотрела я вот эти боковые фотки и кажется наклон зубов на ВЧ стал нормальным)) может действительно просто кажется
но очень бы хотелось наконец-то не быть пони))) я про этот наклон в каждом посте писала, так он меня бесил))
4. Центр ВЧ теперь не так далеко от НЧ, как было раньше)) смотрится лучше, хоть и единицы портят всю картину)
4го декабря, если все будет ок, все-таки должны установить микроимплант для выравнивания центра. Стоит это «удовольствие» 104 евро+ 200 грн за анестезию. За работу орт денег не возьмет, спасибо ему)
5. НЧ и ВЧ без изменений)
И еще, уже сто лет обещала выложить фото своей рецессии на НЧ и постоянно забывала
Так вот:
Комментарии
Шикарное смыкание. Мне для такого жить и жить
Для меня прям волшебство какое-то:) как здОрово, разницу щели невооруженным взглядом видно, наклон лично мне бы такой ( у меня зубы внутрь на ВЧ:)) Что-то планируете делать с разными единичками или трогать не будете?
Уже красота! Результат просто загляденье! Присоединяюсь к Ксении, мне о таком пока только мечтать
Отличные результаты! Поздравляю!
А как же так с нижней единичкой получилось? Травма или просто ни с того, ни с сего? И как это лечится?
Sid, привееет))) если рецессия у нас приблизительно одинаковая, то я очень надеюсь, что после вестибулопластики станет лучше, как у тебя)) кстати, когда планируешь закрывать оставшуюсь часть рецессии?)) или там и так уже полный порядок?))
пост ооочень жду)) сфоткай единичку свою, хочу посмотреть как она поживает, спустя время)))
Minerva, единички вообще не правильно стоят, одна немного заходит на другую.. пробовали брекет переклеить, но результат на лицо- одна стала длиннее другой, а само их положение не изменилось. Оставлять так вообще не хочу и орт обещал исправить... но он такой не предсказуемый, что не известно когда это будет)
Xenia, Kristisha, спасибо)) я думала не дождусь момента, когда мне кто-то скажет, что у меня хорошее смыкание)) а главное, чтоб мне самой нравилось)) но вот потихоньку наступает этот момент, когда мне большая часть нравится)) посмотрим, что дальше будет))
Katusha_xD, спасибо))
с единичкой уже давно такое) подозреваю, что все из-за пирсинга, который носила 7 лет в губе. И орт на прошлом приеме сделал такое предположение, хотя не помнил, что у меня когда-то губа была проколота))
теперь надо делать вестибулопластику, а потом еще операцию по пересадке части неба в то проблемное место. Хирург еще в феврале говорил бегом делать вестибулопластику, а то БС вместе с зубом сниму, но орт запретил. Так что жду его одобрения) та и деньги на все нужды)
Марта, всегда с нетерпением жду твой пост и читаю "от корки до корки". Смыкание, наклон зубов - просто класс, мне до такого еще расти и расти. Вот видишь все-таки твой орт трудится и делают уже то, что обещал потом-потом. У нас с тобой разница в месяц, но на деле, я явно отстаю на несколько месяцев))) Кстати центр у тебя тоже хороший, у меня такой же и я даже как-то ни разу еще не парилась на этот счет. Хм, может надо было...? Тебе только единички на вч подправить и можно готовиться к снятию) Рецессия 1-ки на нч очень похожа на мою. Вот только я не могу разобраться точно ли это рецессия или просто зубы разной длины, просто раньше 1-ки стояли настолько криво, что невозможно было разобраться. А вот как с этим процессом бороться всё забываю спросить. А тебе что-то говорили о том, как остановить этот процесс?
Martinss,ох, кто же знал, что пирсинг может к такому привести...
ничего себе... ну и лечение...даже жутковато представить...
Как в остальном дела? Восстановилась чувствительность после операции?
