Очередной прием! Ортодонтические страсти!
Приветики мои любимые холосые и самые-самые брекетоносцы! И что вы думаете я делаю? Обмываю новую дугу! Сегодня был очередной прием: ВЧ почти пол года, НЧ - 2 месяца. ВЧ оставили без изменений, сказали еще походить, так что с этой дугой я буду ходить аж 4 месяца. На НЧ новая - какая-то жесткая, уже все болит, заливаю "горе" пивом. Настроение отличное, орт тоже был в отличном настроении, назвал меня принцессой, т.к. зубки быстро двигаются, приятно черт-возьми, когда молодой симпотный мужик так говорит. Поздравила его с наступающим НГ, поцеловал меня, сказал спасибо, так, что я по прежнему всем безумно довольная, зубки двигаются, орт сказал что у меня будет идеальная улыбка, завтра фотки выложу!
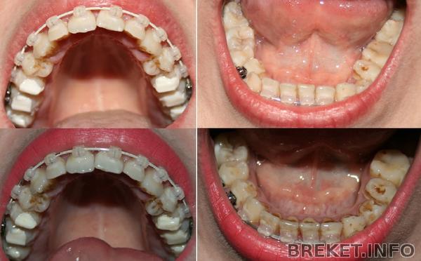
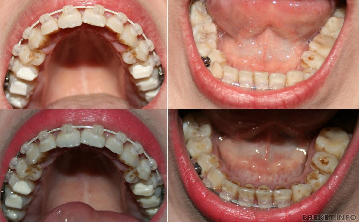
Не стану хломить ленту отдельным постом, добавляю фото, слабонервных не смотреть. Экспертов орто-брекетоносцев прошу меня не расстраивать, и так расстроена.
Начнем с того, что 1. ВЧ просто уперлась рогом и за два месяца мне кажется вообще никуда не двигалась. Просто вот встала и все. Одна упертая двойка не хочет вставать в ряд и благополучно кривит свою соседку единичку.
2. НЧ конечно молодец, она превращается из квадратика в параболку, но резцы все встали на разный уровень, что создает впечатление какого-то забора.
3. Надкусочные пломбы благо чуть-чуть стерлись и рот хоть как-то стал закрываться.
Печалька в том, что я хотела хотя бы жалкое подобие Голливуда к 6 месяцам, но видно не судьба, как говорится зажралась совсем.
4. Как бы я не драили свои зубья изнутри они благополучно превращаются в пепельницу с коричневым налетом, не ругайте, не нравится, не смотрите. На чистку пока так и не отправили меня.
Но, т.к. в последнее время я перестала обращаться внимание на брекеты и на зубы, то, расстраиваться сильно не собираюсь. Просто ношу себе брекеты и во время хожу на прием. Вот такие вот дела.
Фото сверху - то что было 2 месяца назад, снизу - то что сейчас:
Комментарии
Бобер и не говори, сама в шоке!
Даже пост переименовала
))))
Катюш, поздравляю, дорогая!
До Нового года как раз перестанет болеть все)) Я тоже всегда обновки обмываю, особенно такого болезненного рода
Юль, Ржу не могу, алкоголики собрались. Шучу конечно. Все хорошо и в меру. А поход к орту - это особенное события. Да, надеюсь к НГ уже можно будет спокойно хрумкать салатики. Следующие прием у меня должен быть в районе ДР, вот теперь думаю, то ли записаться до ДР то ли после.
Я бы даже сказала "ортодонтический роман"
Бобёр, Неее, у меня МЧ есть, а у него под перчатками не видно кольца конечно, но такие мужики свободными не бывают. Там в очереди таких еще 3 принцессы сидели, и все тоже очень нечего - ортодонтия - это все же работа с молодыми пациентами.
Поздравляю с обновкой!
Какой у тебя эмоциональный орт, однако!
да еще и зубки не выдирает! =) К НГ действительно уже все должно притереться ![]()
У меня тоже была дилемма: то ли 27го пойти, то ли 20го (за 3 дня до корпоратива)... в итоге, выбрала 27-е...а орт в этот день не работает!
так что пришлось мне на вечеринке больше танцевать, чем есть
Жду фоток! =)))
Ах жаль... А то у нас ещё вроде не случалось тут на сайте ортодонтических романов. Или я просто не в курсе?
Владимир вроде говорил, что собирается жениться на орте))
Леночка, зато мы все будем супер-стройняшки
у нас самая лучшая и действенная диета. Уж сколько и чем я только не пробовала худеть, но заветная мечта в 51 кг сбылась только с брекетами.
Бобер, у Вовки вроде все печально закончилось
Кать, да я и так 50кг
когда во мне было 47 - это было страшно
На самом деле всякие вредности типа эклеров и пончиков едятся гораздо проще, чем мясо, так что похудение мне вряд ли грозит
Леночка, Я вот с пончиками в брекетам не подружилась, аж бесят они меня. Но я то пухла от бутеров, а т.к. кусать их бо-бо, я от них практически отказалась.
А я сегодня как раз с корпоратива вернулась, в общем, шашлык поесть у меня не получилось
пришлось только салатами довольствоваться...
Прикольно)))
И правда страсти!
Прочитав название, я себе нечто другое представила)))
А роман с доктором у нас на сайте был)))
Panika писала, как ей ОРТ свидания назначал))))
какая у тебя зубная любовь
я тоже сегодня залечивала зубную боль пивом и шампанским на корпоративн, из еды только карпачо осиливаю. Хотя со скрипом поела буженинину и картошку фри. Теряю в весе страшно, уже часы на руке болтаются. Скоро за швабру спрячусь, мне такая худоба нафиг не нужна
Reflection, я на третьей неделе ношения БС уже кушала шашлык - взяла острый острый нож и шинковала его в щепки. (Мяса то хочется). Так что если приноровиться, можно почти любую еду осилить.
Лайма, круто, и зубы лечаются и личная жизнь налаживается - 2 в одном.
lenka-penka, вот и у меня уже все кольца болтаются и браслеты. Когда вчера в очереди к орту сидела, там девочки (наверное еще более матерые чем я) были худые до безумия - одни косточки, сижу смотрю на них и думаю, ну эти наверное уже год носят, совсем исхудали.
Симпотный- это от слова "потный", что ли?
Все, не бейте тапками, в жизни у меня характер лучше
![]()
А про влюбленность, в психологии есть такое понятие как Перенос (от лат. transfere — переносить). Это явление было впервые описано Фрейдом и означает чувства и поведение больного по отношению к врачу, которые основаны на инфантильных желаниях больного. Другими словами, трансфер появляется тогда, когда пациент переносит на врача чувства любви или ненависти, которые он раньше испытывал к другому значимому для него человеку (часто к родителям). Врач в этом случае играет роль заместителя объекта любви или ненависти.
Химия, бросай курить!!!
и подобие Голливуда будет не жалким, а полным! ![]()
И кстати, все хорошо с зубками - НЧ выгнулась отлично!
у меня на ВЧ за 2 месяца тоже новостей нет
Леночка, уже спланировала бросание на после УЗ чистки. Пока чистки нет, продолжаю получать удовольствие от табака, а потом когда зубки будут беленькие и их будет очень жалко портить - вот это будет стимул.
aussie_girl, тебе повезло, что я и тапок находимся далеко
Химия
Этот день я теперь буду считать своим вторым днем рождения! ![]()
aussie_girl,






Ничего ж себе! Ортодонтические страсти))