Моя история
Всем привет! Сегодня 15ый день моим брекетам на верхней челюсти. Началось все с того, что около полугода назад у меня начались проблемы с суставом, соединяющим верхнюю и нижнюю челюсть. Я на себе узнала, что значит "отвисла челюсть" в буквальном смысле) В моей речи все чаще можно было услышать "подожди секунду, я челюсть поправлю". Поход к челюстно-лицевому хирургу подтвердил мои догадки, что это от неправильного прикуса, и было решено - брекетам быть! Благо мечтала о них я давно, но останавливала стоимость. В сложившейся ситуации выбор стоял между "съездить летом на море" или "всю жизнь поправлять челюсть", и выбор мой очевиден)
Первая проблема, с которой я столкнулась после установки - как пользоваться этой кучей зубных щеток?! Я до сих пор не уверена, что использую монопучок по назначению))
В первые дни не было особого дискомфорта, пугали только шатающиеся зубы. Спустя 2 недели зубы качаются заметно меньше, но почти с самого начала перестали смыкаться челюсти, упираясь в левую пятерку. Из-за этого она качается сильнее остальных, так как ночью часто неосознанно сжимаю челюсти. А пару дней назад к ней из солидарности присоединилась единичка, по которой мне случайно заехали локтем.
В целом я очень рада тому, что наконец-то решилась на это. Улыбаться стала чаще, но еще не до конца приспособилась, как перестать улыбаться, чтобы верхняя губа не оставалась повисшей на брекетах)) Но у меня все впереди.
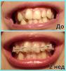
Кажется, уже есть некоторые результаты. Клыки выпирают чуть менее жутко)
П.С.: К орту только через 1,5 месяца. Не отвалится ли за это время та пятерка, в которую упирается нижняя челюсть? Стоит раньше зайти к орту и попросить поставить накусочную пломбу?
Комментарии
С челюстью жесть
не знала что такое бывает.. Молодчинка, что поставила брикеты, здоровье важнее. Движение зубиков очень даже заметно)) Пятерка не отвалиться, у меня от эластиков 2 клыка на вч шатаются, тоже ощущение, что выпадать собираются)
"подожди секунду,я челюсть поправлю"-это сильно!!!
Не буду писать пришедшие в голову вариации по типу "я это сделала",тут всё-таки у человека реальная проблема и не до смеха.Удачи в лечении.
Ойй) я еще не поставила бс и все читаю тут про шатание зубов и меня это прям пугает
Vasivasi, не дрейфь
Вот! Знакомая проблема! У меня тоже пару раз челюсть заклинивало, а еще она странно щелкает при широком открывании
И да, я иногда губу ручками на брекеты натягиваю
И у меня челюсть заклинивало. Про поправлю челюсть просто в точку. Бывает кто-то чет спросит, а ты рот открыть не можешь, пока рукой не подвинешь до щелчка. Надо видеть глаза собеседника в этот момент
Удачи в лечении!
Даааа, дурацкая вещь!!! Чувствуешь, что она не на месте и как двинешь себе в ухо - и хорошо, можно жить дальше))) Веселое было время, а потом она вообще перестала на место вставать, скучаю по тем "волшебным" временам и жду чуда... Удачи в лечении!


про челюсть впечатлило...чего только не бывает!