Маруся26, на фото, где 10 месяцев видно, что центр хорошенько уехал) это сепарация и чейн его немного подвинули) вообще и так норм, но мне отступать поздно- микроимплант так микроимплант) но все-равно центр ВЧ оносительно всего лица остается смещенным(
о снятии пока стараюсь даже не думать))) мне еще надо:
- с единицами разобраться,
- левую четверку подождать на НЧ, которая до сих пор ползет,
- правую пятерку на НЧ вниз опустить,
- прикус
кто знает, сколько это времени займет))
по поводу рецессии: если это она, то реально видно, как опущена десна, как ее просто на просто нету. Мне должны операции помочь в этом деле)) а так, я уже пару лет под наблюдением у орта, особенно сейчас при БС, т.к. он еще и мой терапевт)
Katusha_xD, отож бо й воно. Если бы я знала о таких последствиях пирсинга в 14 лет- явно бы не делала. Надо было слушать родителей)
а в остальном потихоньку) чувствительность еще до конца не вернулась, но медленно появляются маленькие улучшения) уже могу спать на животе)))) ура))
а у тебя как там?))
Наклон отличный, то, что-надо! ![]()
Имплант, конечно, дорогой.. Наверное золотой и с бриллиантом.
Ты, его, кстати, не боишься?
Дружище Бобёр
Дружище Бобёр
у меня явно какие-то проблемы с отправкой сообщений( не видно их почему-то(
вообщем))) с десятого раза может получится ответить))
Раз наклон то, что надо, значит проблема с ним наконец-то решена))
Кстати, орт сказал, что это вообще самый дешевый имплант(
его не боюсь, уже столько всего было... и все восьмерки ретинированные и аппендицит недавний... Боюсь только, чтоб лицо не распухло, а то надо ж как-то из квартиры выходить) хотя, может стоит бояться большего) и еще надеюсь, что он поможет, а то не хочется, чтоб деньги даром пропали(
Martinss, сегодня ела хурму и тебя вспомнила. Делюсь наблюдением: с корольком беда, его тяжко вычистить, а вот шарон идет на ура. Вообще нигде не застревает и не путается)))
я прошлой зимой так каки предала)), тоже не путаются.
дааа, с шароном все ок, ура)) я, кстати, его больше люблю))
Мартуси, привет! У меня тоже была рецессия на НЧ, а потом сама пропала)
В процессе лечения лучше не обращать внимание на это, на зубы оказывают сильное давление, они нервничают и показывают характер)
А результат за 11 месяцев у тебя отличный) Думаю скоро о снятии можно говорить)
Улыбашка, у тебя рецессия сама по себе прошла? Но как?
привет, Анечка))) а у меня рецессия уже ооочень давно, так что шансов, на то, что пройдет сама- нету, я уже 4х пародонтологов обошла))
а у тебя отлично, что прошла, минус еще одна головная боль, связанная с зубами))
Маруся, если рецессия образуется в период лечения брекетами, то огромная вероятность, что она пройдет, т.к. вызвана движением зубов))
Привет, милая!
Я ж говорила! Я ж говорила! все будет круто и щели уйдут и наклон будет хороший! Урааааа! ![]()
Поздравляю!
Микроимплант... мдээ(
ну что поделать, надо-значит надо
я потом поделюсь впечатлениями по этому поводу)))
Марта, а тебя она началась до бс? Как-то раньше незаметно ее было, только сейчас
это хорошо, что все налаживается)
да у меня все как обычно) универ, скоро сессия)
завтра иду к орту)
так что скоро будет отчет, посвященный году брекетоношения)
Маруся, у меня она началась за лет пять до БС, а может и больше) я раньше так никогда не фоткала, это ж надо губу оттянуть хорошенько, потому и не видно было.
Кать, жду фоток и отчета))







А по зубкам в целом-мне кажется, все очень классно у тебя! Такая красота будет что просто)))))))удачи с микроимплантом! Надеюсь , он поможет , и тогда вообще супер все будет!
Кстати, ведь ты же ждешь еще мой пост?)))на неделе у меня будет ГОД!!!планирую наконец-то написать )событие знатное все-таки))