год!
Ну вот и у меня долгожданный юбилей – год ВЧ!!! По прогнозам ортши, срок ношения 2-2,5 года.
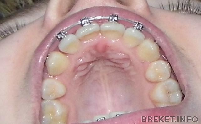
Итак, по прошествии года мы имеем:
- предпоследняя прямоугольная дуга (18*25) на ВЧ и НЧ
- перекос – дуга волной((( избавляемся от него круглосуточным ношением тяги-кролика на одной стороне по схеме: верхняя тройка-нижняя четверка
- щели на ВЧ – ортша говорит, рано с ними работать
В общем, если сравнить с тем, что было «до», то просто чудесно! А так, мне много чего не нравится – разные края единичек и двоек, пресловутый перекос, на НЧ вообще все плохо -передние зубы разной формы, сточенные как попало режущие края, вроде ровно стоят по дуге, а кажется что кривые.
С сентября носила тяги на ночь, симметрично, они хлопот не доставляли, но сейчас ношу весь день одну тягу на левой стороне и она мне очень натирает щеку((( печалька(((
Напоследок фото.
Комментарии
такой результат, может и раньше управитесь)))
18*25 это предпоследняя у даймонов?)
Супер, какая замечательная инфа!
У меня тоже предпоследняя, значит)
Дружище Бобер, да, орт сказала что 18*25 это основная дуга,на которой самые главные передвижения происходят. Потом будет стальная финальная!
хорошие результаты уже сейчас!!!
Поздравляю с датой!
Результат очень хороший, глядишь, и снятие не за горами! Исправление мелких недочётов всегда немного муторно, но зато выходит красота!
ваша орт молодец - большой прогресс за год. думаю за полтора года управитесь. а у вас перекос на одной только челюсти? а сколько дуг было?
anya111, перекос на верхней только. Дуг было 3 до этого,сейчас основная и осталась последняя


Выглядит уже супер, несмотря на описанные недочеты