8 месяцев
Давно я уже тут не писала)) Но я всё читаю и всех мониторю, ничего от Вахмурки не скроете
О себе.. Прошло 8 месяцев, брекеты не полюбила, но сроднилась, результат на данный момент не нравится, особенно верх, единички ужасные, косые-кривые, орт не видит проблемы...Нижняя 5ка из-за которой меняла орта не развернулась до конца, но после очередной орты, которая ушла в декрет, ей только в прошлом месяце стали снова заниматься. Но в сравнении с тем, что было это просто супер! Я пока этим довольна, а так все и всё меня бесит))))
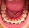
ЭТИ Фотографии 5 МЕСЯЦЕВ ВЕРХ И 4,5 НИЗ
Завтра добавлю свежие фотки, стремные единицы и смыкание какое на данный момент ![]()
Комментарии
На этих фото всё хорошо, сейчас не так
Вот, блин, засада! Ладно еще в начале пути зубки пляшут, но, после того, как уже выстроились в ряд, подло с их стороны такие фокусы выкидывать.
Маргалена, как только пошли прямоугольные дуги, то всё, и щели и пляски и кто куда, все разбежались)))Орту говорю: а ничё, что верхние единицы относительно всех зубов по диагонали стоят?)) " Да где Вы такое увидели, Вы чтоооо?"))))Бесит!
Ох.. Вахмурка появился!!![]()
Как я рада твоему появлению!!
Даже и со старыми фотками).
Дуги прямоугольные мне тоже наделали делов.. Они как-то там устроены, что зубы от них то пляшут, то вперёд наклоняются. Беда-беда. Но ты не переживай, это они пока худые, потом станут потолще, всё опять вернётся по местам (не по тем, что были совсем до брекетов). Так что буду ждать завтрашних фоток:)
Хотя уже тут зубки не узнать.
Это точно твои??
Мой любимый Бобер ![]()
Рыбка моя, у меня прямоугольные дуги уже кучу месяцев стоят, мне уже все переодевали, осталась вроде последняя на след приеме, сейчас стальная прямоугольная предпоследняя типа(( ты не признала мои стремные зубищи?))) конечно мои, куда мне их деть, они в оковах навсегдааааа
Какие вы шустрые однако))
Уже стальная... Ах ты ж, скрытная Вахмурка. Когда ж ты успела-то?.. Я чувствую себя отставшей от жизни и от чудес ортодонтии..
Ну да это всё фигня! Я тебя и с кривыми буду любить!))
Бооообрик, ![]()
Из чудес ортодонтии мне только дуги меняют и всё)))



А что не так-то? Вроде все красиво, по дуге стоят зубки.