4 месяца
Быстро время пролетает. Уже 4 месяца моим брекетам!
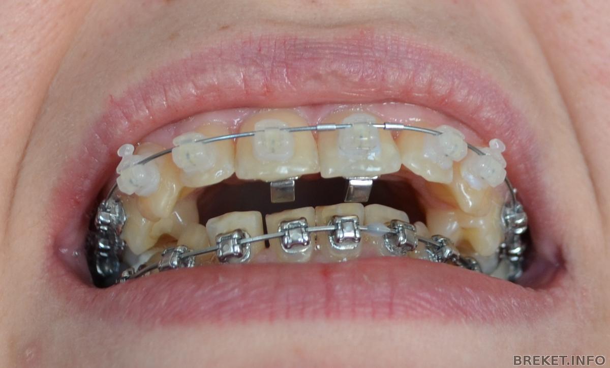
В понедельник мне наконец-то заменили дуги. На ВЧ поставили круглые, а на нижней прямоугольные. Первые 2 дня зубы болели. Сейчас все в порядке!
За 2-3 часа ношения новых дуг у меня появилась огромная щель между 1 и 2 на НЧ.
Зубки медленно, но верно двигаются к голливуду!
Появилась огромная щель между челюстями. На фото челюсти сомкнуты.
Комментарии
Lyer, орта говорила, что накусочные брекеты можно снять. Но потом мы с ней посоветовались и решили пока не снимать, так как я переезжаю в другой город. Там будет другой орт. И чтобы ему проще было понять суть моего лечение, нужно чтобы все осталось на своих местах. Хотя эти брекеты мне стали мешать выговаривать буквы С и З.
Какой отличный результат! Особенно на НЧ, моя упрямится как может))) Поздравляю!
Juls128, спасибо! А мне все кажется, что медленно верх двигается по сравнению с низом. Хочется уже скорее ровную дугу на ВЧ!
Оох,
Как же мне понравились ваши клыки
Rumi, я так рада, что они уже не выделяются из общего зубного ряда! Меня в школе из-за них вампиром называли.
Rumi, присоединяюсь!
Клыки были особенные, не подпиленный голливуд (как многие сейчас делают)... мне такие очень нравятся!
Жаль только, что остальные зубки не по дуге стояли.
SunFloweR, ну вообще! Я борюсь с этими вампирскими зубьями, а кто-то специально так делает!...
Капец!
Имела в виду, что многие подпиливают выступающие из зубного ряда (по высоте) клыки. Мне такие подпиленные зубки не по нраву, все-таки природа из задумала заостренными...
А вообще, да - и виниры ставят, и вытягивают клыки пониже. Я сама думала спустить свои коротенькие клычки пониже, но тогда десна некрасиво смотрится, пусть остаются в естественном виде
ZakTana, Вампиром однако лучше быть, чем акулой ![]()
Меня так дразнили, еще в школе когда клыки молочные не выпали, а новые поверх расти начали
Rumi, ничего, скоро всё уберётся и наладится, тогда вы к ним придёте и КАК улыбнётесь! и они попадают и сами в штабеля сложатся
Rumi, у меня была такая же проблема, поэтому клык на НЧ и ушел в бок. А через 1,5 месяца ношения БС он встал в ряд. И у вас все зубки встанут в ряд!





Даа, прогресс огромный!
особенно на фотах "изнутри" заметно! Да и дуга верхняя почти выпрямилась =)
Да, сагитталка огромная стала... может, Вам теперь эту накусочную жуть на единицах снимут?