И снова здрасте!
Всем привет!Очень давно здесь не была и это новая страничка)Может меня кто нибудь еще и помнит!)
Ну а для новеньких и уже не очень...
В общем моя история такова:
Мне 15 лет,хожу с брекетами больше года,изначально был перекрестный,дистальный прикус и кривые зубы.В детстве ходила с плавстинами,но безуспешно.В 14 решилась,но боялась что будут издеваться сверстнк.Все было хорошо,слава богу)
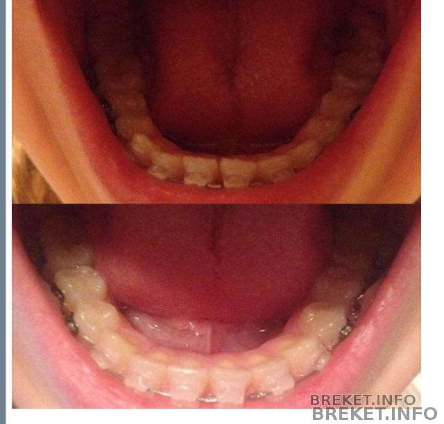
После установки брекет-системы на вч меня обрадовала ортодонт.Прикус был слишком плох,меня поставили перед выбором,либо операция,либо удаление обеих четверок сверху.Конечно же я удалила четврки.В один,две сразу(если кому интересно будет могу отдельно пост про удаление написать).Сейчас я подхожу к концу,промежутки затянулись,дистальный прикус ушел.Осталось подправить перекрестный.Четыре месяца ношу бурундуков,как раз исправляю.30 декабря иду к своей фее будем решать,что делавть дальше.Осталось мне месяца 2,а может и 4.Но это совершенно нестрашно)Я привыкла к своим брекетам.
В общем все)Прикрепляю фото до-после)Нижняя у меня сразу нормальная была) ![]()
Надеюсь примете меня снова)
Комментарии
Заметно ВЧ расширилась, встала по дуге. Плохо видно, но как мне показалось, была узкая ВЧ?
Очень мелкие фото (
Так вроде лучше)






фоточки такие малюсенькие) я со своим зрением ни чего не разглядела..