7 месяцев.
Всем привет! Решила черкануть пару строк для истории. Мое лечение проходит пока не особо активно в плане всяких примочек. После установки БС дня три приходила в себя, в основном из-за легкого шока от своего отражения. Боль и неудобства некоторые тоже были, но быстро забылись
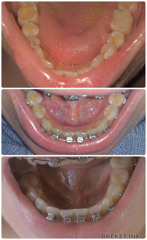
. Два раза отлетали брекеты с шестерок НЧ. Первая смена дуги с 14 на 16 была примерно в 4,5 мес. Сам процесс смены не самый приятный, но терпимый, а больше я не заметила разницы по сравнению с первой дугой. И движения тоже особо не наблюдала, хотя оно скорее всего было, только не такое явное, как в начале пути.
И вот, через еще 2,5 мес, почти в 7 мес, три дня назад, была замена дуг на прямоугольные. Номер не знаю, самые тонкие из прямоугольных. Вот это я понимаю, сходила на прием! Еще сегодня зубки ноют, трудятся, надеюсь, выстраиваются в ряд. На НЧ, кажется, уже ровнее встали, только сфоткать не очень получается. И еще заметила, на НЧ щели появились, и это после скученности!
В первый раз знаю примерный план на ближайшее время, а именно: через 10 недель (в конце января - начале февраля) меняем дугу на круглую N18, и на ней меня ждут тяги! Наверное, опять весело будет. Может хоть немного перекос уйдет.
Вот, разошлась! Спасибо, если кто прочитал мою историю!



Красота