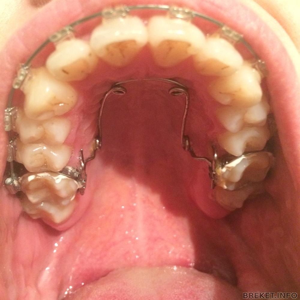
Установили квадхеликс
Всем привет! Не знаю, правильно ли я написала название. Начиталась отзывов, думала, что разговаривать не смогу, но пока терпимо. Посмотрим, что будет дальше.
Комментарии
Ksunya, это такая штука для расширения челюсти??? как ее устанавливают, больно ли это? давно ходите с БС? расскажите, очень интересно...
elly, ну я не то, чтоб прям герой
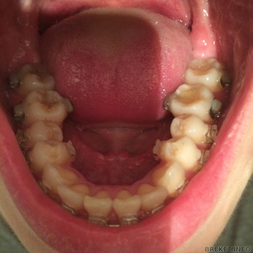
Ксеничка, да, это штука для расширения челюсти, сфотаю попозже. если честно, ожидала, что будет прям больно сильно, готовилась к худшему, начитавшись отзывов. но было не так больно и сейчас меня этот аппарат не так сильно беспокоит, как брекеты, которые мне наклеили с внутренней стороны нижней челюсти, чтоб цеплять за них тяги. вот эти девайсы мне раздирают язык, не могу из-за них кушать, хотя уже прошло больше недели(((
Ксеничка, хожу с брекетами уже 1 год и 9 месяцев. пару месяцев назад орт говорил, что скоро будем снимать))) а вот недавно вдруг решил, что мне надо расширять зубные ряды, так как прикус не становится таким, как должен быть((( я тут плакалась в предыдущем посте. но ничего не поделаешь((
Ох, и меня такие брекеты ждут изнутри скорее всего... Успехов тебе в лечении, все будет хорошо!
Ksunya, ого, а я думала расширитель можно снимать во время еды. Мне тоже предстоит установка расширителя челюсти т. к. не хотела удалять один зубик, тоже начиталась всякого и боюсь! Правда моим брекетам сегодня 4 дня
Ksunya, спасибо что поделились! Удачи вам
Juls128, спасибо! И у тебя будет все хорошо!!! Я не знаю, может, это так только мне с этими брекетами тяжко, может, у тебя будет по-другому!
Ксеничка, спасибо, и вам удачи!!!
Спасибо за пожелания и фото!) Какие ушастые зубки получаются с двумя брекетами))) Или это ручки у них
upd А, поняла, они как будто в наушниках пушистых на зиму
омг... терпения, только терпения и сил тебе!!!
Ksunya, а больно было устанавливать?



Даже не знаю поздравить или посочувствовать
вы однозначно герой!