Чистка перед снятием и другая лирика)
Всем привет.Врач мне сказала перед снятием почистить зубы.Чистили и ультразвуком и эйрфлоу, низ хорошо почистили, а верх хреново чо та
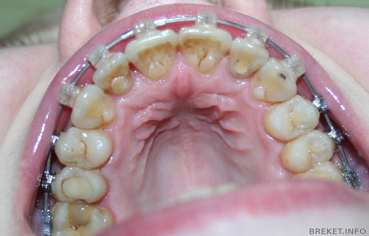
Выкладываю фото.Сразу отвечу на вдруг возникшие вопросы по поводу НЧ.Да она останется такой какой есть, т.е. неидеальной.Исправить ее невозможно! Более менее низ встал недавно в июле и только с последней дугой, до этого НИКАК не вставал. Что мы только не делали.Клык например более плотно прикручивали резинкой какой то крепче к бс.Но честно сказать после 2 лет ношения я уже устала и хочу снять.В любом случае-это лучше, чем было.Да кстати и центра нет, но мне как то глубоко пох ![]()
Комментарии
Я тоже думала, что логичнее все вместе потом чистить....
а ретейнер на нечищенные зубы как приклеивать? где логика?!
Ну вот снять брекеты, почистить ,заклеить рейтнер...или я опять не так понимаю?
до снятия почистить, чтобы ретейнер приклеить, потом еще раз можно почистить
Я почищу тебе зубы, чтобы почистить тебе зубы перед тем как почистить тебе зубы
А по теме очень классно очистилось, я скоро на первую чистку собираюсь и такие результаты вдохновляют
да ощущения после удаления налета очень приятные
рекомендую всем почаще очищать зубы от всякой бяки
Juls128 ахахаха
вот после чистки мне как то очень результат ваш нравится!! мне кажется вы слишком уж утрируете!! очень хорошие результаты!! красивые зубки получились!!
ale4ka спасибо! наверно я действительно стала слишком придирчивой




Почему чистку делают до снятия?не лучше разве после всё уже почистить?