Укомплектована!
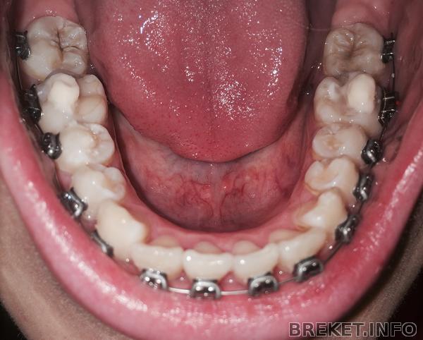
Всем доброго времени суток)) Прошло всего 3 недели с установки брекетов на ВЧ не успела оклематься как уже и на НЧ установили...но я этому рада)) быстрее установят быстрее снимут
... устанавливали 2 часа!!! за это время, установили сами брекеты, нелепили какую то штуку на 6ки чтобы челюсть не смыкалась...
Вот, собственно, сами брекеты, и то на сколько зубы могут сомкнуться, и как теперь кушать?!....да уж...
и вот как раз то что налепили на мои несчастные 6ки...
НО это еще не все! мне на ВЧ поставили пружинку между 6ой и 7кой, как объяснила мой орт, это для того чтобы по одному зубу двигать назад и освобождать место для моего кривыша и чтобы выровнять центр))
все бы ничего, но она сказала (извините дословно уже не помню, была слишком ошарашена) что если это не поможет то будет делать микроимплант!!!!!
Комментарии
Спасибо)))
Я вот тоже думаю что у меня не все так плохо чтобы прибегать к микроимплантам! Но я честно говоря еще не знаю как и с чем работает мой орт...я надеюсь она что-нибудь придумает и до отчаянных мер не дойдет...
Как есть? Я ем никак при подобном смыкании. Вот сегодня вареники поела, пельмени. А так утром йогурт, вечером каша, днем йогурт, каша, мандарины... Завтра пюре и суп-пюре в меню добавлю.
Ох, чую Новый год будет веселым))) буду кушать праздничную кашку и мандарины)))
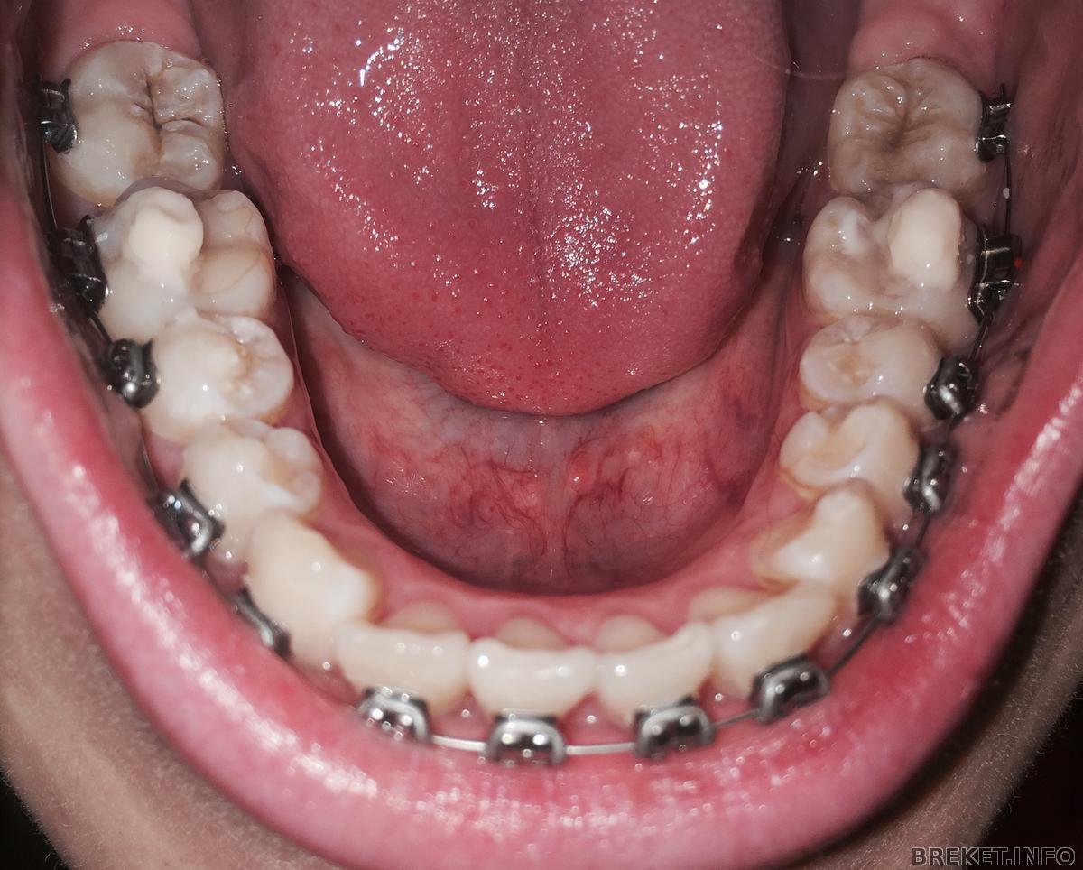
у меня с первого дня стоят на 7-ках "эти штуки", надкусочные пломбы... идет 9-й день, ем почти все, была на 2-х ДР, салаты жую вот этими двумя штуками, пюре само со свистом проскакивает
что-то твердое конечно не удается кушать, да и все равно с брекетами нельзя, мандаринки отлично разжевывать кстати, а вот что плохо, так это макароны, не поймать их во рту
и вообще, когда ем сейчас, всегда старушек вспоминаю, у них ведь тоже часто по два зуба остается, тяжело им живется ((((
Налепили разобщающие площадки. нормально с ними можно есть, жуй дольше. Мне ее когда орт соскоблила , хотел назад попросить ,так привык к ней
К надкусочным пломбам привыкнешь буквально за неделю.
Ого такие малехи)) а мне на весь зуб полностью их ставили )
А мне уж извините бросились в глаза больше всего красные отметки на брекетах, ну при хорошем то уходе они сходят очень быстро, а тут аж 3 недели прошло.....
у меня после установки БС начала такая щель огромная между челюстями образовываться, что вам до нее еще расти и расти) плюс накусочные пломбы тоже были) и ничего, ела как-то)))
В микроимпланте нету ничего плохого. Интересно, где вы ужастиков про них насмотрелись? я когда искала- ничего плохого и страшного не находила. Неприятный процесс установки, но пережить легко можно, ретинированные восьмерки намного хуже вытаскивать из челюсти. У меня три недели стоит, результата пока ноль)
Викундель, сама думала быстро отлетят, но приклеены они не хило, чищу зубы усердно и долго, на передних зубах они тоже не отлетели, я их соскаблила щипчиками для ногтей, чтобы в глаза не бросались)))
Мне кажется эти точки вообще какие-то необычные... Мои какие-то, кажется, плоские были, а эти как капельки краски...)
Я вот собираюсь в гриль-бар 29 числа, но чувствую пойду в макдак жевать гамбургер или еще куда-то суп да вареники есть... пока даже о суши речи нет.
Меня тоже ждет микроимплант, даже 2. Как воткнут - я обязательно расскажу.
микроимплант - это не страшно, просто минивинтик такой. Зато зуб будет двигаться однозначно в нужном направлении.




Поздравляю с доукомплектацией! Форма зубов мне очень нравится
А ваша ортофея не работает с многопетлевыми (мью) дугами? Они во многих случаях позволяют обойтись без микроимплантов.